Найти в Дзене
N + 1

Япония первой в мире одобрила препарат из аллогенных индуцированных стволовых клеток

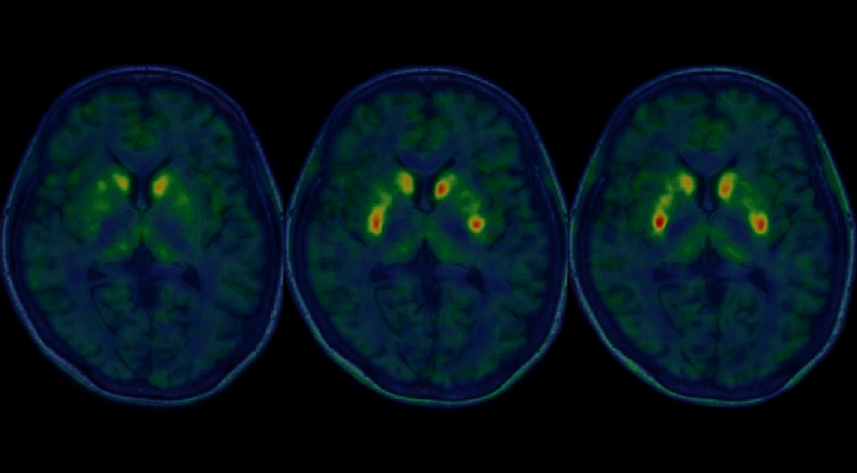
Японская компания Sumitomo Pharma первой в мире получила от национального регулятора лицензию на терапевтический продукт, получаемый из аллогенных (донорских) индуцированных плюрипотентных стволовых клеток (ИПСК). Им стал рагунепроцел (Amchepry), который представляет собой дофаминергические прогениторные нервные клетки для улучшения двигательных функций при болезни Паркинсона. Он предназначен для пациентов, у которых не был получен адекватный ответ на фармакологическую терапию. Продукт одобрен к применению условно и на ограниченный период времени, производитель обязан провести постмаркетинговое клиническое исследование и постмаркетинговое наблюдение для получения полного одобрения. Основанием для одобрения стали результаты открытых нерандомизированных испытаний фазы I/II. В ходе них семь пациентов (возраст 50–69 лет) с болезнью Паркинсона получили двустороннюю трансплантацию рагунепроцела. Серьезных побочных эффектов не было, как и избыточного роста трансплантатов. У четырех из шести у

Японская компания Sumitomo Pharma первой в мире получила от национального регулятора лицензию на терапевтический продукт, получаемый из аллогенных (донорских) индуцированных плюрипотентных стволовых клеток (ИПСК). Им стал рагунепроцел (Amchepry), который представляет собой дофаминергические прогениторные нервные клетки для улучшения двигательных функций при болезни Паркинсона. Он предназначен для пациентов, у которых не был получен адекватный ответ на фармакологическую терапию. Продукт одобрен к применению условно и на ограниченный период времени, производитель обязан провести постмаркетинговое клиническое исследование и постмаркетинговое наблюдение для получения полного одобрения.

  Nobukatsu Sawamoto et al. / Nature, 2025
Nobukatsu Sawamoto et al. / Nature, 2025

Основанием для одобрения стали результаты открытых нерандомизированных испытаний фазы I/II. В ходе них семь пациентов (возраст 50–69 лет) с болезнью Паркинсона получили двустороннюю трансплантацию рагунепроцела. Серьезных побочных эффектов не было, как и избыточного роста трансплантатов. У четырех из шести участников, включенных в анализ эффективности, наблюдалось значительное улучшение счета OFF и у пяти — счета ON шкалы MDS-UPDRS, у четырех наблюдалось улучшение стадии заболевания по шкале Хён — Яра.