Добавить в корзинуПозвонить
Найти в Дзене
4pda.to

Имплант PRIMA возвращает зрение при макулодистрофии

Небольшой имплант дал шанс людям, которые годами теряли зрение из-за возрастной макулярной дегенерации. Пациенты с тяжёлой формой заболевания снова смогли различать буквы, читать слова и вести более полноценную жизнь. PRIMA представляет собой крошечный беспроводной имплант размером 2х2 мм, который заменяет повреждённые фоторецепторы сетчатки. Гаджет преобразует свет в электрические сигналы и стимулирует сохранившиеся клетки глаза, восстанавливая передачу информации к мозгу. В международном исследовании и разработке участвовали 38 человек старше 60 лет в 17 медицинских центрах Франции, Германии, Италии, Нидерландов и Великобритании. Из 32 пациентов, завершивших год наблюдений, 81% улучшили зрение минимум на 10 букв, а средний прирост достиг 25 букв, что составляет примерно 5 строк стандартной таблицы для проверки зрения. Проект возглавили специалисты из Питтсбургского университета, Университета Стэнфорда и Боннского университета. Производитель Science Corporation уже подал заявки на одо
   Имплант PRIMA возвращает зрение при макулодистрофии
Имплант PRIMA возвращает зрение при макулодистрофии

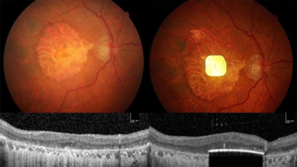
Небольшой имплант дал шанс людям, которые годами теряли зрение из-за возрастной макулярной дегенерации. Пациенты с тяжёлой формой заболевания снова смогли различать буквы, читать слова и вести более полноценную жизнь.

-2

PRIMA представляет собой крошечный беспроводной имплант размером 2х2 мм, который заменяет повреждённые фоторецепторы сетчатки. Гаджет преобразует свет в электрические сигналы и стимулирует сохранившиеся клетки глаза, восстанавливая передачу информации к мозгу.

В международном исследовании и разработке участвовали 38 человек старше 60 лет в 17 медицинских центрах Франции, Германии, Италии, Нидерландов и Великобритании. Из 32 пациентов, завершивших год наблюдений, 81% улучшили зрение минимум на 10 букв, а средний прирост достиг 25 букв, что составляет примерно 5 строк стандартной таблицы для проверки зрения.

Проект возглавили специалисты из Питтсбургского университета, Университета Стэнфорда и Боннского университета. Производитель Science Corporation уже подал заявки на одобрение гаджета в Европе и США, рассчитывая ввести технологию в клиническую практику.