Найти в Дзене
САРАТОВ ОНЛАЙН

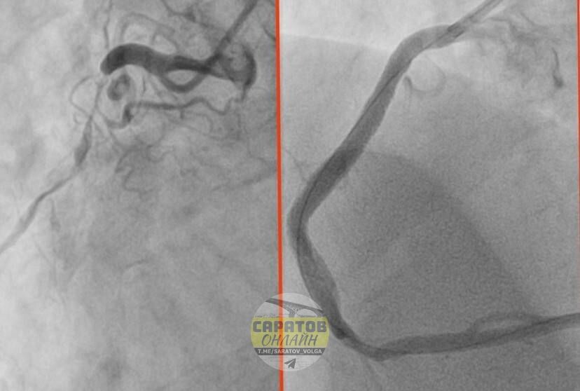
​​Саратовские врачи спасли молодого мужчину с «сердцем старика

» Специалисты Балаковской городской клинической больницы Саратовской области спасли пациента с критическим поражением сосудов. Как рассказали в медучреждении, в начале марта к ним поступил мужчина 1993 года рождения из города Пугачева. Пациент с 15 лет страдает гипертонической болезнью. Во время планового лечения он пожаловался на боли в сердце. «Результаты суточного мониторирования по Холтеру потребовали экстренной помощи. При выполнении коронарографии врачи были шокированы: сужение просвета коронарной артерии достигло 90%! Кровь почти перестала поступать к сердцу», - рассказали сотрудники БГКБ в телеграм-канале. Состояние сосудов 32-летнего мужчины специалисты сравнили с изменениями, характерными для глубокой старости: были поражены все три коронарные артерии. Чтобы предотвратить инфаркт, врачи приняли решение об экстренной операции. В результате 3 марта пациенту провели стентирование. Кровоток удалось полностью восстановить. В настоящий момент состояние мужчины стабильно, его ж

​​Саратовские врачи спасли молодого мужчину с «сердцем старика»

Специалисты Балаковской городской клинической больницы Саратовской области спасли пациента с критическим поражением сосудов.

Как рассказали в медучреждении, в начале марта к ним поступил мужчина 1993 года рождения из города Пугачева. Пациент с 15 лет страдает гипертонической болезнью. Во время планового лечения он пожаловался на боли в сердце.

«Результаты суточного мониторирования по Холтеру потребовали экстренной помощи. При выполнении коронарографии врачи были шокированы: сужение просвета коронарной артерии достигло 90%! Кровь почти перестала поступать к сердцу», - рассказали сотрудники БГКБ в телеграм-канале.

Состояние сосудов 32-летнего мужчины специалисты сравнили с изменениями, характерными для глубокой старости: были поражены все три коронарные артерии. Чтобы предотвратить инфаркт, врачи приняли решение об экстренной операции.

В результате 3 марта пациенту провели стентирование. Кровоток удалось полностью восстановить. В настоящий момент состояние мужчины стабильно, его ждет реабилитация.

▫️САРАТОВ ОНЛАЙН

▪️ЭНГЕЛЬС ОНЛАЙН

📲 Мы в мессенджере MAX