Добавить в корзинуПозвонить
Найти в Дзене
Ирина Бушманова

Доступ 2 мм, живая коронка и микроскоп - вот как это работает

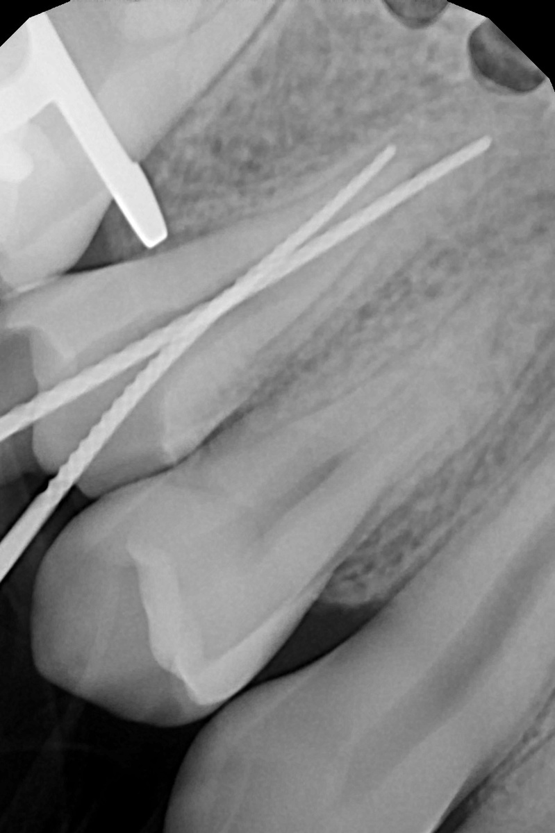
На этой неделе был случай, который люблю и боюсь одновременно. Пациент пришёл с проблемой. Зуб под коронкой. Коронка дорогая, свежая - снимать жалко и нецелесообразно. Но каналы нужно перелечивать. Задача: попасть в каналы через отверстие размером около 2 миллиметров. Не сломать коронку. Не промахнуться. Без микроскопа - это либо удача, либо риск. С микроскопом совсем другой разговор. Микроскоп даёт увеличение до 25 крат. Ты видишь устья каналов, трещины, перфорации - то, что невооружённым глазом просто не существует. Инструмент идёт туда, куда нужно. Не приблизительно, а точно. Я убеждена: лечение каналов без микроскопа - это работа вслепую. Даже у опытного врача. Даже на «простом» зубе. Каналы бывают изогнутые, разветвлённые, кальцифицированные. Это не видно на глаз. Коронку сохранили. Каналы запломбированы. Пациент ушёл с зубом.

На этой неделе был случай, который люблю и боюсь одновременно.

Пациент пришёл с проблемой. Зуб под коронкой. Коронка дорогая, свежая - снимать жалко и нецелесообразно. Но каналы нужно перелечивать.

Задача: попасть в каналы через отверстие размером около 2 миллиметров. Не сломать коронку. Не промахнуться.

Без микроскопа - это либо удача, либо риск. С микроскопом совсем другой разговор.

-2

Микроскоп даёт увеличение до 25 крат. Ты видишь устья каналов, трещины, перфорации - то, что невооружённым глазом просто не существует. Инструмент идёт туда, куда нужно. Не приблизительно, а точно.

Я убеждена: лечение каналов без микроскопа - это работа вслепую. Даже у опытного врача. Даже на «простом» зубе. Каналы бывают изогнутые, разветвлённые, кальцифицированные. Это не видно на глаз.

Коронку сохранили. Каналы запломбированы. Пациент ушёл с зубом.