: Ни в коем случае нельзя удалять нижние 8ки. Иначе у верхней 7ки не будет антагониста и придется выбирать: либо удалять здоровую 7ку, либо ставить имплант на место удаленной 8ки. Оно вам надо? Геометрия дело сложное 😁
: Ни в коем случае нельзя удалять нижние 8ки. Иначе у верхней 7ки не будет антагониста и придется выбирать: либо удалять здоровую 7ку, либо ставить имплант на место удаленной 8ки. Оно вам надо? Геометрия дело сложное 😁
...Читать далее
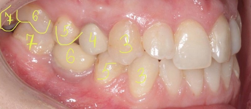
‼️Ответ:
Ни в коем случае нельзя удалять нижние 8ки.
Иначе у верхней 7ки не будет антагониста и придется выбирать: либо удалять здоровую 7ку, либо ставить имплант на место удаленной 8ки.