Найти в Дзене

⏳ Почему я НЕ верю в “быстро и дёшево” в эндодонтии

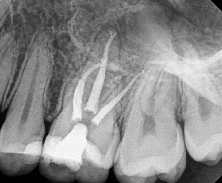
Меня часто спрашивают: «А можно сделать всё за один визит? И подешевле?» Я понимаю. Жизнь бьёт ключом, время дорого, хочется решить всё “здесь и сейчас”. Но вот правда, которую я усвоила за 18 лет: 🧬Эндодонтия, это не услуга Это биологический процесс! И его нельзя ускорить, как доставку еды 🍕 Вот почему “быстро и дёшево” часто оборачивается: - Рецидивом инфекции (остатки биоплёнки в слепых каналах), - Перфорацией (нет времени на микроскоп и осторожную работу), - Трещиной корня (спешка → перегрев → микротрещины), - Потерей зуба через 6–12 месяцев. А что требует качественная эндодонтия? ✅ Время на диагностику (КЛКТ + клинические тесты+ RVG) ✅ Два визита для медикаментозной обработки и пломбирования каналов( так же контроль на каждом этапе) ✅ Микроскоп, чтобы видеть, а не гадать 🔬 ✅ Коффердам, потому что слюна = бактерии = провал. Я не люблю торопится🫥 Мы лечим☝️ Ведь каждый зуб не пункт в чек-листе, а чья-то улыбка, возможность есть, говорить, жить без боли. 💬 А вы сталкивал

⏳ Почему я НЕ верю в “быстро и дёшево” в эндодонтии

Меня часто спрашивают:

«А можно сделать всё за один визит? И подешевле?»

Я понимаю. Жизнь бьёт ключом, время дорого, хочется решить всё “здесь и сейчас”.

Но вот правда, которую я усвоила за 18 лет:

🧬Эндодонтия, это не услуга

Это биологический процесс!

И его нельзя ускорить, как доставку еды 🍕

Вот почему “быстро и дёшево” часто оборачивается:

- Рецидивом инфекции (остатки биоплёнки в слепых каналах),

- Перфорацией (нет времени на микроскоп и осторожную работу),

- Трещиной корня (спешка → перегрев → микротрещины),

- Потерей зуба через 6–12 месяцев.

А что требует качественная эндодонтия?

✅ Время на диагностику (КЛКТ + клинические тесты+ RVG)

✅ Два визита для медикаментозной обработки и пломбирования каналов( так же контроль на каждом этапе)

✅ Микроскоп, чтобы видеть, а не гадать 🔬

✅ Коффердам, потому что слюна = бактерии = провал.

Я не люблю торопится🫥

Мы лечим☝️

Ведь каждый зуб не пункт в чек-листе, а чья-то улыбка, возможность есть, говорить, жить без боли.

💬 А вы сталкивались с ситуацией, когда “сделали быстро” а потом пришлось переделывать?

Поделитесь такие истории помогают другим не повторять ошибки.

P.S. В понедельник расскажу, что я НИКОГДА не делаю без трёх вещей даже если опаздываю или устала 😌

#эндодонтия #микроскоп #zubdocushakova #стоматологиябезстраха #качестволучше