Найти в Дзене

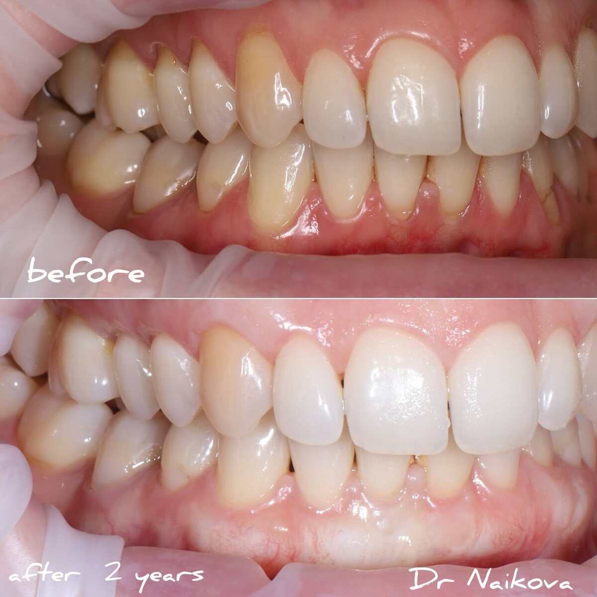
Спешим поделиться с вами новым кейсом от стоматолога-пародонтолога - Найковой Нины Вячеславовны

О том, что было выполнено, расскажет сама Нина Вячеславовна в аудио ниже ⤵️ #допослемегадент Записаться и получить приветственные бонусы 🔗 📲 подписывайтесь на наш канал в MAX

Спешим поделиться с вами новым кейсом от стоматолога-пародонтолога - Найковой Нины Вячеславовны

О том, что было выполнено, расскажет сама Нина Вячеславовна в аудио ниже ⤵️

#допослемегадент

Записаться и получить приветственные бонусы 🔗

📲 подписывайтесь на наш канал в MAX

-2
-3