Найти в Дзене
Град Науки

Ученые обнаружили механизм очистки мозга от вызывающих деменцию белков

Накопление тау-белка в тканях головного мозга считается одним из ключевых признаков развития болезни Альцгеймера. Группа исследователей под руководством Винсента Прево из Французского национального института здравоохранения и медицинских исследований (INSERM) описала ранее неизвестный биологический процесс, который может объяснить причины возникновения этих отложений. Результаты работы, опубликованной в журнале издательства Cell Press, указывают на критическую роль таницитов – специализированных клеток мозга, регулирующих обмен данными между центральной нервной системой и остальным организмом. Танициты представляют собой клетки неврального происхождения, расположенные преимущественно в районе третьего желудочка головного мозга. Предыдущие изыскания подтвердили их участие в передаче метаболических сигналов между кровотоком и спинномозговой жидкостью. Эта жидкость окружает головной и спинной мозг, выполняя функцию коммуникационной сети для поддержания внутреннего баланса в организме. В х

Накопление тау-белка в тканях головного мозга считается одним из ключевых признаков развития болезни Альцгеймера. Группа исследователей под руководством Винсента Прево из Французского национального института здравоохранения и медицинских исследований (INSERM) описала ранее неизвестный биологический процесс, который может объяснить причины возникновения этих отложений. Результаты работы, опубликованной в журнале издательства Cell Press, указывают на критическую роль таницитов – специализированных клеток мозга, регулирующих обмен данными между центральной нервной системой и остальным организмом.

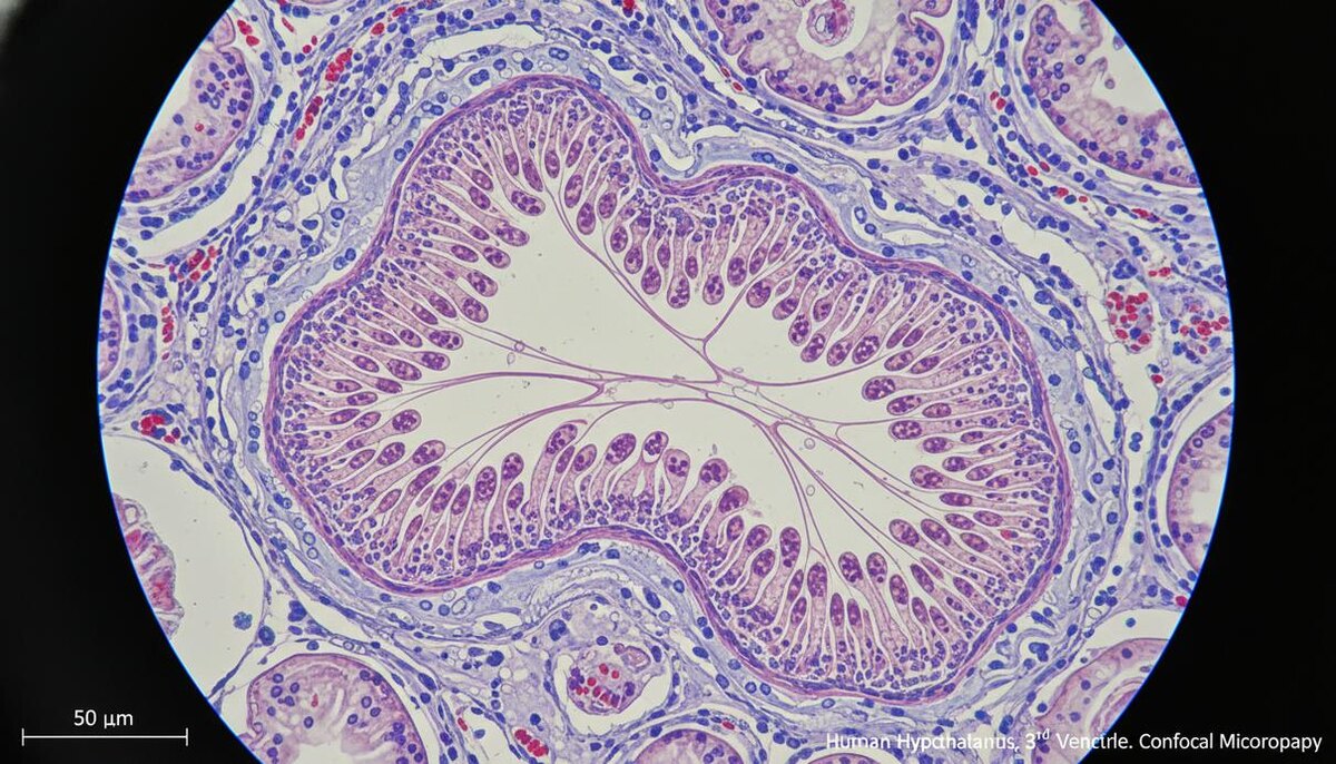
Танициты представляют собой клетки неврального происхождения, расположенные преимущественно в районе третьего желудочка головного мозга. Предыдущие изыскания подтвердили их участие в передаче метаболических сигналов между кровотоком и спинномозговой жидкостью. Эта жидкость окружает головной и спинной мозг, выполняя функцию коммуникационной сети для поддержания внутреннего баланса в организме.

В ходе нового исследования ученые изучили, как танициты способствуют удалению потенциально опасных молекул. Эксперименты на животных моделях и клеточных культурах в сочетании с анализом тканей пациентов показали, что эти клетки транспортируют токсичные формы тау-белка из спинномозговой жидкости в кровь для их последующей утилизации. При нарушении работы этой транспортной системы белок начинает скапливаться в тканях, запуская процессы нейродегенерации.

Авторы работы подчеркивают, что у пациентов с диагностированной болезнью Альцгеймера танициты оказались фрагментированы, а их генетическая экспрессия, отвечающая за функцию переноса веществ, существенно изменилась. Это открытие дает первое прямое доказательство структурных и функциональных нарушений в данных клетках при развитии заболевания у человека. По мнению Винсента Прево, поддержание здоровья таницитов может стать перспективным направлением для замедления прогрессирования деменции.

Несмотря на значимость полученных данных, исследователи отмечают ряд препятствий для создания новых методов терапии. Одной из основных проблем остается отсутствие животных моделей, которые могли бы полностью воспроизвести течение болезни Альцгеймера у человека. Для подтверждения причинно-следственных связей между дисфункцией таницитов и патологическим накоплением белка потребуются долгосрочные наблюдения за более крупными группами пациентов.