Найти в Дзене
записки зубного детектива

Когда приходит срок менять коронку и от чего это зависит

«Эмиль Гургенович, подскажите, пожалуйста, по каким признакам можно понять, что пора менять коронку на импланте? Если, к примеру, коронка циркониевая и винтовой фиксации? Есть ли разница в сроках службы коронки на родном зубе и на импланте?» А вот это очень и очень тонкий вопрос. Формально считается, что коронку нужно менять в любом случае, если она прослужила 9-10 лет, т.к. за это время происходят необратимые изменения в организме, кость оседает, десна обнажает край коронки и т.д. и т.п. Сильно подозреваю, что данное исследование лоббировали сами стоматологи, т.к., по моему мнению, основанному на без малого сорокалетнем опыте, календарный срок не имеет вообще никакого значения, а значение имеют состояние здоровья, гигиена, ежегодные контрольные осмотры и т.д. У кого-то диабет, у кого-то его нет. У кого-то остеопороз, у кого-то идеальная кость. Кто-то курит по 2 пачки в день, кто-то не курит вообще. У одного человека и через 5 лет может кость осесть на много миллиметров, а у другого и
«Эмиль Гургенович, подскажите, пожалуйста, по каким признакам можно понять, что пора менять коронку на импланте? Если, к примеру, коронка циркониевая и винтовой фиксации? Есть ли разница в сроках службы коронки на родном зубе и на импланте?»

А вот это очень и очень тонкий вопрос. Формально считается, что коронку нужно менять в любом случае, если она прослужила 9-10 лет, т.к. за это время происходят необратимые изменения в организме, кость оседает, десна обнажает край коронки и т.д. и т.п.

Сильно подозреваю, что данное исследование лоббировали сами стоматологи, т.к., по моему мнению, основанному на без малого сорокалетнем опыте, календарный срок не имеет вообще никакого значения, а значение имеют состояние здоровья, гигиена, ежегодные контрольные осмотры и т.д.

У кого-то диабет, у кого-то его нет. У кого-то остеопороз, у кого-то идеальная кость. Кто-то курит по 2 пачки в день, кто-то не курит вообще. У одного человека и через 5 лет может кость осесть на много миллиметров, а у другого и через 20 стоит мертво на том же уровне. У одного человека через 1-2 года после удаления зуба образуется провал на этом месте и нужна костная пластика, чтобы установить хотя бы самый короткий имплантат, а у другого и через 10 лет шикарная кость, в которую можно ставить хоть самый длинный.

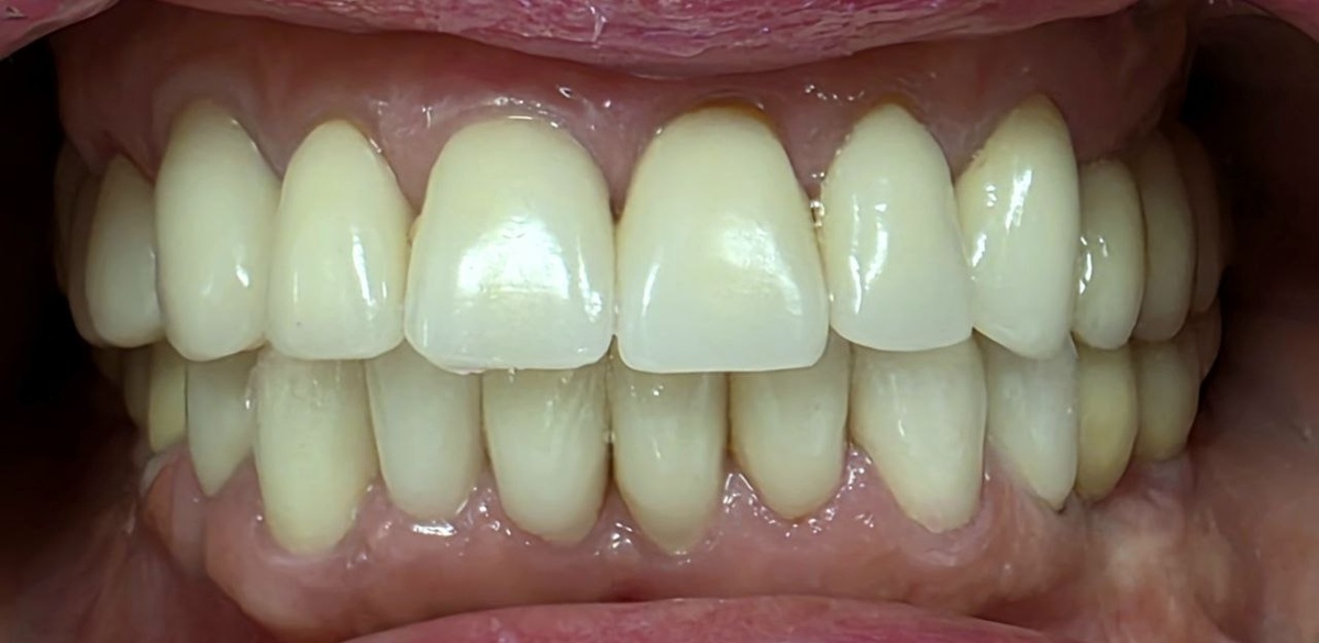
Вот, посмотрите, для примера, на этот случай. Буквально в этот понедельник ко мне приходила пациентка, которую я протезировал где-то в 2016-2017 году. Посмотрите на данные коронки и скажите, зачем их все менять? Просто потому, что прошло 10 лет? А смысл, если показаний больше нет, а пациентка никаких жалоб не предъявляет! За качество фото прошу прощения, снято на бегу буквально на тапок, пациент с анестезией ждал в кресле, но даже по такому снимку видно, что переделывать тут особо нечего!

Вот как после этого говорить хоть о каком-то жестко указанном сроке службы? Конечно, все это весьма и весьма относительно. Все по показаниям, все индивидуально, все по ситуации.

Есть у меня пациенты, которые ходят с моими коронками 25 лет. Там уже и десна, естественно, отошла от края, сколы керамики имеются, стираемость достаточно серьезная, но они категорически не хотят ничего менять до тех пор, пока не наступит острая необходимость. И ходят себе, довольные, с этими коронками уже четверть века! А есть такие, кто приходит и через 5 лет с явными показаниями к замене.

Тут нужно понимать, что коронки на своих зубах и коронки на имплантатах — вещи разные, но суть показаний к замене коронок абсолютно одинакова — сохранение того, что находится под ними. Если под коронкой свой собственный зуб, то главная задача — сделать так, чтобы зуб под ней не сгнил и был пригоден к дальнейшей службе.

Если зуб живой, здоровый, грамотно обработан под коронку и коронка изготовлена качественно, то под ней зубу ничего не грозит. Через те же 10 лет мы просто заменим коронку, уточнив ее край согласно текущей ситуации, и зуб спокойно проживет еще 10 лет, потом еще 10 лет и т.д.

Если зуб мертвый, много раз леченый и пломбы там больше, чем сам зуб, то тут уже сколько выдержат сами остатки зуба, столько конструкция и продержится.

Если вовремя коронку не сменить, не заметить, что под ней начался кариес, потеряна герметизация и идет процесс разрушения зуба, то велика вероятность получить после снятия коронки гнилой пенек, не подлежащий восстановлению. А это — удаление и имплантация.

Вот этот протез я бы поменял уже, но поздно!
Вот этот протез я бы поменял уже, но поздно!

Раньше, когда металлокерамику делали на основе никель- или кобальт-хромовых сплавов, при малейшем обнажении края коронки мы часто видели очень некрасивые темные ободки вокруг коронок. Это побуждало пациентов менять коронку, т.к. превращалось в эстетическую проблему. Сейчас, когда коронки делаются на колпачках из белого диоксида циркония, ничего темного там уже нет и мы смотрим только на состояние обнажившегося корня зуба под коронкой, чтобы он не подвергался кариозному процессу.

Что касается коронок на имплантате, то там главное — состояние имплантата и тканей вокруг него. Если под коронку начинает забиваться пища, а вы ее плохо промываете, не пользуетесь ирригатором и не ходите на контрольные осмотры, то через пару-тройку лет вполне можете заработать себе периимплантит, когда в результате воспаления тканей вокруг имплантата он начнет обнажаться. А это уже гораздо хуже, чем просто замена коронки, т.к. может потянуть за собой замену имплантата.

И неважно, циркониевая там коронка или какая другая, — речь уже идет не о состоянии коронки, а о состоянии самого имплантата. В результате воспаления придется удалить имплантат, вырастить на его месте кость заново (минимум 2-3 месяца), поставить новый имплантат, дождаться, пока он интегрируется с костью (еще 3-4 месяца), потом поставить временные коронки и еще через некоторое время постоянные.

Как видите, на этом фоне замена одной коронки на другую, которую можно провернуть за неделю, кажется легкой, приятной и во много раз более дешевой процедурой. Поэтому, если есть показания к замене, пытаться экономить, отказываться и тянуть до последнего — неразумно. Есть опасность потом очень об этом пожалеть, ведь любая замена имплантата (или сгнившего под коронкой зуба) всегда проходит тяжелее, чем замена коронки, дороже и дольше!

Итого, резюмируем. Средний срок службы коронок в 10 лет — величина весьма относительная, очень индивидуальная и зависит от многих факторов (где каждый из них может сыграть решающую роль). Прежде всего, от:

  1. Грамотного протезирования.
  2. Состояния здоровья пациента.
  3. Качественного ухода за полостью рта.
  4. Регулярности контрольных осмотров.

Заметьте, от врача зависит только один фактор из четырех! Задумайтесь над этим!

Агаджанян Эмиль Гургенович, врач стоматолог-ортопед, генеральный директор "Медицинского Центра Добрых Стоматологов", Санкт-Петербург

Медицинский Центр Добрых Стоматологов: современная стоматология в Санкт-Петербурге

Мой Телеграм-канал: https://t.me/docstomru