Добавить в корзинуПозвонить
Найти в Дзене

Про остеопороз… или как не сломаться в этой жизни

Всем доброго времени суток! Поговорим об остеопорозе, потому что это одна из самых распространённых проблем человека. Но нам, врачам, на приёме как-то не до этого. Пациент же приходит на приём с высоким давлением или с поносом. Надо с этим быстро разобраться, как-то не до остеопороза, не жмёт, не давит же. А весь самый неприятный сценарий начинает разворачиваться потом, после 50+. Что такое остеопороз? Это состояние, когда кости становятся менее плотными, пористыми, как бы пустыми внутри, хрупкими. Процесс образования костных клеток и разрушение костной ткани идёт постоянно. Это как в философии - единство и борьба противоположностей. От баланса этих процессов зависит плотность костной ткани. Потеря костной массы начинается уже после 40 лет. А скорость потери зависит от многих факторов: наследственность (без неё никуда), подвижный или сидячий образ жизни, питание (содержание кальция и витамина Д в продуктах), приём лекарств, влияющих на костный обмен, гормональн

Всем доброго времени суток!

Поговорим об остеопорозе, потому что это одна из самых распространённых проблем человека. Но нам, врачам, на приёме как-то не до этого. Пациент же приходит на приём с высоким давлением или с поносом. Надо с этим быстро разобраться, как-то не до остеопороза, не жмёт, не давит же. А весь самый неприятный сценарий начинает разворачиваться потом, после 50+.

Что такое остеопороз? Это состояние, когда кости становятся менее плотными, пористыми, как бы пустыми внутри, хрупкими. Процесс образования костных клеток и разрушение костной ткани идёт постоянно. Это как в философии - единство и борьба противоположностей. От баланса этих процессов зависит плотность костной ткани. Потеря костной массы начинается уже после 40 лет. А скорость потери зависит от многих факторов: наследственность (без неё никуда), подвижный или сидячий образ жизни, питание (содержание кальция и витамина Д в продуктах), приём лекарств, влияющих на костный обмен, гормональный статус (снижение содержания женских половых гормонов при возникновении климакса ускоряет процесс остеопороза, поэтому у женщин скорость потери костной массы намного быстрее). Каждая третья женщина и каждый четвертый мужчина старше 50 лет в России уже имеют остеопороз. А чуть меньше половины нашего населения старше 50 лет имеет остеопению (начальные проявления потери плотности костей).

Болезнь эта тихая, но последствия просто оглушительные - инвалидизация из-за перелома шейки бедра или позвоночника. Остеопороз не болит, поэтому о его существовании обычно сам человек не догадывается. Почему-то юбки или брюки стали длиннее (если рост человека за жизнь уменьшился на 4 см , то это уже признак остеопороза). Или осанка поменялась и родственники постоянно делают замечание: «Мама, прекрати сутулиться!». Спина стала быстрее уставать, живот стал выпячиваться, руки как-будто стали длиннее - всё это уже симптомы остеопоретических компрессионных переломов позвонков, далеко зашедшего остеопороза. Таких пациентов видно сразу при появлении на пороге кабинета. Но при разговоре, что всё это последствия компрессионного перелома позвонков, я вижу в глазах пациентов абсолютное недоверие и непонимание. «Что вы доктор, я с лестницы не падала и на горных лыжах не каталась! Какой перелом?».

Патологические переломы на фоне остеопороза могут возникать при падении дома, запнувшись об шнур удлинителя, неловком движении, кашле, чихании и вообще без всякой видимой травмы. Есть пациенты, которые получают такие переломы, просто наклонившись завязать шнурок. Сильной боли может и не быть. Тем более, если у человека часто болит спина, и он уже не воспринимает эту боль, как сигнал тревоги.

Что желательно сделать, чтобы заподозрить остеопороз? В идеале, конечно, пройти рентгенденситометрию поясничного отдела позвоночника и бедренных костей ( только не пятки и не кисти!). Если это невозможно, то заполните шкалу ФРАКС (FRAX), можно набрать и русскими буквами. Если при падении или наклоне внезапно появилась боль в спине, не отмахивайтесь, сделайте рентген позвоночника в прямой и обязательно! в боковой проекциях.

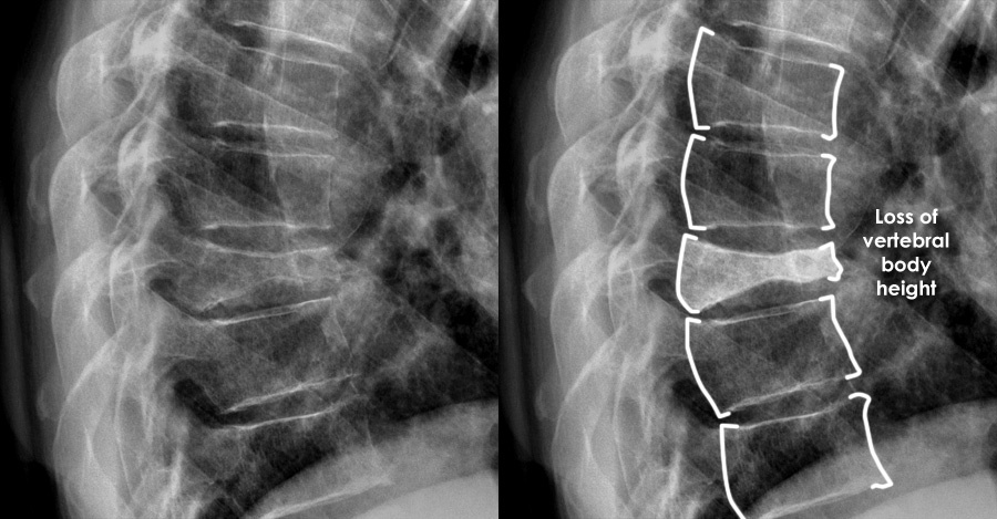
Взято из открытых источников.  Значительно уменьшена высота тела одного из позвонков с клиновидной его деформацией. Это компрессионный перелом  грудного позвонка
Взято из открытых источников. Значительно уменьшена высота тела одного из позвонков с клиновидной его деформацией. Это компрессионный перелом грудного позвонка

Если у вас уже выявили компрессионный перелом позвонка, то риск возможного последующего перелома бедра или других позвонков повышается в 3 раза, то есть это повод начинать лечение здесь и сейчас. К сожалению, наши пациенты при переломах контактируют только с травматологами, а их задача стабилизировать, обезболить, поставить на ноги (как получится), а заниматься профилактикой и последующим лечением травматологи конечно не будут. Поэтому большинство пациентов после переломов принимают препараты кальция и, в лучшем случае, вит Д. И даже не подозревают, что нужно лечить остеопороз, а там совсем другие препараты.

Препараты для лечения остеопороза делят на 2 группы: препараты, которые уменьшают разрушение костных клеток и препараты, которые усиливают костеообразование. Чаще используют первую группу. Это препараты бисфосфонаты и деносумаб. Бисфосфонатов много, на любой вкус, можно принимать раз в день, можно раз в неделю, а можно раз в месяц или раз в год. Если у вас проблемы с желудком, то врач назначит лекарство в уколах. Но про кальций и витамин Д не забываем.

В сутки надо употреблять не менее трех порций молочных продуктов в день. К одной порции относят 30 г сыра, 100 г творога, 150 г йогурта, 200 мл молока. Это для молодёжи. Для старших товарищей на фоне приёма препаратов для лечения остеопороза дополнительно назначается препарат кальция в таблетках и вит Д.

Можно ли предупредить, вернее замедлить, остеопороз? Да, конечно. Для увеличения костной массы в детстве и в молодости нужно:

· Есть пищу, богатую кальцием и витамином D в течение всей жизни. В юности мы получаем вит. Д во время прогулок на открытом воздухе. Но с возрастом кожа уже теряет способность участвовать в синтезе витамина Д, поэтому назначаются дополнительно лекарственные препараты.

· С детства заниматься ходьбой, танцами, любительским спортом и т.п. Но истощающие физические нагрузки, наоборот, приводят к преждевременной потере минеральной плотности кости.

· Не курить. У курящих женщин ниже уровень эстрогенов, раньше начинается климакс. У них хуже усваивается кальций из пищи. Они быстрее стареют. Люди, выкуривающие 1 пачку сигарет в день, обычно к 50 годам имеют на 5–10% меньше костной массы по сравнению с некурящими.

· Не злоупотреблять спиртным. Всё, что больше регулярного приёма 1-2 бокалов пива или 1 бокала вина, в общем, более 30-40 мл спирта в день, приводит к снижению костной плотности даже у молодых мужчин и женщин.

· Если ваши родители ломали косточки после 50 лет (при бытовых травмах), то вам стоит задуматься о ранней диагностике и профилактике остеопороза.

В любом случае заполнить шкалу FRAX не сложно. И при выявлении высоких рисков переломов обратитесь к врачу. Лучше к эндокринологу. Лечение не сложное, но длительное, и конечно требует дисциплины и желания стать здоровее.

Не болейте.

С уважением, Ронь Г.А.