Найти в Дзене

Сосудистые миелопатии у собак и кошек

Сосудистые миелопатии у мелких домашних животных — это гетерогенная группа заболеваний, при которых неврологический дефицит обусловлен ишемией/инфарктом спинного мозга, кровоизлиянием (интра- или экстрапаренхиматозным) либо венозной гипертензией/застоем (например, при артериовенозных шунтах или венозных тромбозах). На практике ключевую долю “острых сосудистых” сценариев у собак занимает фиброзно‑хрящевая эмболическая миелопатия (FCEM/FCE) и близкие по фенотипу пер-острые некомпрессионные дисковые катастрофы, которые важно различать, потому что прогноз и реабилитационные ожидания часто зависят от механизма поражения. Клинические “якоря” сосудистой природы в приёме: Наиболее диагностически “решающие” методики: Лечение редко бывает “одной таблеткой”: Главные пробелы знаний до 2026 года: отсутствие “жёстких” ветеринарных консенсус‑гайдлайнов именно по спинальным инфарктам, дефицит проспективных исследований DWI/ADC и ангиографических стратегий у собак/кошек, а также ограниченность данных п
Оглавление

Сосудистые миелопатии у собак и кошек

Executive summary

Сосудистые миелопатии у мелких домашних животных — это гетерогенная группа заболеваний, при которых неврологический дефицит обусловлен ишемией/инфарктом спинного мозга, кровоизлиянием (интра- или экстрапаренхиматозным) либо венозной гипертензией/застоем (например, при артериовенозных шунтах или венозных тромбозах). На практике ключевую долю “острых сосудистых” сценариев у собак занимает фиброзно‑хрящевая эмболическая миелопатия (FCEM/FCE) и близкие по фенотипу пер-острые некомпрессионные дисковые катастрофы, которые важно различать, потому что прогноз и реабилитационные ожидания часто зависят от механизма поражения.

Клинические “якоря” сосудистой природы в приёме:

  • пер-острое начало (минуты–часы), нередко во время активности/микротравмы,
  • отсутствие прогрессирования после первых 24–48 часов,
  • латерализация (асимметрия) дефицита,
  • минимальная или кратковременная боль (спинальная гипералгезия не является ведущей и, если присутствует, обычно не доминирует долго).

Наиболее диагностически “решающие” методики:

  • МРТ спинного мозга как основной метод для подтверждения/поддержки диагноза инфаркта и исключения компрессионных дископатий, воспалительных миелитов и опухолей.
  • DWI/ADC перспективны для ранней верификации ишемии: у собак уже опубликован клинический пример, где DWI/ADC помогли выявить раннее ишемическое повреждение при FCE.
  • КТ‑ангиография/DSA — методы выбора, если подозревается артериовенозная мальформация/фистула (AVM/AVF) или иная сосудистая аномалия с потенциально интервенционным лечением.
  • Лабораторный блок для тромбозов/эмболий: коагулограмма + D‑dimer (как вспомогательный тест), TEG/ROTEM/VCM (если доступно), маркеры и причины гиперкоагуляции (PLN/PLE, эндокринопатии, неоплазия).

Лечение редко бывает “одной таблеткой”:

  • При FCE/части ишемических инфарктов — поддержка + ранняя реабилитация, идея “агрессивной противовоспалительной терапии” не имеет убедительной доказательной базы.
  • При тромбозах/эмболиях и гиперкоагуляции — этиотропный поиск причин + антикоагулянты/антиагреганты по показаниям (без доз в этом руководстве).
  • При геморрагических миелопатиях/гематомах — тактика определяется локализацией, степенью компрессии и коагуляционным статусом; хирургическая декомпрессия при ряде экстрапаренхиматозных гематом даёт хороший функциональный исход.

Главные пробелы знаний до 2026 года: отсутствие “жёстких” ветеринарных консенсус‑гайдлайнов именно по спинальным инфарктам, дефицит проспективных исследований DWI/ADC и ангиографических стратегий у собак/кошек, а также ограниченность данных по кошкам (в том числе противоречивые результаты по прогнозу ишемической миелопатии).

Нозологический спектр и этиологическая классификация

Ниже — практичная этиологическая классификация сосудистых миелопатий, ориентированная на то, что меняет диагностику и тактику прямо в клинике.

Ишемические инфаркты спинного мозга

Фиброзно‑хрящевая эмболическая миелопатия (FCE/FCEM)
Классический механизм: окклюзия интрадуральных/интрамедуллярных сосудов фрагментами материала, гистохимически похожего на часть межпозвонкового диска; заболевание исторически описано ещё в 1970‑х.
Ключевой клинический паттерн: пер‑остро, часто асимметрично, обычно без длительной боли, с стабилизацией за 24–48 часов.

Ишемические инфаркты иной природы (реже, но критично не пропустить)

  • тромбоз/тромбоэмболия на фоне гиперкоагуляции (PLN/PLE, эндокринопатии, неоплазия, воспаление/сепсис);
  • септические эмболы (реальный ветеринарный пример — септические эмболы в эпидуральной жировой ткани и по ходу корешков/нервов; это может “маскироваться” под опухоль/инфильтративный процесс и требует инфекционного мышления);
  • жировые эмболы (у животных достоверных спинальных инфарктов из‑за жировой эмболии описано меньше, но принцип хорошо подтверждён в нейромедицине и важен как редкий дифференциал при тяжёлой ортопедической травме/операциях);
  • ятрогенные сосудистые окклюзии/ишемия (например, в экспериментально‑клинических условиях инфаркт возможен после сосудистых манипуляций, что поддерживает необходимость аккуратной катетеризации/контроля гемостаза/перфузии при вмешательствах).

Венозные сосудистые причины

Венозный тромбоз/венозная компрессия
У собак описаны случаи расширения/тромбоза позвоночных венозных синусов/внутреннего позвоночного венозного сплетения, вызывающие компрессию спинного мозга и неврологический дефицит; такие пациенты особенно важны, потому что лечатся иначе, чем FCE.

Сосудистые мальформации и артериовенозные шунты (AVM/AVF)

У собак опубликованы случаи экстрадуральных AVF с ролью КТ‑ангиографии и интервенционной ангиографии в выборе лечения, а также интрамедуллярной AVM, подтверждённой антемортем при помощи МРТ и CTA.
Эта группа чаще даёт
прогрессирующий или флюктуирующий курс и нередко требует ангиографического подтверждения типа шунта.

Геморрагические миелопатии (кровоизлияния)

Геморрагические миелопатии классифицируют по локализации крови: эпидурально, субдурально, субарахноидально, интрамедуллярно (гематомиелия); причины включают коагулопатии (антикоагулянтные родентициды, гемофилии), васкулиты, сосудистые мальформации, опухоли и др.

Важнейшие практические “под‑типы”:

  • экстрапаренхиматозные гематомы с компрессией (эпидуральные/интрадурально‑экстрамедуллярные), где хирургическая декомпрессия часто даёт хороший исход;
  • гематомиелия при коагулопатии (может протекать крайне тяжело и требует параллельного ведения коагулопатии и нейрокритического ухода).

Компрессия сосудов вторично (травма/гематома/компрессионные процессы)

В эту категорию входят ситуации, когда первично есть травма/кровоизлияние/масса, а сосудистый компонент — “второй удар”: ишемия от компрессии и венозного застоя. Это особенно важно при быстро прогрессирующем дефиците и болевом синдроме.

Важная клиническая оговорка о “псевдо‑сосудистых” дифференциалах

Пер‑острые некомпрессионные дисковые экструзии (ANNPE, IIVDE) могут клинически имитировать инфаркт, а на МРТ требуют внимательной интерпретации (положение очага относительно диска, наличие “линейного тракта” для IIVDE и т.п.).

Патофизиология ишемии и реперфузионного повреждения

Почему спинной мозг “ломается” иначе, чем мозг, и почему прогноз вариабелен

Спинной мозг имеет выраженную сегментарность кровоснабжения и сложную сеть коллатералей; при этом критические зоны (включая бассейны передней спинальной артерии и радикуло‑медуллярных ветвей) могут становиться уязвимыми при локальной окклюзии или венозной гипертензии. Обзорные материалы по сосудистой анатомии подчёркивают роль сегментарных ветвей и радикулярных артерий в питании спинного мозга.

Каскад ишемии

В основе клиники инфаркта — энергетический коллапс нейронов/глии и проводящих путей, цитотоксический отёк, дисфункция ионных насосов, эксайтотоксичность и вторичное воспаление. Хотя детальное молекулярное описание чаще изучается в моделях ишемии (например, при аортальном кросс‑клампинге), оно объясняет, почему ранняя реперфузия может одновременно спасать ткань и провоцировать вторичное повреждение.

Реперфузионное повреждение (что важно клиницисту)

Реперфузия и восстановление кровотока могут сопровождаться оксидативным стрессом, нарушением гемато‑спинномозгового барьера и усилением отёка. Это один из патофизиологических аргументов, почему “магические” попытки агрессивной тромболизис‑терапии у животных без строгих показаний и мониторинга могут быть рискованны (главный страх — кровотечения и ухудшение). В ветеринарии доказательная база по фибринолитикам/эндоваскулярной реваскуляризации конкретно при спинальных инфарктах крайне ограничена, и решения обычно носят индивидуальный характер.

Почему DWI/ADC теоретически сильны именно для ишемии

Для инфаркта характерны ранние изменения диффузии воды: в экспериментальной модели на собаках показана динамика ADC при спинальном инфаркте (раннее снижение с последующим изменением во времени).
В клинической ветеринарии опубликован случай, где DWI/ADC помогли визуализировать ишемическое спинальное повреждение при FCE, что поддерживает использование DWI как “раннего маркера” при сомнительной Т2‑картине в первые часы.

Клиническая картина и нейролокализация

Типовой фенотип ишемической миелопатии (в первую очередь FCE)

Ключевой фенотип описан в крупных сериях и обзорах:

  • пер‑острое/острое начало, часто после активности или незначительной травмы;
  • стабилизация или начало улучшения после первых 24–48 часов;
  • асимметрия дефицита встречается часто;
  • спинальная боль может быть в момент дебюта (вокализация), но обычно не является стойкой доминантой, в отличие от многих компрессионных дископатий.

В обзоре подчёркнута высокая частота латерализации при FCE у собак и также заметная латерализация у кошек с ишемической миелопатией (в крупнейшем исследовании на кошках — около половины случаев с латерализацией).

Сегментарная локализация (практические подсказки)

Для FCE возможны поражения любого сегмента, однако распределение по сегментам варьирует между сериями, а также зависит от того, подтверждён диагноз гистологически или установлен антемортем по клинике+МРТ.
У кошек в обзоре отмечено более частое расположение инфаркта в шейном отделе по сравнению с другими уровнями.

Боль как дифференциальный маркер

  • Выраженная стойкая спинальная гипералгезия повышает вероятность компрессионной/инфекционной/воспалительной причины, гематомы или сосудистой мальформации с венозной гипертензией.
  • Отсутствие боли более типично для ишемической миелопатии, но не является абсолютным критерием (в ранние часы возможна вокализация/кратковременная боль).

Шкалы тяжести и функциональное документирование

Для сосудистых миелопатий нет одной “универсальной” шкалы уровня доказательности, сравнимой с MGCS для ЧМТ. На практике полезнее:

  • стандартизованно фиксировать амбулаторность, наличие/отсутствие глубокой болевой чувствительности, контроль мочеиспускания, симметрию дефицита, и динамику в первые 24–72 часа; эти параметры напрямую коррелировали с исходами в сериях FCE и ишемической миелопатии.

Диагностика и дифференциальный диагноз

Быстрый алгоритм триажа при “острой миелопатии, возможно сосудистой”

mermaidКопироватьflowchart TD
A[Острое/пер-острое начало парапареза/тетрапареза] --> B[Минимальная стабилизация: боль, дыхание, температура, перфузия]
B --> C{Есть выраженная стойкая спинальная боль?}
C -- да --> D[Высокий приоритет: компрессия/гематома/инфекция/AVM-AVF]
C -- нет --> E[Вероятнее: ишемическая миелопатия (FCE) или ANNPE/IIVDE]
D --> F[Срочная МРТ ± КТ; лабораторный гемостаз]
E --> G{Дефицит прогрессирует > 24–48 ч?}
G -- да --> D
G -- нет --> H[МРТ протокол ишемии + исключение компрессии; рассмотреть DWI/ADC]
H --> I[Лабораторный блок: коагуляция, D-dimer; поиск гиперкоагуляции]
I --> J[Если подозрение AVM/AVF: CTA/DSA]
J --> K[Лечение по фенотипу: поддержка/антикоагуляция/хирургия/инфекционный контроль]

Обоснование: пер‑острая некомпрессионная клиника с отсутствием прогрессии типична для FCEM/ANNPE, в то время как гематомы/AVF/инфекции чаще дают боль и/или прогрессию и требуют иной маршрутизации.

Неврологический осмотр: что зафиксировать, чтобы МРТ читалась “как карта”

Минимальный протокол, который максимально помогает радиологу/неврологу:

  • локализация (C1–C5, C6–T2, T3–L3, L4–S3);
  • латерализация;
  • наличие спинальной гипералгезии;
  • глубинная болевая чувствительность;
  • тип НМН/ВМН признаков;
  • мочевой пузырь (рефлекторный/атоничный/задержка/инконтиненция).
    Эти клинические элементы прямо связаны с MР‑признаками и прогнозом в исследованиях FCE и ишемической миелопатии у кошек.

МРТ: рекомендуемые протоколы и ключевые признаки

Рекомендуемый “анти‑инфарктный” МР‑пакет (без параметров)

  • T2‑W (сагиттальные + аксиальные на уровне очага)
  • T1‑W до/после контраста
  • STIR/жироподавление (особенно при подозрении на мягкотканные/паравертебральные изменения)
  • T2/GRE или SWI‑подобные* (поиск крови/микрокровоизлияний)
  • DWI + ADC (если доступно и технически возможно)
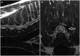
    Факт клинической применимости DWI/ADC в ветеринарии для ранней ишемии поддержан экспериментальными данными и клиническим кейсом у собаки.

Ишемический инфаркт (типичный “паттерн”)

У кошек с предполагаемым острым инфарктом описаны очаги T1 iso/гипоинтенсивные и T2 гиперинтенсивные, иногда с мягким контраст‑усилением; при отсутствии другой системной патологии FCE рассматривается как вероятная этиология.
Для собак детально описаны МР‑находки у пациентов с предполагаемыми инфарктами/ишемической миелопатией и FCEM.

Важно: “нормальная МРТ” не исключает FCEM в первые сутки

Классическое клиническое знание, отражённое в обзорах, — МР‑изменения при FCE/FCEM могут быть минимальными или неочевидными в самые ранние сроки, что и объясняет интерес к DWI.

AVM/AVF (подозрение по МРТ)

Паттерны, заставляющие думать о сосудистой мальформации:

  • “серпигинозные” сосудистые структуры/flow‑voids,
  • диффузный отёк/миелопатия на фоне венозной гипертензии,
  • сопутствующая костная гиперостоз/ангиоматоз (в отдельных фенотипах).
    Для собак роль CTA и интервенционной ангиографии описана в конкретном клиническом случае экстрадуральной AVF, а интрамедуллярная AVM описана как антемортем диагностируемая по MRI+CTA.

КТ/ангиография/CTA/DSA: когда действительно нужны

  • CTA/DSA обоснованы при подозрении AVF/AVM, когда результат может изменить тактику (эмболизация/хирургия).
  • КТ (не ангио) полезна как “быстрый” метод при травме (переломы, осколки), но при ишемической миелопатии информативность ниже, чем у МРТ.

УЗ‑диагностика и допплер

В спинальной неврологии УЗИ ограничено из‑за костных структур. Но допплер‑УЗИ/контраст‑УЗИ и сосудистое УЗИ крайне важны, если есть подозрение на аортальный тромбоз/системный тромбоз, который может имитировать острую нейропатию/паралич конечностей и требует другой тактики.

Лабораторная диагностика гиперкоагуляции и тромботических рисков

Коагулограмма и расширенные тесты

  • PT/aPTT/фибриноген/тромбоциты — база для исключения коагулопатий, особенно при подозрении на кровоизлияние/гематому.
  • TEG/ROTEM/VCM помогают выявлять гиперкоагуляцию, особенно при PLN/PLE/эндокринопатиях и опухолях, где стандартная коагулограмма может быть “почти нормальной”.

D‑dimer (как правильно понимать)

D‑dimer — маркер фибринолиза, полезен как вспомогательный тест при тромбоэмболических расстройствах, но не специфичен: повышается при кровотечениях, неоплазии, после операций и др.
Работы по собакам с лёгочной эмболией показывают, что низкие значения D‑dimer могут иметь хорошую чувствительность для “исключения” эмболии, но нормальный D‑dimer не гарантирует отсутствие тромбоза/эмболии.

Поиск причин гиперкоагуляции

  • PLN: независимые исследования показывают тенденцию к гиперкоагуляции у собак с PLN по TEG и риск тромботических событий; это ключевой контекст, если ишемическая миелопатия возникает у пациента с выраженной протеинурией/гипоальбуминемией.
  • PLE: опубликованы изменения коагуляционных параметров и подтверждение про‑тромботического риска.
  • Эндокринопатии (в т.ч. гиперадренокортицизм) и неоплазии также ассоциированы с гиперкоагуляцией (доказательства разного уровня).

Кардиологический блок при подозрении эмболии кардиального происхождения

Для собак и кошек кардиоэмболические причины спинального инфаркта описаны существенно реже, чем FCE, но при клинических признаках системной эмболии у кошек важны ЭКГ/эхо, потому что кардиогенная эмболия “классически” реализуется как артериальная тромбоэмболия. При этом клинические рекомендации по антитромботической профилактике у кошек с сердечной патологией опубликованы в форме консенсусов.

Дифференциальная диагностика (клиническая таблица‑шпаргалка)

КатегорияДебютБольПрогрессия“Что ищем” на МРТЧто часто помогает отличитьИшемическая миелопатия (FCE/инфаркт)пер‑острообычно нет/кратконет после 24–48 чинтрамедуллярный T2‑очаг, T1 iso/↓, DWI/ADC при наличиилатерализация + нет стойкой боли ANNPE/IIVDE (не сосудистое, но “маска”)пер‑острочасто в дебютенет/минимумочаг над диском; для IIVDE — линейный трактсвязь с уровнем диска, “трек” Воспалительный миелитостро/подостровариабельночасто даотёк, контраст, CSF измененияCSF/системные маркеры воспаленияКомпрессионная дископатияостро/острочасто выраженаможет бытькомпрессия, экстрадуральный материалпостоянная боль, компрессия на МРТГематома (эпидуральная/интрадуральная)острочастоможет бытьэкстрапаренхиматозная масса, GRE/SWI признаки кровикоагулопатия/родентицид/травма AVM/AVFподостро/хронич.вариабельночасто прогрессир.flow‑voids, венозная гипертензия, отёкCTA/DSA подтверждают Венозный тромбоз/венозное расширениеподостро/остроможет бытьвариабельнорасширение венозных синусов/плексусов, компрессияМRA/ангио‑подход

-2
-3
-4

Рекомендованные онлайн‑атласы и визуализации

  • Ветеринарный атлас анатомии по лучевой диагностике (МРТ шейного отдела собаки; полезно для корректной сегментации и чтения аксиальных уровней).
  • Платформа‑атлас ветеринарной анатомии по изображениям (актуализирована до 2026 года; полезна как “радиологическая анатомия” для клиники).
  • Обзорная визуализация сосудистой анатомии спинного мозга (человеческий ресурс, но удобно объясняет ASA/PSA/радикуло‑медуллярные артерии).

Лечебные протоколы и мониторинг в остром периоде

Общий принцип

Лечение сосудистых миелопатий почти всегда включает 3 слоя:

  1. нейро‑поддержка и профилактика вторичного повреждения (уход, контроль боли, мочевого пузыря, профилактика пролежней),
  2. этиологическая терапия там, где она существует (антикоагуляция/антиагрегация, антибиотики, иммуносупрессия и т.д.),
  3. реабилитация как ключевой компонент восстановления функции.

Чек‑лист приёма в клинику (первые часы)

БлокЧто сделатьКомментарийНеврологический baselineсегмент, латерализация, DPP, амбулаторность, больэто “точка отсчёта” для прогноза и динамики Боль и седацияанальгезия по протоколу клиникиснижает стресс и “псевдо‑дефициты”; при ишемии боль обычно краткая Мочевой пузырьпальпация/УЗИ по доступности, катетеризация при задержкедисфункция мочевого пузыря часто определяет уход и прогнозЛабораторный минимумCBC, биохимия, PT/aPTT, тромбоциты; D‑dimer/TEG по показаниямособенно важно при подозрении gематомы/тромбоза Решение по визуализацииМРТ как основной; CTA/DSA при подозрении AVM/AVFангиография — не “всем подряд”, а когда меняет тактику

Чек‑лист стационарного мониторинга (первые 72 часа)

ПараметрЧастотаЧто считается тревожнымНеврологическая динамика (ходьба, DPP, латерализация)2–4×/сутки (чаще при нестабильности)прогрессия дефицита после 24–48 ч — повод пересмотреть диагноз (гематома/AVF/миелит) Болькаждые 4–6 чнарастание боли — “красный флаг” компрессии/кровоизлиянияМочевой пузырь/дерматологиякаждый уходовый циклперерастяжение мочевого пузыря, пролежниЭлектролиты/осмолярностьпо клинике/по терапииособенно при антикоагуляции/подозрении кровотеченийКоагуляция/anti‑Xa (если UFH/LMWH)по протоколумониторинг гепарина лучше проводить по anti‑Xa (ветеринарный консенсус)

Таблица: выбор класса антитромботической терапии (без доз)

Клинический сценарийЛогикаЧто чаще выбираютВажные противопоказания/рискиПодозрение/доказанный артериальный/венозный тромбоз, гиперкоагуляцияцель — предотвратить рост тромба и новые событияантикоагулянты (UFH/LMWH/DOAC по ситуации)кровоизлияние/гематома, тяжёлая тромбоцитопения, некорригированная коагулопатия Системный риск тромбоэмболии у кошек (контекст — общая сосудистая медицина, важно как дифференциал острой параплегии)профилактика повторных эмболийантиагреганты ± антикоагулянты (по консенсусам)риск кровотечения, контроль функции почек/печени в зависимости от препарата Подозрение септических эмболов/эндокардита“двойная цель”: инфекция + тромбовоспалениеантибактериальная терапия по культуре/клиническому решению ± антитромботический компонент индивидуальнокровотечения, необходимость хирургического контроля очага FCE/ANNPE без доказательств системного тромбозаосновной механизм — локальная окклюзия/контузия; нет доказанной пользы рутинной антикоагуляцииобычно поддержка + реабилитацияриск кровотечений без доказанной пользы Фибринолиз/тромболизистеоретически — “растворить” тромбв ветеринарии — крайне селективно; больше данных вне спинальной неврологиивысокий риск кровотечений; нужна инфраструктура мониторинга

Васкулиты и иммуноопосредованные сосудистые поражения

Сосудистые воспалительные процессы (например, некротизирующие васкулиты/ювенильные полиартерииты) описаны у собак и могут приводить к кровоизлиянию и инфаркту спинного мозга. Тактика обычно включает подтверждение диагноза (по возможности) и иммуносупрессивный подход, но доказательная база ограничена кейс‑уровнем.

Септические сосудистые события

Кейс‑серии и отчёты показывают связь инфекционного эндокардита с системными осложнениями и необходимость учитывать септическую природу поражения в миелопатиях с лихорадкой/лейкоцитозом/необычной МР‑картиной.

Хирургия и эндоваскулярные вмешательства

Таблица: показания к хирургии/интервенции

ПатологияКогда вмешательство оправданоТип вмешательстваДоказательная опораЭкстрапаренхиматозная гематома с компрессиейвыраженная компрессия + клинически значимый дефицит/прогрессиядекомпрессия (гемиламинэктомия/дорсальная ламинэктомия) ± биопсиямногослучайный обзор показал благоприятный исход у большинства собак после декомпрессии Экстрадуральная гематома при родентицидахкомпрессионная миелопатия + подтверждённое кровоизлияниедекомпрессия + коррекция коагулопатииописан успешный клинический кейс AVF/AVMпрогрессирующая миелопатия, подтверждение шунтаэндоваскулярная эмболизация/интервенционная ангиография ± хирургияу собак подчёркнута роль MDCT‑ангиографии и интервенционного этапа для выбора лечения Травматический сосудисто‑компрессионный сценарийсосудистый компонент вторичен компрессии/нестабильностистабилизация/декомпрессия по ортонейро‑показаниямданные по травмам спинного мозга у животных подтверждают значимость уровня поражения и длины очага по МРТ для прогноза

“Реактивная” хирургия vs “плановая” ангиография

  • Гематомы с компрессией — чаще time‑sensitive (окно для восстановления функции зависит от длительности компрессии).
  • AVF/AVM — чаще требуют планирования, правильной ангиографической классификации и обсуждения рисков интервенции vs наблюдения; для собак это подтверждено клиническими публикациями.

Реабилитация, прогноз и осложнения

Реабилитация как “главное лечение” при инфарктоподобных состояниях

Обзоры подчёркивают, что лечение FCE и ANNPE в основном консервативное и включает качественный уход и физиореабилитацию.
Отдельно интересно, что в недавней работе сообщалось: разрешение физических нагрузок после подтверждения диагноза ANNPE/FCE/родственных состояний
не увеличивало риск рецидива клинических признаков в течение 4 недель после выписки — это поддерживает более гибкий, индивидуализированный подход к “строгому покою”, особенно при хорошей динамике.

Практический реабилитационный минимум (под адаптацию):

  • ранняя мобилизация в безопасных условиях (слинг/поддержка),
  • пассивные движения и профилактика контрактур,
  • тренировка проприоцепции и равновесия по этапам,
  • контроль мочевого пузыря и уход за кожей,
  • оценка боли: нейропатическая боль возможна у части пациентов (особенно при смешанных механизмах или при кровоизлияниях).

Прогноз при FCE у собак (наиболее “устойчивые” факторы)

В крупнейших сериях у собак отмечено, что прогноз хуже при:

  • вовлечении утолщений (интумесценций),
  • более симметричной клинике,
  • снижении глубокой болевой чувствительности.
    Также связь тяжести клиники с распространённостью очага по МРТ и факт, что МРТ может быть нормальной у части собак, описаны в клинических исследованиях.

Прогноз у кошек: данные противоречивы и зависят от выборки

  • В исследовании 19 кошек с предполагаемой ишемической миелопатией общий прогноз выглядел неблагоприятнее (значимая доля эвтаназий), а публикация подчёркивает ограниченность предыдущих данных и сложность прогноза.
  • В другой серии отмечено, что у кошек с клиникой и МРТ‑картиной ишемической миелопатии прогноз был относительно хорошим, а авторы подчёркивают необходимость накопления случаев для уточнения факторов прогноза.
    Вывод для практики: владельцам кошек важно заранее объяснять, что прогноз зависит от тяжести дефицита, уровня поражения и сопутствующих факторов, а литература остаётся неоднородной.

Осложнения

  • Длительная дисфункция мочевого пузыря/континенции (особенно при тяжёлых очагах).
  • Хронический неврологический дефицит (парез, проприоцептивные нарушения).
  • Нейропатическая боль (чаще при кровоизлияниях/смешанных механизмах).
  • Рецидив тромбозов при сохранении причины гиперкоагуляции (PLN/PLE/эндокринопатии/опухоли), что требует долгосрочного мониторинга.

Информированное согласие владельцев (что важно проговорить)

  • вероятность необходимости МРТ/CTA/хирургии зависит от того, болит ли и прогрессирует ли дефицит;
  • при FCE/ANNPE лечение обычно консервативное, но может потребовать недели–месяцы реабилитации;
  • при подозрении на гиперкоагуляцию потребуется поиск причины и возможная длительная антитромботическая терапия с мониторингом риска кровотечений;
  • при кровоизлияниях важны риск внезапного ухудшения и возможная срочность декомпрессии.

Клинические случаи и пробелы знаний

Клинические случаи с разбором

Случай с ранней DWI‑диагностикой ишемии у собаки (FCE)
Пер‑острый неврологический дефицит при подозрении на ишемическую миелопатию; опубликован клинический пример, где DWI и ADC‑картирование на высокопольной МРТ визуализировали раннюю ишемию при FCE, и авторы подчёркивают потенциал DWI/ADC для дифференциации ишемии от других миелопатий.
Практический вывод: при “очень раннем” пациенте с типичной клиникой и слабой Т2‑картиной стоит заранее просить DWI/ADC, если технически возможно.

Случай у кошки: фиброзно‑хрящевая эмболия с вовлечением мозжечка и шейного спинного мозга
Редкий, но учебный пример: патоморфологически подтверждённые фиброзно‑хрящевые эмболы в сосудах мозжечка и шейного отдела спинного мозга у кошки.
Практический вывод: хотя FCE у кошек редка, при острой асимметричной тетрапарезе/атаксии и “чистых” анализах её следует держать в дифференциале; иногда фенотип может быть смешанным (энцефаломиелопатия).

Случай “тромботический”: внутренняя позвоночная венозная тромбоз/плексус‑патология у собаки
Описаны случаи, когда венозные структуры позвоночного канала увеличены/тромбированы и приводят к компрессии и неврологическим признакам; в опубликованных работах обсуждается антитромботическая терапия и необходимость визуализационного контроля.
Практический вывод: у молодых собак с цервикальной болью и тетрапарезом, особенно при необычных МР‑находках венозного расширения, важно думать о венозной патологии и расширять гемостазиологическое обследование.

Случай AVF у молодого пса: роль CTA и интервенционной ангиографии
Опубликован случай экстрадуральной сосудистой мальформации (множественные AVF) у молодой собаки; авторы подчёркивают важность MDCT‑ангиографии в сочетании с интервенционной ангиографией для выбора оптимального лечения.
Практический вывод: при прогрессирующей миелопатии у молодого животного с подозрением на сосудистую аномалию CTA/DSA может быть “переломным” этапом.

Случай компрессионной гематомы при коагулопатии (антикоагулянтный родентицид)
Описан клинический случай собаки с экстрадуральной гематомой на фоне антикоагулянтной родентицидной токсикозы; хирургическая коррекция привела к улучшению.
Практический вывод: при острой миелопатии с подозрением на кровотечение коагулограмма и история возможного отравления — обязательны; “всё объяснить FCE” опасно.

Пробелы в знаниях и приоритеты исследований до 2026 года

  1. DWI/ADC и SWI‑подобные последовательности: есть убедительная логика и первые клинические кейсы, но нет больших проспективных ветеринарных исследований по чувствительности/специфичности DWI для спинальных инфарктов у собак/кошек.
  2. Кошки и ишемическая миелопатия: публикации дают разные картины прогноза (от “относительно хорошего” до “высокой доли эвтаназий”), вероятно из‑за различий в тяжести, доступности МРТ, критериях включения и практик принятия решений. Нужны мультицентровые, стандартизованные когорты.
  3. Ангиографическое лечение AVM/AVF у мелких животных: описания есть, но требуются единые классификации, протоколы CTA/DSA и сопоставимые исходы (невро‑шкалы, качество жизни).
  4. Антитромботические стратегии при “подозрении на тромбоз” без верификации: ветеринарные консенсусы детализируют мониторинг (например, предпочтение anti‑Xa для UFH), но применимость к спинальным тромбозам в условиях ограниченной визуализации требует дальнейшей валидации.
  5. Русскоязычная клиническая база: есть качественные русскоязычные обзоры по ФХЭ и материалы по КТ/МРТ при спинальной патологии, но явно не хватает систематических серий с едиными критериями МРТ‑диагноза и исходов.

Источники

Ниже приведён список ключевых источников (≥40) на русском и английском, с приоритетом на первоисточники, обзоры и клинические руководства (до 2026 года включительно):

  1. Обзор FCEM/ANNPE/IIVDE у собак и кошек (2015).
  2. DWI/ADC‑визуализация ишемического повреждения при FCE у собаки (2020).
  3. Экстрадуральные AVF у собаки: КТ‑ангиография + интервенционная ангиография (2017).
  4. Интрамедуллярная AVM у собаки, антемортем MRI+CTA (2021).
  5. FCE у собак: обзор 36 гистологически подтверждённых случаев + 26 предполагаемых (1996).
  6. Первое описание спинального инфаркта из‑за дискового эмбола у собаки (1973).
  7. FCE у 75 собак: клиника, факторы восстановления (2003).
  8. МРТ‑признаки и клинические ассоциации при FCEM у собак (2007).
  9. МРТ собак со “спинальными инфарктами”: ретроспектива (2005).
  10. FCE у 26 собак: клиника+МРТ (2009, PDF).
  11. FCE у 3 собак мелких пород: невро‑находки и МРТ (2005).
  12. Ишемическая миелопатия у кошек: “относительно хороший прогноз”, необходимость накопления случаев (2010, PDF).
  13. Ишемическая миелопатия у 19 кошек: исходы и ограничения данных (2013).
  14. МРТ‑признаки острого спинального инфаркта у 2 кошек + обзор литературы (2017, PMC).
  15. FCE у кошки с вовлечением мозжечка и шейного отдела: патология (2019).
  16. Подозреваемая FCE у кошки (2005).
  17. Экстрапаренхиматозные гематомы спинного мозга у собак: МРТ + хирургия + исход (2015, PMC).
  18. Экстрадуральная гематома при родентицидной токсикозе у собаки: диагностика и успешная хирургия (2022, PMC).
  19. Гематомиелия при варфарин‑подобной интоксикации у собаки (2022, PMC).
  20. Геморрагические энцефало‑ и миелопатии у собак и кошек: обзор и классификация (2024, PMC).
  21. Субарахноидальное кровоизлияние у собаки, связанное с Angiostrongylus: кейс (2023).
  22. Венозный синус‑тромбоз/венозная компрессия шейного отдела у собаки: первый отчёт (2017, PMC).
  23. Внутренний позвоночный венозный тромбоз у собаки: подтверждение MRA, клиника и ведение (2025, PDF).
  24. Септические эмболы эпидуральной жировой ткани, имитирующие опухоль у собаки (2022, PMC).
  25. Aортальный тромбоз у собак: факторы риска, лечение, исходы (2020, PMC).
  26. Обзор FATE у кошек: современные данные и будущие направления (2024, PMC).
  27. Консенсус по кардиомиопатии/риску ATE у кошек и антитромботической профилактике (2020).
  28. Доказательная оценка протоколов антитромботической терапии у собак и кошек (2019).
  29. Консенсус по рациональному применению антитромботиков: мониторинг UFH по anti‑Xa и др. (2019, PDF).
  30. Heparin anti‑Xa мониторинг: лабораторный протокол и интерпретация (Cornell).
  31. D‑dimer у собак: обзор возможностей и ограничений (2003).
  32. D‑dimer при лёгочной эмболии у собак: диагностическая полезность и ограничения (2013).
  33. D‑dimer для выявления тромбоэмболии у собак: параметры точности (2003).
  34. D‑dimer и TEG при критических состояниях у собак (2022).
  35. Гиперкоагуляция при PLN у собак по TEG (2013).
  36. Факторы тромботической болезни у собак с PLN: ретроспектива (2023, PMC).
  37. Коагуляционные изменения при PLE у собак (2021, PDF).
  38. Экспериментальная динамика DWI/ADC при спинальном инфаркте (canine model, 2007).
  39. Визуализация и классификация спинальных AVM/AVF (анатомия и классификация шунтов, 2001, PMC).
  40. Артериальное кровоснабжение спинного мозга в животных моделях (2017, PDF).
  41. Вет‑атлас анатомии по МРТ шейного отдела собаки (онлайн‑атлас).
  42. Платформа ветеринарной анатомии по изображениям (обновления до 2026).
  43. Русскоязычный обзор ФХЭ/фиброзно‑хрящевой эмболии с анализом актуальной литературы (2024).
  44. Русскоязычная статья о КТ/МРТ/миелографии при спинальных нарушениях у собак и кошек (2022).
  45. Русскоязычная статья о МРТ‑диагностике поражений головного и спинного мозга у животных (2010).