Добавить в корзинуПозвонить
Найти в Дзене
АиФ-Черноземье

Липецкие врачи спасли ноги мужчины после страшного ДТП

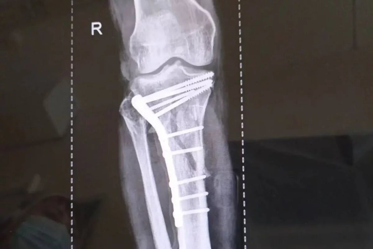
В Липецке врачи-травматологи горбольницы «Липецк — Мед» спасли ноги мужчины после серьёзного ДТП. Об этом сообщили в пресс-службе областного Минздрава. Пациент поступил после тяжелого ДТП 25 февраля. У него были внутрисуставные переломы верхних зон обеих голеней. Врачам потребовались почти три часа, чтобы по кусочкам собрать голени пострадавшего. Мужчина потерял довольно много крови, поэтому операция проходила на фоне хронической анемии. Оперировали заведующий отделением травматологии Дмитрий Соколов с ассистентом, врачом — травматологом Евгением Крюченковым. Специалисты оперировали одновременно обе ноги с минимальной кровопотерей. Сейчас пациента уже перевели из реанимации в отделение.
   Липецкие врачи спасли ноги мужчины после страшного ДТП
Липецкие врачи спасли ноги мужчины после страшного ДТП

В Липецке врачи-травматологи горбольницы «Липецк — Мед» спасли ноги мужчины после серьёзного ДТП. Об этом сообщили в пресс-службе областного Минздрава.

Пациент поступил после тяжелого ДТП 25 февраля. У него были внутрисуставные переломы верхних зон обеих голеней. Врачам потребовались почти три часа, чтобы по кусочкам собрать голени пострадавшего.

Мужчина потерял довольно много крови, поэтому операция проходила на фоне хронической анемии.

Оперировали заведующий отделением травматологии Дмитрий Соколов с ассистентом, врачом — травматологом Евгением Крюченковым. Специалисты оперировали одновременно обе ноги с минимальной кровопотерей. Сейчас пациента уже перевели из реанимации в отделение.