Добавить в корзинуПозвонить
Найти в Дзене
REM Clinic

Полипы желчного пузыря.

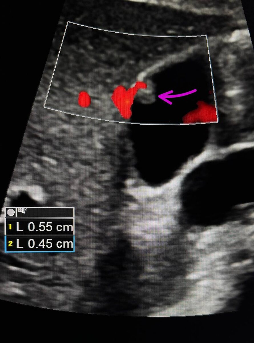
Это образования или «выросты» стенки желчного пузыря, которые выступают в его просвет. Они могут быть сидячими или располагаться на ножке. Полипы желчного пузыря являются, часто, случайной находкой во время выполнения ультразвукового исследования органов брюшной полости по другим поводам.Они встречаются примерно у 3%–6% общей популяции. Симптомы: Полипы часто протекают без жалоб, но иногда пациенты могут упоминать о болях в правом подреберье. Классификация: Полипы желчного пузыря подразделяются на три категории: крайне низкий риск, низкий риск и неопределенный риск. Полипы крайне низкого риска имеют ножку, форму «шара на стенке» или тонкую ножку; полипы низкого риска имеют ножку, толстую или широкую ножку или сидячую конфигурацию; полипы неопределенного риска имеют очаговое утолщение стенки, прилегающей к полипу. *для врачебной аудитории: К признакам неопластических полипов относятся: единая дольчатая поверхность, сосудистое ядро, гипоэхогенный полип и гипоэхогенные очаги, размер полип

Это образования или «выросты» стенки желчного пузыря, которые выступают в его просвет. Они могут быть сидячими или располагаться на ножке. Полипы желчного пузыря являются, часто, случайной находкой во время выполнения ультразвукового исследования органов брюшной полости по другим поводам.Они встречаются примерно у 3%–6% общей популяции.

Симптомы:

Полипы часто протекают без жалоб, но иногда пациенты могут упоминать о болях в правом подреберье.

Классификация:

Полипы желчного пузыря подразделяются на три категории: крайне низкий риск, низкий риск и неопределенный риск. Полипы крайне низкого риска имеют ножку, форму «шара на стенке» или тонкую ножку; полипы низкого риска имеют ножку, толстую или широкую ножку или сидячую конфигурацию; полипы неопределенного риска имеют очаговое утолщение стенки, прилегающей к полипу.

*для врачебной аудитории: К признакам неопластических полипов относятся: единая дольчатая поверхность, сосудистое ядро, гипоэхогенный полип и гипоэхогенные очаги, размер полипа более 1 см.

Диагностика:

-2

Частота встречаемости пристеночных образований желчного пузыря на УЗИ составляет до 10% при рутинном скринингом исследовании органов брюшной полости. Для диагностики желчного пузыря метод УЗИ является наиболее чувствительным среди прочих (чувствительность метода составляет 72,2-83%), например, при компьютерной томографии полипы могут быть пропущены.

Благодаря современным методам УЗИ удаётся определить истинный полип (аденоматозный полип) желчного пузыря или ложный (холестериновое отложение стенки). Кроме холестериновых и истинных полипов, данные методы позволяют выявить ещё один тип доброкачественных образований желчного пузыря. Это воспалительные полипы - локальные изменения стенки желчного пузыря, формирующиеся на фоне его воспалительных процессов.

Для максимально точной диагностики полипов следует соблюдать подготовку перед исследованием: прийти на исследование натощак, не есть и не пить 6 часов до УЗИ, не курить. При повышенном «метеоризме» (вздутии) кишечника за два для соблюдать диету, не вызывающую вздутие.

Результативность диагностики зависит, непосредственно, от навыков и опыта врача, выполняющего исследование, и класса УЗИ-аппарата (экспертный класс), так пациент получит исчерпывающее описание по состоянию желчного пузыря.

-3

Лечение:

Для принятия решения о дальнейшей тактике ведения пациента необходимо оценивать следующие показатели. Во - первых, обычно учитывается наличие факторов риска (указаны ниже в тексте). Во-вторых, оценивается размер полипа, наличие или отсутствие кровотока в его области, есть ли утолщение стенки желчного пузыря, рост полипа в динамике и другие критерии. Это важно для того чтобы оценить необходимость своевременной консультации хирурга для обсуждения проведения возможной операции.

*Факторы риска: возраст более 60 лет, первичный склерозирующий холангит (ПСХ) в анамнезе, азиатская этническая принадлежность, сидячее полиповидное поражение (включая очаговое утолщение стенки желчного пузыря > 4 мм);

*для врачебной аудитории рекомендации по наблюдению и тактике ведения (согласно обновленным Европейским клиническим рекомендациям от 2021 года):

– холецистэктомия (удаление желчного пузыря) – рекомендуется пациентам при полипах размером 10 мм и более, при условии, что пациент готов к операции и согласен на неё;

– также холецистэктомия показана, если не выявлено других причин болей в животе, и пациент готов к операции и согласен на неё. Пациенту следует объяснить преимущества холецистэктомии и риск сохранения жалоб;

– при наличии у пациента полипа размером 6–9 мм и одного или нескольких факторов риска злокачественного новообразования (указаны ниже), холецистэктомия рекомендуется при условии, что пациент готов к операции и согласен на неё;

– если у пациента нет факторов риска и полип размером 6–9 мм или есть факторы риска, но полип размером 5 мм или менее, рекомендуется повторное УЗИ желчного пузыря через 6 месяцев, 1 год и 2 года. При отсутствии роста последующее наблюдение следует прекратить через 2 года;

– если у пациента нет факторов риска злокачественных новообразований, а размер полипа желчного пузыря составляет 5 мм или менее, последующее наблюдение не требуется;

– если при последующем наблюдении полиповидное поражение желчного пузыря достигает 10 мм, то рекомендуется холецистэктомия;

– если полип увеличивается на 2 мм или более в течение двухлетнего периода наблюдения, для решения вопроса о необходимости продолжения наблюдения или проведения холецистэктомии может быть проведено междисциплинарное обсуждение врачей;

– если в процессе наблюдения полиповидное образование желчного пузыря исчезает, то наблюдение можно прекратить.

Цель наблюдения:

Подавляющее большинство полипов желчного пузыря размером менее 10 мм не являются истинными злокачественными полипами, а представляют собой доброкачественные холестериновые полипы без риска перерождения. Рак желчного пузыря является редким диагнозом. С одной стороны, это ставит под сомнение целесообразность частого и длительного наблюдения пациентов, но с другой стороны, его выявление на ранней стадии заболевания имеет решающее значение для улучшения показателей выживаемости, поскольку рак желчного пузыря связан с неблагоприятным прогнозом.

* для врачебной аудитории: обновление рекомендаций 2017 года в 2021, разработанных Европейским обществом гастроинтестинальной и абдоминальной радиологии (ESGAR), Европейской ассоциацией эндоскопической хирургии и других интервенционных методов (EAES), Международным обществом хирургии органов пищеварения – Европейской федерацией (EFISDS) и Европейским обществом гастроинтестинальной эндоскопии (ESGE);

Авторы статьи: Архангельская М.В. врач УЗИ и Резгова Е.В. гастроэнтеролог РЕМ клиники