Найти в Дзене

Болезнь Кёнига (рассекающий остеохондрит)⁠⁠

Болезнь Кёнига — это патология, при которой участок суставного хряща и подлежащей кости отмирает (асептический некроз) и отделяется, попадая в полость сустава в виде «суставной мыши»
Стадии болезни Кенига:
I стадия (Некроз): Формирование очага некроза субхондральной кости. Хрящ становится менее прочным, но целостность его не нарушена. Рентген часто на этой стадии неинформативен, изменения видны

Болезнь Кёнига — это патология, при которой участок суставного хряща и подлежащей кости отмирает (асептический некроз) и отделяется, попадая в полость сустава в виде «суставной мыши»

Стадии болезни Кенига:

  • I стадия (Некроз): Формирование очага некроза субхондральной кости. Хрящ становится менее прочным, но целостность его не нарушена. Рентген часто на этой стадии неинформативен, изменения видны на МРТ.
  • II стадия (Диссекция): Появление трещин в хряще, начало отделения некротизированного участка (фрагмента) от здоровой кости.
  • III стадия (Неполное отделение): Фрагмент частично отделен от кости, но остается связанным с ней.
  • IV стадия (Полное отделение):Отделившийся костно-хрящевый фрагмент («суставная мышь») свободно перемещается в полости сустава, вызывая частые блокады и резкую боль.
-2
-3
-4
-5
-6
-7

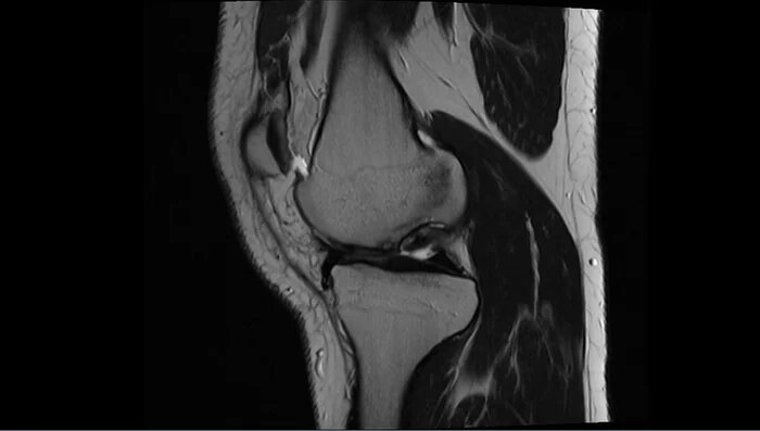
МРТ, КТ призывника с жалобами на боли в правом коленном суставе, "заклинивание" в суставе.

По задне-внутренней поверхности медиального мыщелка правой бедренной кости определяются участки субхондральных изменений-костные структуры размерами 11х5мм, 8х3мм,гиалиновый хрящ под ними не прослеживается. Заключение :Рассекающий остеохондрит (б.Кенига)правого коленного сустава.

-8

Категория годности в выше представленном случае по ст.65(Хирургические болезни и поражения костей, крупных суставов, хрящей:)а-Д(не годен к военной службе).

https://t.me/MME_SurgeryRadiolodgy