Найти в Дзене

💎КЛИНИЧЕСКИЙ СЛУЧАЙ

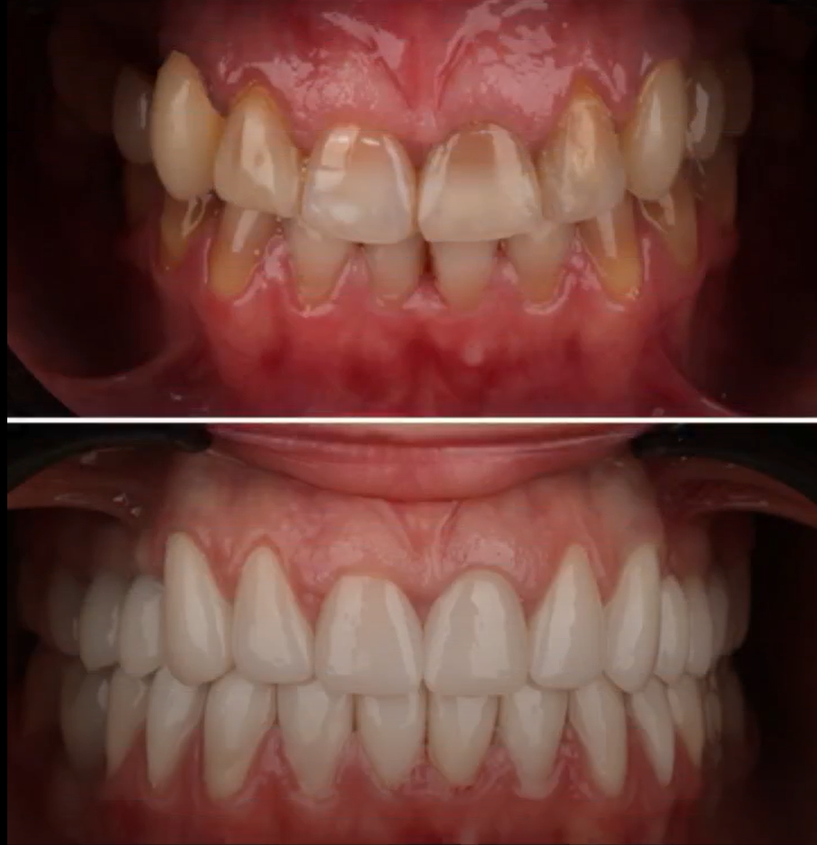
💎КЛИНИЧЕСКИЙ СЛУЧАЙ💎 Дорогие друзья! Сегодня мы хотим поделиться с вами визуализацией работы врача-стоматолога ортопеда, хирурга, имплантолога, Дмитрия Сергеевича Бекшанова, врача-стоматолога терапевта, Светланы Александровны Вищуновой и наших зубных техников 🔜 Этот случай - пример большой кропотливой работы команды, где важно было не просто восстановить зубы, но и дать пациенту уверенность в своей улыбке! Запишитесь на консультацию через Telegram или Max ____ 📍Саратов, ул. Соколовая 10/16 С уважением и заботой, ВИНИР Стоматология грамотного выбора

💎КЛИНИЧЕСКИЙ СЛУЧАЙ💎

Дорогие друзья!

Сегодня мы хотим поделиться с вами визуализацией работы врача-стоматолога ортопеда, хирурга, имплантолога, Дмитрия Сергеевича Бекшанова, врача-стоматолога терапевта, Светланы Александровны Вищуновой и наших зубных техников

🔜 Этот случай - пример большой кропотливой работы команды, где важно было не просто восстановить зубы, но и дать пациенту уверенность в своей улыбке!

Запишитесь на консультацию через Telegram или Max

____

📍Саратов, ул. Соколовая 10/16

С уважением и заботой, ВИНИР

Стоматология грамотного выбора