Добавить в корзинуПозвонить
Найти в Дзене
Фокус эндоскописта

Аденокистозный рак средней трети трахеи: когда трахеостомия не решает проблему обструкции

Первичные опухоли трахеи встречаются редко, в менее 0,1% всех случаев злокачественных новообразований. Один из наиболее сложных вариантов — аденокистозный рак. Такая опухоль растёт медленно, поздно манифестирует и может вызывать прогрессирующую обструкцию дыхательных путей, требующую экстренного вмешательства. Клинический случай Пациент 33 лет с позиционной одышкой, с трудом говорит длинными фразами. Жалобы на усугубляющиеся на протяжении последнего года одышку и нарушения сна. При осмотре выявлен двухфазный стридор в покое, но SpO2 составила 97%. При трансназальной трахеоскопии обнаружили рыхлое новообразование в задне-среднедистальном отделе трахеи, практически полностью перекрывавшее просвет. Для подтверждения находки выполнили бронхоскопию и КТ. Операция При такой локализации новообразования и степени обструкции стандартная эндотрахеальная интубация была невозможна. Трахеостомию врачи посчитали небезопасной из-за риска потери проходимости дыхательных путей. В итоге было решено приб

Первичные опухоли трахеи встречаются редко, в менее 0,1% всех случаев злокачественных новообразований. Один из наиболее сложных вариантов — аденокистозный рак. Такая опухоль растёт медленно, поздно манифестирует и может вызывать прогрессирующую обструкцию дыхательных путей, требующую экстренного вмешательства.

Клинический случай

Пациент 33 лет с позиционной одышкой, с трудом говорит длинными фразами. Жалобы на усугубляющиеся на протяжении последнего года одышку и нарушения сна. При осмотре выявлен двухфазный стридор в покое, но SpO2 составила 97%.
При трансназальной трахеоскопии обнаружили рыхлое новообразование в задне-среднедистальном отделе трахеи, практически полностью перекрывавшее просвет. Для подтверждения находки выполнили бронхоскопию и КТ.

Операция

При такой локализации новообразования и степени обструкции стандартная эндотрахеальная интубация была невозможна. Трахеостомию врачи посчитали небезопасной из-за риска потери проходимости дыхательных путей.

-2

В итоге было решено прибегнуть к вено-венозной экстракорпоральной мембранной оксигенации (ВВ-ЭКМО) с чрескожной канюляцией бедренных сосудов. По достижении стабильной оксигенации был индуцирован общий наркоз и выполнено эндоскопическое удаление опухоли. После резекции пациенту установили временный трахеальный стент для поддержания проходимости дыхательных путей.

ЭКМО отключили на следующий день после операции, и еще через день провели экстубацию.

Результаты и дальнейшее ведение

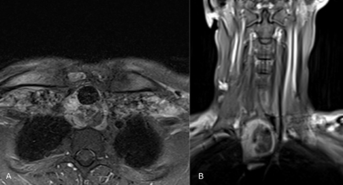
Гистология подтвердила аденокистозный рак. МРТ показала краниокаудальное образование в задней стенке трахеи размером 5,5 см без явного поражения пищевода. Консилиум признал новообразование неоперабельным. Пациент направлен на химиолучевую терапию и молекулярно-генетическое тестирование для оценки возможности таргетного лечения.

Вывод для практики

В данном случае ВВ-ЭКМО обеспечила оксигенацию для резекции опухоли и стентирования, позволила стабилизировать состояние пациента и спланировать дальнейшее лечение.

Исходная публикация: Beiriger J, Grewal M, Bestourous D, et al. Awake ECMO for Mid-Tracheal Obstruction: When a Tracheostomy Isn't Enough. Clin Case Rep. 2026;14(2):e71948. Published 2026 Jan 28. doi:10.1002/ccr3.71948

Изображения использованы по лицензии CC BY 4.0.

#endovi_clinical_case

Имеются противопоказания. Перед применением необходимо проконсультироваться со специалистом или ознакомиться с инструкцией.