Найти в Дзене
Viru Clinic

Как элайнеры исправили скученность за 2 года: реальный клинический случай

"Мне 30+ лет. Неужели ещё можно что-то исправить с зубами? И без брекетов?" Можно. И это не теория — это практика. Сегодня разберём реальный случай ортодонтического лечения на элайнерах, который длился 2 года и 4 месяца. К нам обратилась пациентка с комплексной ортодонтической проблемой: 1. Сужение в боковых отделах
Зубные дуги были узкими, что нарушало правильное смыкание зубов и создавало дефицит места. 2. Тесное положение зубов (скученность)
Зубам не хватало места, они налезали друг на друга, стояли криво, развёрнуто. 3. Мезиальное смещение зубов на верхней челюсти слева
Зубы с левой стороны "уехали" вперёд, нарушив правильные пропорции зубного ряда и симметрию. 4. Нарушение наклона резцов
Передние зубы стояли под неправильным углом, что влияло на эстетику улыбки и функцию. 5. Отсутствие места для клыка
Клык не мог встать в правильное положение из-за дефицита пространства. Ортодонт Кудрявцева И.А. разработала комплексный план лечения на элайнерах с использованием дополнительно
Оглавление

"Мне 30+ лет. Неужели ещё можно что-то исправить с зубами? И без брекетов?"

Можно. И это не теория — это практика. Сегодня разберём реальный случай ортодонтического лечения на элайнерах, который длился 2 года и 4 месяца.

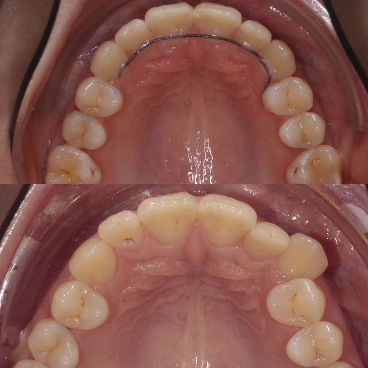
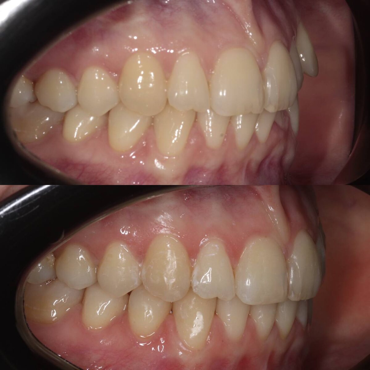
до после
до после

Клинический случай: что было до лечения

К нам обратилась пациентка с комплексной ортодонтической проблемой:

Диагноз

1. Сужение в боковых отделах

Зубные дуги были узкими, что нарушало правильное смыкание зубов и создавало дефицит места.

2. Тесное положение зубов (скученность)

Зубам не хватало места, они налезали друг на друга, стояли криво, развёрнуто.

3. Мезиальное смещение зубов на верхней челюсти слева

Зубы с левой стороны "уехали" вперёд, нарушив правильные пропорции зубного ряда и симметрию.

4. Нарушение наклона резцов

Передние зубы стояли под неправильным углом, что влияло на эстетику улыбки и функцию.

5. Отсутствие места для клыка

Клык не мог встать в правильное положение из-за дефицита пространства.

Что это значило для пациентки?

  • Неэстетичная улыбка — зубы криво стояли
  • Трудности с гигиеной — в местах скученности скапливался налёт
  • Риск кариеса и воспаления дёсен
  • Неправильная нагрузка на зубы при жевании
  • Психологический дискомфорт

Что мы сделали: план лечения

Ортодонт Кудрявцева И.А. разработала комплексный план лечения на элайнерах с использованием дополнительной ортодонтической механики.

Цели лечения

Убрать скученность зубов

Создать достаточно места для ровного расположения всех зубов.

Скорректировать форму зубных дуг

Расширить боковые отделы, придать дугам правильную параболическую форму.

Нормализовать смыкание в боковых отделах

Добиться правильного контакта верхних и нижних зубов при смыкании.

Создать место для клыка

Переместить соседние зубы, освободив пространство для клыка, и установить его в правильное положение.

Методы лечения

Основа: Элайнеры (прозрачные каппы)

Дополнительно: Один минивинт слева — для создания опоры и контролируемого перемещения зубов

Срок лечения: 2 года и 4 месяца (28 месяцев)

До после
До после

Почему элайнеры, а не брекеты?

В этом случае элайнеры были оптимальным выбором по нескольким причинам:

1. Эстетика

Пациентка — взрослый человек с активной социальной жизнью. Прозрачные элайнеры незаметны при разговоре и на фото. Никаких металлических замочков, дуг и "подросткового" вида.

2. Комфорт

  • Гладкая поверхность — не натирают щёки и губы
  • Съёмные — можно есть всё, что угодно
  • Легко чистить зубы — снял каппу, почистил зубы, надел обратно

3. Предсказуемость

Перед началом лечения пациентка увидела 3D-модель финального результата. Это не "поставим и посмотрим" — это чёткое понимание, что получится в итоге.

4. Меньше визитов к врачу

В отличие от брекетов, которые требуют активации каждые 3-4 недели, элайнеры позволяют менять каппы самостоятельно дома. Визиты к ортодонту — раз в 2-3 месяца для контроля.

Как проходило лечение

Этап 1: Диагностика и планирование

  • 3D-сканирование зубных рядов
  • Фотопротокол (фото лица и зубов)
  • Анализ КЛКТ (компьютерной томографии)
  • Цифровое моделирование лечения (ClinCheck)
  • Согласование плана с пациенткой

Этап 2: Установка минивинта

Минивинт — это мини-имплант (микровинт), который устанавливается в кость и служит опорой для перемещения зубов.

Зачем нужен был минивинт?

Для коррекции мезиального смещения зубов слева нужна была
стабильная опора. Минивинт позволил переместить зубы назад без нежелательного смещения других зубов.

Установка:

Процедура занимает 10-15 минут, проводится под местной анестезией, абсолютно безболезненна.

Этап 3: Начало ношения элайнеров

Пациентка получила первую серию элайнеров (обычно сразу выдаётся 3-4 пары).

Режим ношения:

22 часа в сутки. Снимать только на время еды и чистки зубов.

Смена капп:

Каждые 7-14 дней (в зависимости от этапа лечения).

Этап 4: Регулярный контроль

Визиты к ортодонту каждые 2-3 месяца:

  • Оценка хода лечения
  • Проверка посадки элайнеров
  • Установка аттачментов (при необходимости)
  • Выдача новых капп
  • Корректировка плана (если нужно)

Этап 5: Завершение активного лечения

После 28 месяцев ношения элайнеров — финальная фиксация результата.

Этап 6: Ретенция

Критически важный этап!

После снятия активных элайнеров устанавливаются
ретейнеры — тонкие проволочки с внутренней стороны зубов или ретенционные каппы.

Результат: что получила пациентка

Ровные зубы — скученность полностью устранена

Правильная форма зубных дуг — красивая улыбка

Нормализованное смыкание — зубы работают правильно

Клык на своём месте — ровный, функциональный зубной ряд

Гармоничная улыбка — симметрия, эстетика

Здоровье — удобно чистить зубы, нет скоплений налёта

Уверенность — больше не стесняется улыбаться

Часто задаваемые вопросы

Это больно?

Нет. Первые 2-3 дня после смены каппы может быть ощущение давления — это зубы начинают двигаться. Это дискомфорт, а не боль. К концу первой недели привыкаете полностью.

Будет видно на фото?

Элайнеры практически незаметны. На расстоянии вытянутой руки их не видно. Только при очень близком общении можно заметить лёгкий блеск.

Можно ли есть в элайнерах?

Нет. Перед едой нужно снимать каппы. Пить воду можно.

Что если потерял каппу?

Надеваете предыдущую (храните использованные) и срочно связываетесь с ортодонтом. Изготовят дубликат.

Сколько раз в день нужно чистить зубы?

После каждого приёма пищи. Каппы тоже нужно промывать и чистить мягкой щёткой.

Почему пациенты выбирают лечение на элайнерах в клинике Viru?

💎 Опытные ортодонты

Кудрявцева И.А. и другие специалисты клиники провели сотни успешных кейсов на элайнерах.

💎 Цифровое планирование

Вы видите финальный результат ДО начала лечения. Никаких сюрпризов.

💎 Работа со сложными случаями

Скученность, асимметрия, нарушения прикуса — у нас есть опыт.

💎 Комплексный подход

При необходимости используем дополнительную механику (минивинты, эластики) для лучшего результата.

💎 Контроль на каждом этапе

Регулярные визиты, корректировка плана, внимание к деталям.

💎 Премиальный сервис

Комфортная атмосфера, внимание, забота на каждом визите.

📍 Запишитесь на консультацию ортодонта в клинику Viru

Ваша улыбка может быть идеальной

Неважно, сколько вам лет — 25, 35 или 45. Выровнять зубы никогда не поздно.

Современная ортодонтия позволяет:

  • Лечиться незаметно (прозрачные элайнеры)
  • Комфортно (без боли и натираний)
  • Предсказуемо (видите результат заранее)
  • С минимумом визитов к врачу

Этот клинический случай — не исключение. Это один из сотен.

И если вы думаете: "А мне вообще можно помочь?" — ответ ДА.

Запишитесь на консультацию

На первой консультации ортодонт:

  • Проведёт осмотр
  • Сделает диагностические фото
  • Расскажет о вариантах лечения
  • Покажет примерный план и сроки
  • Ответит на все ваши вопросы

Консультация — это не обязательство лечиться. Это возможность узнать, что можно сделать именно в вашем случае.

Больше клинических случаев читайте на нашем канале и подписывайтесь.

📍 2 филиала в Санкт-Петербурге

📊 Более 2000 пациентов прошли ортодонтическое лечение

🦷 Специализация: элайнеры, брекеты, сложные случаи

⭐ Цифровое планирование, 3D-моделирование

Официальный сайт стоматологической клиники в Санкт-Петербурге ViRU

Наш соцсети: Телеграм. Вконтакте

Телефон: +7 (812) 565-35-26

P.S. Каждый случай уникален. То, что сработало у этой пациентки, может отличаться от вашей ситуации. Но одно неизменно: правильная диагностика + опытный ортодонт + ваша дисциплина = красивая ровная улыбка.

Вы готовы начать свой путь к идеальной улыбке? 🦷✨