Найти в Дзене

Как исправить глубокий прикус: 5 стратегий врача на примерах

Какие методы работают при глубоком прикусе, в каком возрасте каждый из них эффективен, каковы реальные сроки и чего ждать от лечения Глубокий прикус — это когда верхние резцы перекрывают нижние более чем наполовину. Такой прикус перегружает нижние зубы, нарушает работу сустава и мышц, а в тяжёлых случаях нижние резцы упираются прямо в дёсну за верхними зубами, травмируя её. Исправить глубокий прикус можно ортодонтией, функциональными аппаратами или хирургией — выбор зависит от возраста пациента, типа и степени выраженности проблемы. Врач-ортодонт Сергей Суджаев, основатель ортодонтической клиники «Студия улыбки», разбирает 5 стратегий лечения и объясняет, какая из них подходит в каждом конкретном случае. В норме верхние резцы перекрывают нижние примерно на треть. При глубоком прикусе это перекрытие превышает половину высоты нижнего резца — от 5 мм и более. Глубокий прикус бывает двух типов: зубной — когда причина в неправильном наклоне зубов, и скелетный — когда проблема в размерах и с
Оглавление

Какие методы работают при глубоком прикусе, в каком возрасте каждый из них эффективен, каковы реальные сроки и чего ждать от лечения

Глубокий прикус — это когда верхние резцы перекрывают нижние более чем наполовину. Такой прикус перегружает нижние зубы, нарушает работу сустава и мышц, а в тяжёлых случаях нижние резцы упираются прямо в дёсну за верхними зубами, травмируя её.

Исправить глубокий прикус можно ортодонтией, функциональными аппаратами или хирургией — выбор зависит от возраста пациента, типа и степени выраженности проблемы.

Врач-ортодонт Сергей Суджаев, основатель ортодонтической клиники «Студия улыбки», разбирает 5 стратегий лечения и объясняет, какая из них подходит в каждом конкретном случае.

Что такое глубокий прикус и почему его лечат

Признаки и последствия

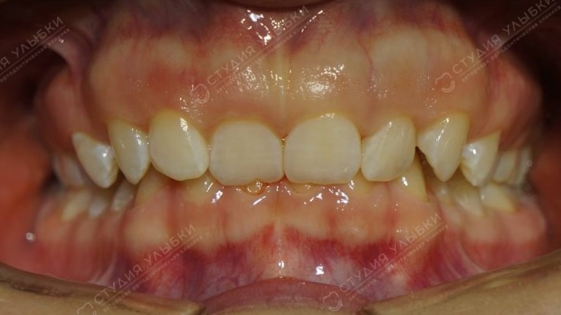
В норме верхние резцы перекрывают нижние примерно на треть. При глубоком прикусе это перекрытие превышает половину высоты нижнего резца — от 5 мм и более.

Глубокий прикус
Глубокий прикус
Нормальное перекрытие резцов
Нормальное перекрытие резцов

Глубокий прикус бывает двух типов: зубной — когда причина в неправильном наклоне зубов, и скелетный — когда проблема в размерах и соотношении самих челюстей. Это принципиальное различие: от него зависит стратегия лечения.

Если не лечить глубокий прикус, последствия нарастают постепенно. Верхние резцы постоянно трутся о нижние — эмаль стирается, нагрузка распределяется неравномерно. Нарушается траектория движения нижней челюсти, что со временем ведёт к проблемам с височно-нижнечелюстным суставом. В тяжёлых случаях нижние резцы упираются в десну за верхними зубами и травмируют её.

Когда начинать лечение

Лучший возраст для коррекции — 9–11 лет, когда активно прорезываются боковые зубы. В этот период достаточно разобщить челюсти, чтобы дать боковым зубам «вырасти» больше — и прикус выравнивается без сложных вмешательств.

После того как все постоянные зубы прорезались, лечение проводится с помощью брекетов или элайнеров. Взрослым исправить глубокий прикус тоже можно — но сложность и продолжительность лечения выше, чем у детей и подростков.

5 стратегий исправления глубокого прикуса

Стратегия 1. Функциональные аппараты (7–12 лет)

Функциональные аппараты стимулируют рост нижней челюсти и нормализуют её положение относительно верхней. Работают за счёт мышечной активности — при жевании, глотании, разговоре.

Эффективны при сочетании глубокого прикуса с дистальной окклюзией в период активного роста.

Срок лечения: 12–18 месяцев.

Стратегия 2. Брекеты без удаления (12+ лет)

Когда все постоянные зубы прорезались, основным инструментом становятся брекеты. При зубном типе глубокого прикуса и достаточном месте в зубных рядах удаление не требуется.

Врач опускает нижние зубы и поднимает верхние — это увеличивает расстояние между челюстями и выравнивает прикус. В процессе лечения боковые зубы на какое-то время перестают смыкаться — это нормальный этап коррекции.

Срок лечения: 10–26 месяцев.

Кейс из практики. Пациент, 18 лет. Диагноз: глубокая резцовая окклюзия, дистальная окклюзия. Система: брекеты H4. Срок лечения: 16 месяцев.

Стратегия 4. Брекеты с удалением зубов (14+ лет)

При выраженной скученности или нехватке места в зубном ряду брекеты применяются в сочетании с удалением премоляров.

Это позволяет правильно переместить оставшиеся зубы и стабилизировать прикус. Используется в тяжёлых зубных случаях, когда расширения челюсти недостаточно.

Срок лечения: 16–26 месяцев.

Стратегия 4. Элайнеры у взрослых (18+ лет)

Прозрачные каппы подходят при лёгком зубном типе глубокого прикуса у взрослых — когда причина в наклоне зубов, а не в размерах челюстей.

При сочетании глубокого прикуса с выраженной дистальной окклюзией предпочтительнее брекеты: они дают более точный контроль над перемещением зубов.

Срок лечения: 16–20 месяцев при несложных случаях.

Стратегия 6. Хирургия + ортодонтия (18+ лет)

При скелетной форме глубокого прикуса, особенно в сочетании с выраженной дистальной окклюзией, одна ортодонтия даёт лишь частичный результат.

В таких случаях необходима ортогнатическая операция — хирург корректирует положение челюстей, после чего ортодонт завершает выравнивание зубов с помощью брекетов. Лечение возможно только после окончания роста — с 18 лет.

Срок лечения: 20–26 месяцев (включая этапы до и после операции).

Частые вопросы — как лечить глубокий прикус

Как исправить глубокий прикус у ребёнка?

Лучший возраст — 9–11 лет, в период активного прорезывания боковых зубов. Используются функциональные аппараты или пластинки, срок лечения 12–18 месяцев. Брекеты на этом этапе, как правило, не нужны.

Можно ли вылечить глубокий прикус только элайнерами?

Да, но только лёгкий зубной тип у взрослых — срок 12–20 месяцев при соблюдении режима ношения. Скелетная форма элайнерам не по силам.

Когда при глубоком прикусе нужна операция?

При скелетной форме в сочетании с выраженной дистальной окклюзией. Перекрытие от 8 мм и более, возраст от 18 лет. Брекеты в таких случаях улучшают положение зубов, но не устраняют саму причину — несоответствие размеров челюстей.

Сколько длится лечение глубокого прикуса?

Лёгкий случай: 10–14 месяцев. Средний: 16–20 месяца. Сложный с операцией: 20–26 месяцев. Современные методы позволяют укладываться в 1,5–2 года при большинстве случаев, но индивидуальные особенности пациента всегда вносят коррективы.

Почему глубокий прикус стирает нижние зубы?

Верхние резцы при каждом смыкании давят на нижние — нагрузка сосредоточена в одной точке вместо равномерного распределения. Лечение нормализует окклюзию и снимает эту избыточную нагрузку.

Что происходит с челюстью и костью при лечении глубокого прикуса?

В ходе лечения врач опускает нижние зубы и поднимает верхние. Костная ткань при этом ремоделируется — так же, как при любом ортодонтическом перемещении зуба. На уровне челюстей, как правило, увеличивается высота нижней трети лица: межчелюстное расстояние возрастает.

Больно ли лечить глубокий прикус?

Ощущения во время лечения не отличаются от тех, что сопровождают коррекцию любой другой патологии прикуса. Единственная особенность: в процессе лечения боковые зубы нередко временно разобщаются — какое-то время они не смыкаются. Это штатный этап коррекции, а не осложнение.

Какие ошибки мешают результату при лечении глубокого прикуса?

Главная — нарушение рекомендаций врача. Нерегулярное ношение элайнеров или резинок, пропуск визитов, несоблюдение гигиены — всё это затягивает лечение и снижает качество результата.

Что будет, если не носить ретейнеры после лечения?

Рецидив. Ретенционный период обязателен после любого ортодонтического лечения — глубокий прикус не исключение. Без ретейнеров зубы начнут возвращаться на прежние места уже в первые месяцы после снятия брекетов.

Обязательна ли диагностика при глубоком прикусе?

Да, обязательна. Без КЛКТ, 3D-моделей и фотопротокола невозможно определить тип аномалии — зубная или скелетная — и выбрать правильную стратегию лечения. По результатам диагностики врач моделирует финальный результат и показывает пациенту, чего реально достичь в его ситуации.

Заключение

Глубокий прикус лечится функциональными аппаратами и пластинками у детей, брекетами или элайнерами у подростков и взрослых, а при скелетной форме — хирургией в сочетании с ортодонтией.

Стратегия определяется тремя факторами: возраст пациента, тип аномалии (зубная или скелетная) и степень её выраженности. Чем раньше начато лечение, тем мягче методы и короче сроки.

В ортодонтической клинике «Студия улыбки» каждый план лечения составляется после полной диагностики — пациент заранее видит прогноз и понимает, что его ждёт на каждом этапе.

С заботой о Вашем здоровье и красоте.
Ждем на консультации в ортодонтической клинике «Студия улыбки» +7 (985) 786-02-94. Консультации ведет главный врач клиники — врач-ортодонт Сергей Суджаев.
Если Вам понравилась статья, ставьте лайк и подписывайтесь на наш канал. Больше информации на нашем сайте https://studia-ulybki.ru/

Автор статьи

Сергей Суджаев
Врач-ортодонт, основатель и главный врач ортодонтической клиники «Студия улыбки».

  • Член европейского, американского и российского общества ортодонтов.
  • Эксперт СМИ, участник научных конгрессов и семинаров.
  • С отличием окончил ординатуру на кафедре ортодонтии и детского протезирования МГМСУ.
  • Несколько лет проработал на кафедре ортодонтии Московского медико-стоматологического университета и вел научную деятельность.
  • Стажировался в частных клиниках в Германии и США.
  • Опыт работы 14 лет.
Автор статьи: Сергей Суджаев. Врач-ортодонт, основатель и главный врач ортодонтической клиники «Студия улыбки».
Автор статьи: Сергей Суджаев. Врач-ортодонт, основатель и главный врач ортодонтической клиники «Студия улыбки».