Добавить в корзинуПозвонить
Найти в Дзене

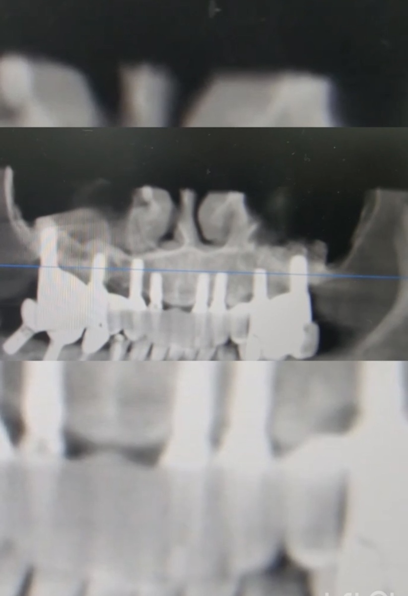
Тотальное протезирование верхней челюсти на имплантатах

Сегодня хотим рассказать вам об уникальном клиническом случае: пациент прошёл тотальное протезирование верхней челюсти на имплантатах и установку имплантов в области жевательных зубов нижней челюсти более 3-х лет назад. На последнем осмотре мы с радостью отметили стабильность и превосходное состояние как самих имплантатов, так и ортопедической конструкции. Мы всегда рады видеть наших пациентов с надёжными и длительными результатами. После таких масштабных протезирований крайне важно не забывать о профилактике - минимум раз в год приходить на профилактические осмотры и профессиональные чистки. Это помогает поддерживать здоровье полости рта и продлевать срок службы протезов. Регулярный уход и контроль - залог вашей уверенности в улыбке на долгие годы! 📍 Адрес клиники: Петровско-Разумовская аллея, дом 4, 4 этаж. Клиника Частный дантист и коллеги 📞 Запись на прием: +7 495 613-76-15 📆 График работы: ежедневно с 9 до 21:00

Сегодня хотим рассказать вам об уникальном клиническом случае: пациент прошёл тотальное протезирование верхней челюсти на имплантатах и установку имплантов в области жевательных зубов нижней челюсти более 3-х лет назад. На последнем осмотре мы с радостью отметили стабильность и превосходное состояние как самих имплантатов, так и ортопедической конструкции.

-2

Мы всегда рады видеть наших пациентов с надёжными и длительными результатами. После таких масштабных протезирований крайне важно не забывать о профилактике - минимум раз в год приходить на профилактические осмотры и профессиональные чистки. Это помогает поддерживать здоровье полости рта и продлевать срок службы протезов.

-3

Регулярный уход и контроль - залог вашей уверенности в улыбке на долгие годы!

-4

📍 Адрес клиники: Петровско-Разумовская аллея, дом 4, 4 этаж. Клиника Частный дантист и коллеги

📞 Запись на прием: +7 495 613-76-15

📆 График работы: ежедневно с 9 до 21:00