Найти в Дзене
Войти
Екатерина Ляпина
11 подписчиков
Подписаться
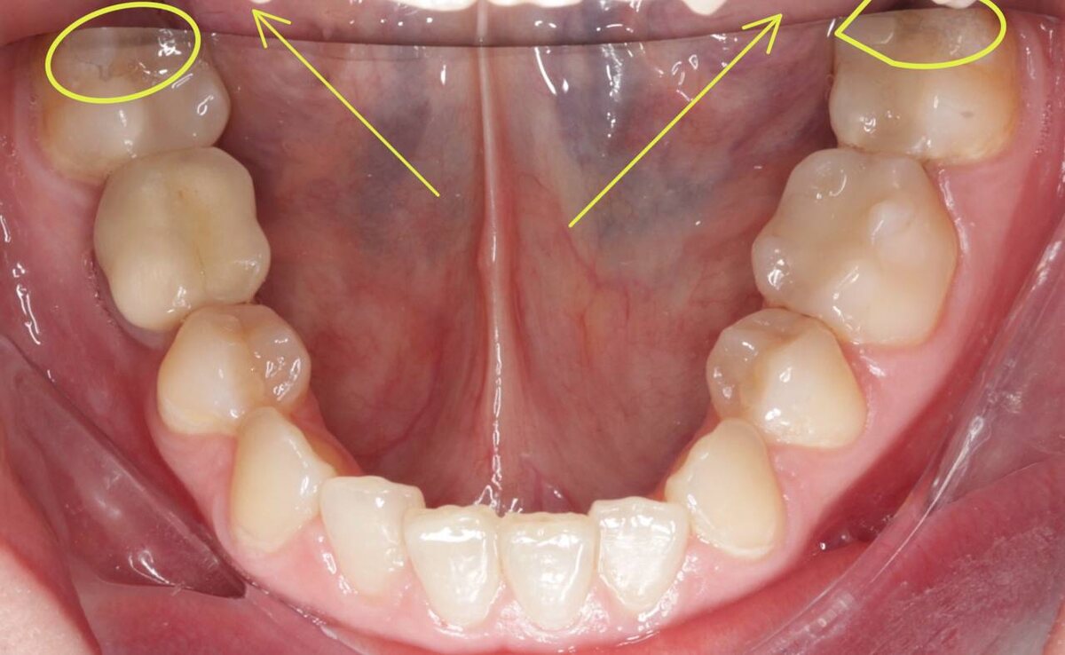
Нужно удалять 8ки? При условии всех Зубов кроме 8к на верхней челюсти
20 марта
20 мар
~1 мин
?
?
...
Читать далее
Нужно удалять 8ки? При условии всех Зубов кроме 8к на верхней челюсти?