Найти в Дзене

Пост из "оперы" все то мне не нравится хоть и ничего не понимаю

Только в опере не надо пытаться «понять», а надо наслаждаться музыкой. В Дымкином случае наслаждаться нечем. Получили Дымкин рентген и решили показать его вам. Ну я не вижу растворившейся кости в суставе - опухший сустав вполне даже не плохо рассматривается. Честно говоря, думала что будет видно гораздо хуже из за опухлости. Но мы не врачи и в рентгене не понимаем, но предварительно все не хорошо Рентген показали онкологу. Онколог приглашает на прием. Онколог сразу уточнила что диагноз в назначении предварительный, предполагаемый! Врач предлагает сделать биопсию кости для подтверждения или уточнения диагноза и разработки плана лечения или иных решений. Мало того биопсию можно сделать одновременно с КТ чтобы лишний раз не наркозить собаку. Смотреть как собака начнет уходить не нормально и прежде чем опускать руки надо знать перед чем сдались... А может еще не все потеряно? Чтобы записаться к онкологу нужно найти машину кто свозит чтобы записаться на удобное время для водителя и для п

Только в опере не надо пытаться «понять», а надо наслаждаться музыкой.

В Дымкином случае наслаждаться нечем.

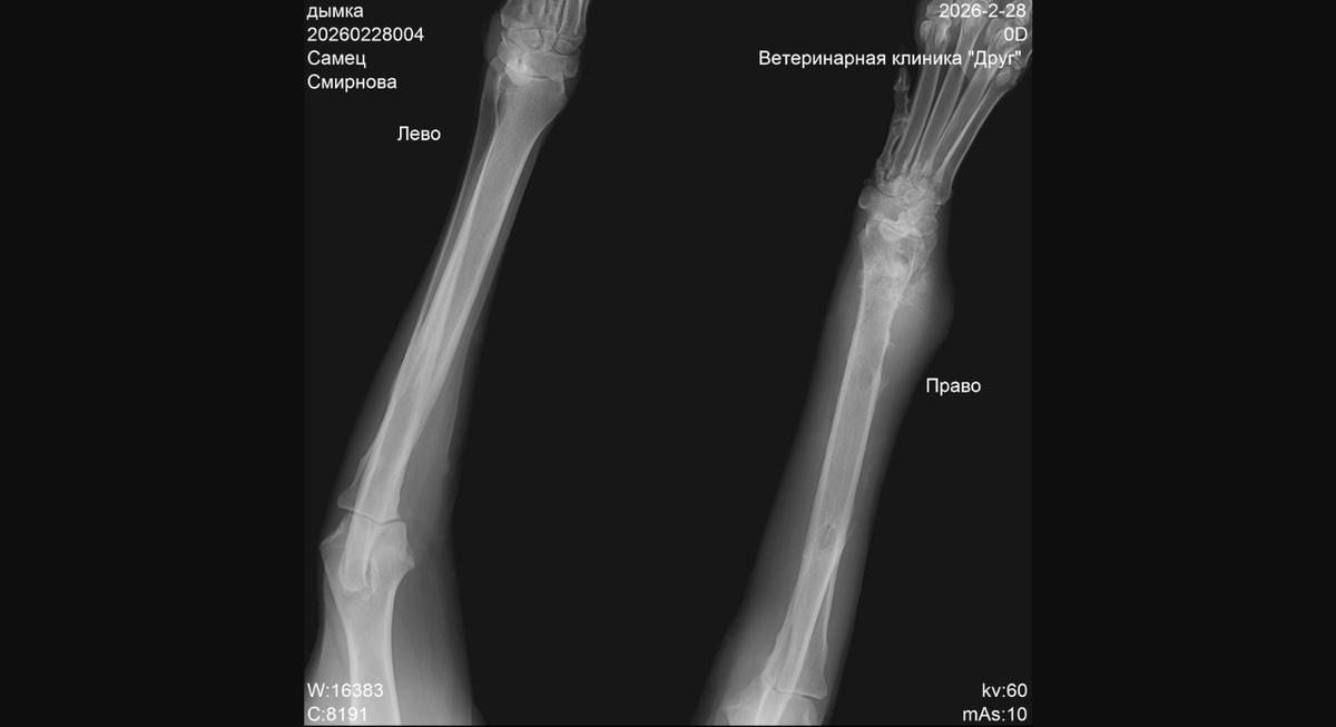
Получили Дымкин рентген и решили показать его вам.

Ну я не вижу растворившейся кости в суставе - опухший сустав вполне даже не плохо рассматривается. Честно говоря, думала что будет видно гораздо хуже из за опухлости. Но мы не врачи и в рентгене не понимаем, но предварительно все не хорошо

Рентген показали онкологу.

Онколог приглашает на прием. Онколог сразу уточнила что диагноз в назначении предварительный, предполагаемый! Врач предлагает сделать биопсию кости для подтверждения или уточнения диагноза и разработки плана лечения или иных решений. Мало того биопсию можно сделать одновременно с КТ чтобы лишний раз не наркозить собаку.

-2

Смотреть как собака начнет уходить не нормально и прежде чем опускать руки надо знать перед чем сдались... А может еще не все потеряно?

Чтобы записаться к онкологу нужно найти машину кто свозит чтобы записаться на удобное время для водителя и для передержки во время работы онколога.

Номер тлф передержки Дымы 89091083449 Лена (звоните кто сможет свозить) или 89124856495 Лена (вечно во всем сомневающаяся), лучше вечером.

-3

Уристоп для Дымки привезли, спасибо огромное всем кто помогает!

Посылки Дымке можно отправить через Яндекс Маркете, Валберис, Озон г.Пермь, ул.Гарцовская 58

#приют #питомцы #пермь #собака #спасение #лечение #помощь #вдобрыеруки #пермскийкрай