Добавить в корзинуПозвонить
Найти в Дзене

Пародонтит: как люди теряют зубы без боли и не замечают этого годами

«У меня ничего не болит — значит, всё в порядке».
К сожалению, именно так чаще всего начинается история потери зубов при пародонтите. Пародонтит — одно из самых коварных стоматологических заболеваний. Он развивается медленно, практически без боли, и долго остаётся незамеченным. А когда появляются симптомы, процесс уже зашёл далеко. Пародонтит — это хроническое воспаление тканей, которые удерживают зуб: При этом сам зуб может быть абсолютно здоровым, без кариеса и боли.
Проблема не в зубе — проблема в том, что его перестаёт держать кость. Боль — это не обязательный симптом. Кость разрушается постепенно, месяцами и годами. Организм успевает адаптироваться, и острой боли просто не возникает. Пародонтит развивается снаружи зуба. Пульпа (нерв) может оставаться живой и здоровой. Нет резкой фазы — нет боли. Зато есть постоянное фоновое разрушение тканей. Чаще всего путь выглядит так: И всё это может происходить без единого болевого сигнала. При пародонтите люди чаще жалуются не на боль, а на:
Оглавление

«У меня ничего не болит — значит, всё в порядке».
К сожалению, именно так чаще всего начинается история потери зубов при пародонтите.

Пародонтит — одно из самых коварных стоматологических заболеваний. Он развивается медленно, практически без боли, и долго остаётся незамеченным. А когда появляются симптомы, процесс уже зашёл далеко.

Что такое пародонтит простыми словами

Пародонтит — это хроническое воспаление тканей, которые удерживают зуб:

  • дёсны,
  • связочный аппарат,
  • костную ткань вокруг корня.

При этом сам зуб может быть абсолютно здоровым, без кариеса и боли.
Проблема не в зубе — проблема в том,
что его перестаёт держать кость.

Почему при пародонтите не болит?

Боль — это не обязательный симптом.

1. Процесс идёт медленно

Кость разрушается постепенно, месяцами и годами. Организм успевает адаптироваться, и острой боли просто не возникает.

2. Нерв внутри зуба не затронут

Пародонтит развивается снаружи зуба. Пульпа (нерв) может оставаться живой и здоровой.

3. Хроническое воспаление «привыкает»

Нет резкой фазы — нет боли. Зато есть постоянное фоновое разрушение тканей.

Как всё начинается

Чаще всего путь выглядит так:

  1. Гингивит — кровоточивость, покраснение дёсен
  2. Игнорирование симптомов («пройдёт само»)
  3. Формирование зубного камня под десной
  4. Образование пародонтальных карманов
  5. Разрушение костной ткани
  6. Подвижность зубов
  7. Потеря зубов

И всё это может происходить без единого болевого сигнала.

-2

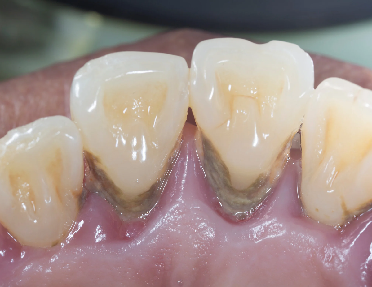
Симптомы, которые часто не воспринимают всерьёз

При пародонтите люди чаще жалуются не на боль, а на:

  • кровоточивость при чистке,
  • неприятный запах изо рта,
  • «опускание» дёсен,
  • появление щелей между зубами,
  • ощущение, что зубы стали «длиннее»,
  • лёгкую подвижность зубов.

Многие считают это возрастными изменениями — и теряют время.

-3

Почему зубы выпадают, хотя они «здоровые»

Это один из самых шокирующих моментов для пациентов.

Зуб может:

  • не болеть,
  • быть без кариеса,
  • выглядеть внешне нормально,

но при этом не иметь костной опоры.
Когда кости становится критически мало — зуб просто перестаёт удерживаться в челюсти.

-4

Кто в группе риска

Пародонтит чаще развивается у:

  • людей старше 30–35 лет,
  • курящих,
  • пациентов с диабетом,
  • людей с хроническим стрессом,
  • при скученности зубов и неправильном прикусе,
  • при нерегулярной профессиональной гигиене.

Но важно понимать: он может возникнуть и у внешне «здоровых» людей.

Можно ли остановить процесс?

Да — если выявить вовремя.

Современная стоматология умеет:

  • стабилизировать процесс,
  • уменьшить воспаление,
  • сохранить собственные зубы на долгие годы.

Но утраченная костная ткань восстанавливается сложно и не всегда полностью.

Почему профилактика важнее лечения

Пародонтит — это не болезнь одного визита.
Это история про регулярность и наблюдение.

Что действительно работает:

  • профессиональная гигиена каждые 4–6 месяцев,
  • контроль глубины пародонтальных карманов,
  • домашний уход, подобранный индивидуально,
  • отказ от курения,
  • своевременное лечение гингивита.

-5

Главное, что мы хотим донести

Если не болит — это не значит, что всё хорошо.

Пародонтит разрушает незаметно.
И часто первым «симптомом» становится уже потерянный зуб.

Если вы давно не проверяли состояние дёсен — начните с осмотра.
Это простой шаг, который может сохранить ваши зубы на десятилетия