Добавить в корзинуПозвонить
Найти в Дзене
Parodoctor

Многокорневой зуб с периодонтитом перелечили за 3,5 часа в одно посещение. Тот самый, который "проще удалить"

Есть пациенты, к которым привыкаешь. Которые приезжают издалека, раз за разом садятся в кресло, и ты видишь, как постепенно, зуб за зубом, меняется не только их улыбка, но и они сами. "Круто наблюдать, как с изменением состояния зубов в лучшую сторону меняется сам человек - его настроение, ощущение себя, уверенность, позитив" - Обмайкин Р.Ю. Помните нашего иногороднего пациента, которому стоматологи-терапевты 29,5 часов спасали зубы вместо рекомендованного удаления? Семь визитов, семь пролеченных зубов и каждый раз вопрос стоял одинаковом - удалять или бороться? Мы боролись. История терапевтическя не закончилась и пациент приехал снова. На этот раз его и нас ждал, пожалуй, самый интересный зуб из всех: Терапевтическое лечение на всём пути вели Тирик Елизавета Дмитриевна и Обмайкин Роман Юрьевич. До этого ими было семь зубов перелечено, пролечено, реанимировано. 29,5 часов в кресле за предыдущие визиты провёл пациент. И настало время поставить точку. Привелегия досталась Роману Юрьеви
Оглавление

Есть пациенты, к которым привыкаешь. Которые приезжают издалека, раз за разом садятся в кресло, и ты видишь, как постепенно, зуб за зубом, меняется не только их улыбка, но и они сами.

"Круто наблюдать, как с изменением состояния зубов в лучшую сторону меняется сам человек - его настроение, ощущение себя, уверенность, позитив" - Обмайкин Р.Ю.

Помните нашего иногороднего пациента, которому стоматологи-терапевты 29,5 часов спасали зубы вместо рекомендованного удаления? Семь визитов, семь пролеченных зубов и каждый раз вопрос стоял одинаковом - удалять или бороться? Мы боролись.

История терапевтическя не закончилась и пациент приехал снова. На этот раз его и нас ждал, пожалуй, самый интересный зуб из всех:

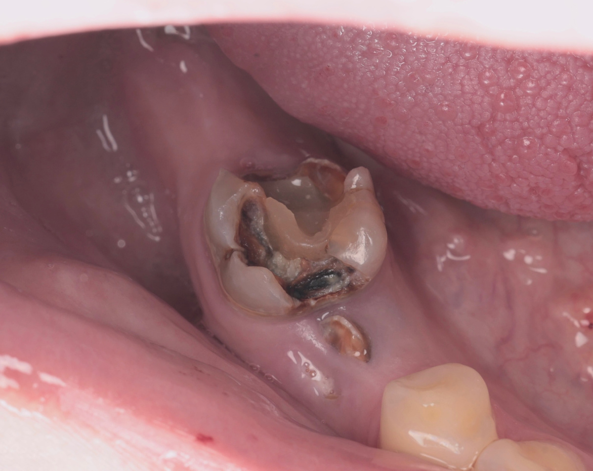
Разрушенный 4.6 зуб
Разрушенный 4.6 зуб

Повторная эндодонтия (перелечивание) 4.6 зуба за один визит - Обмайкин Роман Юрьевич

Терапевтическое лечение на всём пути вели Тирик Елизавета Дмитриевна и Обмайкин Роман Юрьевич. До этого ими было семь зубов перелечено, пролечено, реанимировано. 29,5 часов в кресле за предыдущие визиты провёл пациент. И настало время поставить точку.

Привелегия досталась Роману Юрьевичу.

Если бы этот зуб пришёл на кастинг в фильм зубных ужасов, его бы взяли без промедления. Настоящая развалина, будем честны - и на вид, и по факту.

Давайте посмотрим на ситуацию в нижнем правом сегменте. 4.8 и 4.5 - под удаление:

КТ до лечения и удаления
КТ до лечения и удаления

4.7 уже удалили за месяц до приезда. И вот стоит одинокий, разрушенный 4.6 с периодонтитом, каналы его выглядят пустыми, коронковую часть "пожрал" кариес.

Стенки родные тонкие. Стенок мало. В каналах - цинкоксидэвгенольный цемент (кто знает - тот поймёт, удовольствие ещё то его оттуда доставать).

Казалось бы - зачем мучиться? Удалить да и поставить мост на имплантатах. Быстро, понятно, предсказуемо.

Но Роман Юрьевич так не работает. Он смотрит глубже - ортопедический прогноз хороший, эндодонтическое лечение технически выполнимо, все показания к сохранению зуба есть. А если зуб можно спасти - его нужно спасать.

Классическое повторное эндодонтическое лечение за один визит

Три с половиной часа ушло на этот зуб за раз. Вот как это выглядело поэтапно:

Начал врач без микроскопа (на этом отрезке в нём просто нет необходимости) - анестезия, препарирование. Вот что осталось от родных тканей зуба, когда терапевт убрал всёлишнее и порочное:

Убраны лишние ткани и материалы с коронковой части
Убраны лишние ткани и материалы с коронковой части

Обязательно восстановление стенок необходимо выполнить перед погружением в каналы:

Восстановлены стенки
Восстановлены стенки

А дальше вся работа шла под микроскопом. Распломбировка трёх каналов:

Каналы распломбированы
Каналы распломбированы

Контрольный снимок:

Контроль длин
Контроль длин

Тщательные ирригационные протоколы, пломбировка каналов гуттаперчей:

Гуттаперча в каналах
Гуттаперча в каналах

Снимок рентгенологический:

Гуттаперча в каналах
Гуттаперча в каналах

Установка макролока, финальный снимок:

СВШ Макролок и билдап
СВШ Макролок и билдап

Зуб полностью готов под коронку:

Прогноз - отличный.

Пациент, к слову, выдержал марафон лечебный стойко и спокойно. После 29,5 часов в стоматологическом кресле за предыдущие визиты - ему не привыкать.

А вот что говорит сам автор работы, Обмайкин Роман Юрьевич:

Жалко, что моя работа закончилась, приятно было иметь с пациентом дело. И круто наблюдать, как с изменением состояния зубов в лучшую сторону меняется сам человек - его настроение, ощущение себя, уверенность, позитив. Приятно видеть.

И вот это, пожалуй, самое важное во всей этой истории - человеческое отношение. Мы ВСЕГДА выкладываемся полностью, если взялись за дело. Это незыблимо и неизменно. Очень радует, когда пациент это ценит.

Вывод

Мы, стоматологи, часто говорим о каналах, коронках, снимках и протоколах. Но за каждым пролеченным зубом стоит человек. Человек, который стеснялся улыбаться, не мог жевать. Который откладывал лечение, потому что боялся или не верил, что можно что-то исправить. А, может, он просто не знал, к кому обратиться.

Этот пациент прошёл долгий путь. Восемь зубов, 33 часа в кресле. Несколько приездов из другого города. Работа целой команды врачей. Результат - не просто "зубы привели в порядок". Результат - другой человек. Он увереннее, он спокойнее. Он позитивнее!

И стоматолог - не враг.

А ещё хочу добавить, что разрушенный зуб - не всегда приговор. Да, бывают ситуации, когда удаление - единственный адекватный выход. Но бывает и так, что за жуткой "развалиной" скрывается зуб с хорошим прогнозом, которому просто нужны правильные руки, правильный подход и три с половиной часа терпения.

Больше случаев спасения "безнадёжных зубов" в подборке:

Наша терапия | Parodoctor | Дзен

Если вам интересны подобные клинические истории - подписывайтесь на канал Parodoctor в Telegram. Там я рассказываю о стоматологии без прикрас: сложные случаи, нестандартные решения и то, что остаётся за кадром обычного приёма. Именно там я отвечаю на вопросы подписчиков, привлекая к ответам врачей команды, если это требуется:

Parodoctor

Завела канал в MAX, чтобы был (чтобы выкладывать видео, которые не грузит Телеграмм), называется он Parodoctor:

Parodoctor

С уважением, Лежачёва Наталия Александровна, хирург-пародонтолог и главный врач стоматологии Parodent, СПб.