Добавить в корзинуПозвонить
Найти в Дзене
MY ORT

Как мы лечили подвижность коронки и воспаление десны, а в итоге пришли к полной трансформации улыбки

Проблемы с передними зубами всегда требуют точного и деликатного подхода. Здесь важна не только жевательная функция, но и эстетика, ведь малейшие изменения будут сразу заметны при разговоре и улыбке. В этом клиническом случае все началось с подвижности коронки, но в процессе лечения мы с пациенткой пришли к более комплексному решению, которое позволило не просто устранить основную проблему, но и значительно улучшить внешний вид улыбки. Пациентка 28 лет пришла ко мне, врачу-стоматологу, ортопеду, с жалобами на подвижность коронки на переднем зубе и воспаление десны в этой области. Помимо физического дискомфорта, у пациентки были переживания, связанные с эстетикой улыбки, ведь зона улыбки всегда требует особого внимания. Мы провели комплексную диагностику: выполнили сканирование верхнего и нижнего зубных рядов, КЛКТ черепа и цифровое 3D-моделирование. Диагностика показала, что зуб под коронкой сильно разрушен и не подлежит восстановлению. С учетом состояния зуба было принято решение удал
Оглавление

Проблемы с передними зубами всегда требуют точного и деликатного подхода. Здесь важна не только жевательная функция, но и эстетика, ведь малейшие изменения будут сразу заметны при разговоре и улыбке. В этом клиническом случае все началось с подвижности коронки, но в процессе лечения мы с пациенткой пришли к более комплексному решению, которое позволило не просто устранить основную проблему, но и значительно улучшить внешний вид улыбки.

Жалобы пациентки

Пациентка 28 лет пришла ко мне, врачу-стоматологу, ортопеду, с жалобами на подвижность коронки на переднем зубе и воспаление десны в этой области. Помимо физического дискомфорта, у пациентки были переживания, связанные с эстетикой улыбки, ведь зона улыбки всегда требует особого внимания.

Диагностика

Мы провели комплексную диагностику: выполнили сканирование верхнего и нижнего зубных рядов, КЛКТ черепа и цифровое 3D-моделирование.

Диагностика показала, что зуб под коронкой сильно разрушен и не подлежит восстановлению.

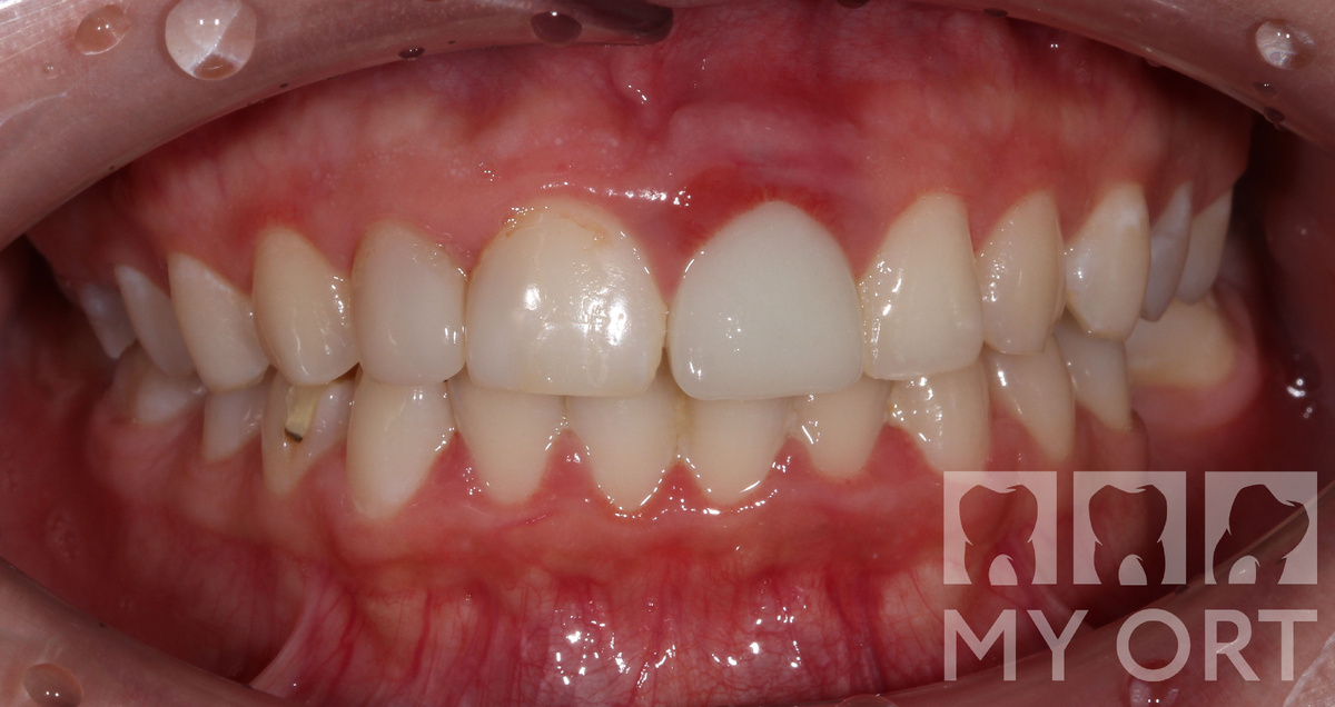
Ситуация до лечения. Зуб под коронкой сильно разрушен, видно воспаление
Ситуация до лечения. Зуб под коронкой сильно разрушен, видно воспаление

План лечения

С учетом состояния зуба было принято решение удалить его с последующей установкой имплантата. При этом важно было учитывать особенности эстетической зоны. Главное было не только восстановить функцию, но и сохранить естественный внешний вид улыбки на всех этапах лечения.

Лечение

Мы совместно с хирургом-стоматологом провели комплексное лечение. Хирург провел операцию по удалению сильно разрушенного зуба и одномоментно установил имплантат, а на следующем этапе лечения я установила временную коронку, чтобы пациентка в течение трёх месяцев могла спокойно говорить и улыбаться, пока происходит приживление имплантата.

Через три месяца, на этапе планирования постоянной коронки, пациентка сказала, что её не устраивает внешний вид передних зубов, восстановленных большими пломбами, которые постоянно нуждались в коррекции.

После согласования дальнейшего лечения с пациенткой я приняла решение одновременно с установкой постоянной коронки на имплантате изготовить и установить виниры на четыре передних зуба.

Такое решение позволило не только устранить текущую проблему, но и избежать новых эстетических и функциональных сложностей в будущем.

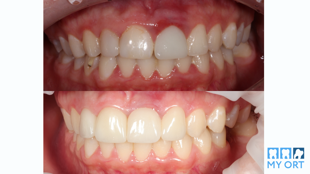
Результат лечения

В результате лечения мы смогли добиться стабильного эстетичного и стабильного результата:

  • передние зубы стали гармоничными по форме и цвету;
  • имплантат полностью интегрирован в зубной ряд и не отличается от собственных зубов;
  • была устранена необходимость постоянной коррекции ранее выполненных реставраций.

Посмотрите на итоговый результат:

А Вам уже приходилось проходить ортопедическое лечение или вы только планируете его? Задавайте свои вопросы в комментариях.

Автор статьи: Красникова Ольга Вячеславовна — врач-стоматолог, ортопед сети клиник MY ORT