Добавить в корзинуПозвонить
Найти в Дзене
ТОПЛЕС

Новость с пометкой ⚡️

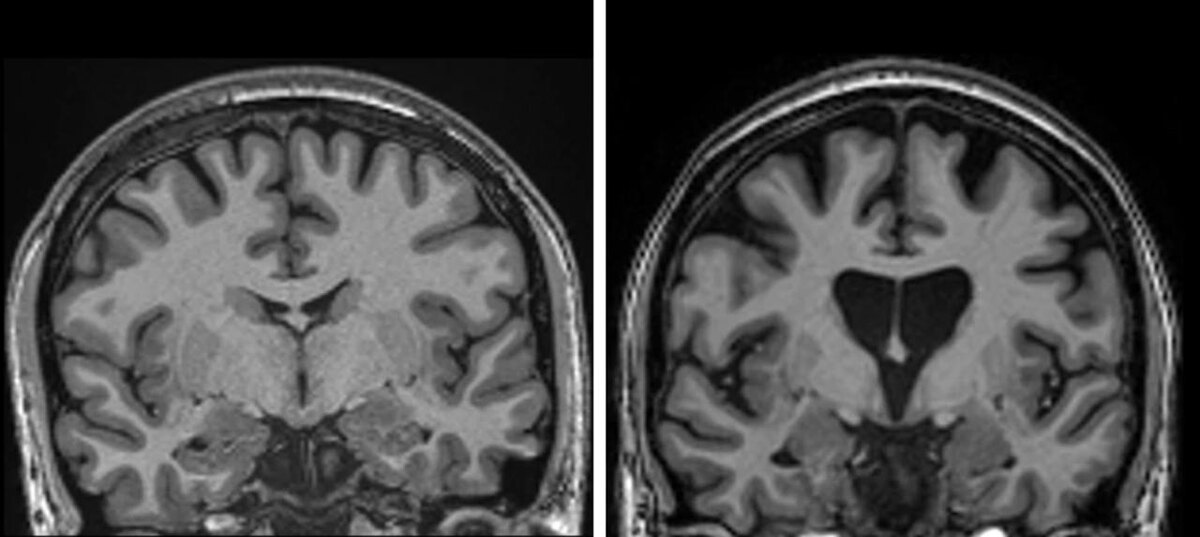
Ученые придумали первое лекарство против болезни Хантингтона, и им оказались… ГМО-вирусы. Это одна из самых страшных болезней мозга: что-то вроде Альцгеймера и Паркинсона, только в одном флаконе. Болезнь генетическая, то есть люди рождаются с ней, и всю их жизнь в мозге копятся дефектные белки. На фотографиях видно, как мозг постепенно умирает: отверстие в центре увеличивается в десятки раз, а число извилин буквально уменьшается. Примерно к 60 годам больной теряет память, не может двигаться, говорить и даже глотать. Никаких лекарств от этой болезни нет, так что пациенты неизбежно умирали. Но недавно ученые опробовали новый препарат — безвредные ГМО-вирусы. Их вводили прямо в мозг через специальную трубку. Этим вирусам полностью перепрошили гены так, чтобы они могли делать всего одну вещь — производить лекарство прямо в мозге пациента, то есть в эпицентре болезни. Вирусы проживут там десятки лет, и все это время будут бороться с болезнью Хантингтона изнутри. То есть лекарство вкололи вс

Ученые придумали первое лекарство против болезни Хантингтона, и им оказались… ГМО-вирусы.

Это одна из самых страшных болезней мозга: что-то вроде Альцгеймера и Паркинсона, только в одном флаконе. Болезнь генетическая, то есть люди рождаются с ней, и всю их жизнь в мозге копятся дефектные белки. На фотографиях видно, как мозг постепенно умирает: отверстие в центре увеличивается в десятки раз, а число извилин буквально уменьшается. Примерно к 60 годам больной теряет память, не может двигаться, говорить и даже глотать. Никаких лекарств от этой болезни нет, так что пациенты неизбежно умирали.

Но недавно ученые опробовали новый препарат — безвредные ГМО-вирусы. Их вводили прямо в мозг через специальную трубку. Этим вирусам полностью перепрошили гены так, чтобы они могли делать всего одну вещь — производить лекарство прямо в мозге пациента, то есть в эпицентре болезни. Вирусы проживут там десятки лет, и все это время будут бороться с болезнью Хантингтона изнутри.

То есть лекарство вкололи всего один раз, а работать оно будет всю жизнь. И это дало результат! От одного укола болезнь замедлилась почти вдвое. Это значит, что в теории вместо 20 лет после диагноза пациенты получат около 35 и смогут прожить полноценную жизнь.

Но знаете, что в этой новости круче всего? Помимо болезни Хантингтона у нас есть Паркинсон, Альцгеймер и много других болезней мозга, которые возникают по похожим причинам. Если технология сработает и против них, в будущем мы победим еще одну из причин старения. А это еще один шаг в сторону бессмертия.