Найти в Дзене

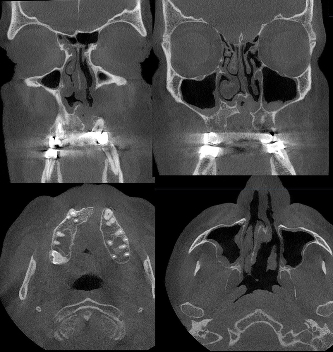
👻Рубрика "Давайте поможем Рагиму поставить диагноз

". Какие мысли? Представлена отоскопия и КЛКТ ОНП. Есть довольно специфические изменения, поэтому без подсказок)

👻Рубрика "Давайте поможем Рагиму поставить диагноз".

Какие мысли? Представлена отоскопия и КЛКТ ОНП. Есть довольно специфические изменения, поэтому без подсказок)

-2