Добавить в корзинуПозвонить
Найти в Дзене

Бильярд и лечение зубов. Что общего?

Ты бьёшь по шару не для того, чтобы он попал в лунку, а для того, чтобы он двинулся по нужной тебе траектории и создал такие условия, при которых как можно больше других шаров оказались там, где тебе надо. С зубами так же. Когда эта пациентка обратился к нам, стало понятно, что эту улыбку нужно реабилитировать через коррекцию прикуса. Провели основное терапевтическое лечение и перешли к проблеме правой верхней 6-ки. Она была под коронкой, на корне киста. Приняли решение сохранять зуб, провели резекцию верхушки корня, удалив вместе с ней кистозное образование. всё прошло удачно, и пациентка отправилась на лечение к ортодонту. Когда прикус был исправлен, увидели на снимке, что корень зуба, на котором проводилась резекция, всё-таки треснул. Мы были вынуждены удалить строптивую 6-ку. Казалось бы, резекция была бессмысленна, зуб всё равно ушел. Но благодаря тому, что мы продлили ему жизнь, на момент окончания ортодонтического лечения у нас сохранилась костная ткань в области этого зуба. Мы

Ты бьёшь по шару не для того, чтобы он попал в лунку, а для того, чтобы он двинулся по нужной тебе траектории и создал такие условия, при которых как можно больше других шаров оказались там, где тебе надо. С зубами так же.

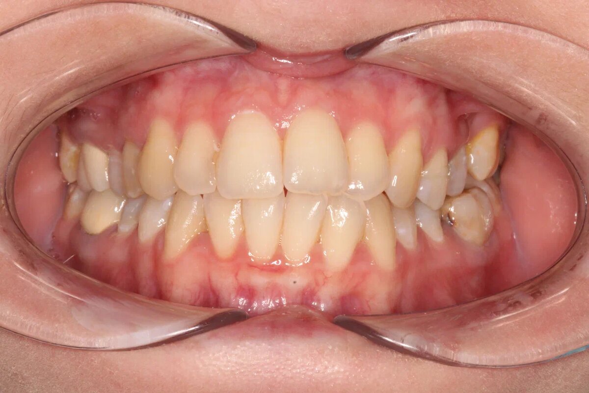
Исходная ситуация
Исходная ситуация

Когда эта пациентка обратился к нам, стало понятно, что эту улыбку нужно реабилитировать через коррекцию прикуса. Провели основное терапевтическое лечение и перешли к проблеме правой верхней 6-ки. Она была под коронкой, на корне киста. Приняли решение сохранять зуб, провели резекцию верхушки корня, удалив вместе с ней кистозное образование. всё прошло удачно, и пациентка отправилась на лечение к ортодонту.

Когда прикус был исправлен, увидели на снимке, что корень зуба, на котором проводилась резекция, всё-таки треснул. Мы были вынуждены удалить строптивую 6-ку.

Казалось бы, резекция была бессмысленна, зуб всё равно ушел. Но благодаря тому, что мы продлили ему жизнь, на момент окончания ортодонтического лечения у нас сохранилась костная ткань в области этого зуба. Мы смогли сразу после удаления установить имплант, не прибегая к костной пластике. Если бы зуб пошел под удаление сразу, кость успела бы улизнуть за время брекетоношения. Плюс - при коррекции прикуса, чем более полноценный зубной ряд, тем быстрее можно перемещать зубы безопасно.

-3

Второй имплант нам понадобился в области левой 6-ки - под неё ортодонты освободили место.

В июле 25-го года мы перешли в наступление в плане финального этапа - протезирования.

  • Запротезировали правый верх: по показаниями закрыли керамическими коронками 3 зуба и установили коронку на имплант.
  • Запротезировали правый низ: коронки на 5, 6, 7 зубах.
  • Далее перешли на левую сторону. Вверху закрыли пятерку и семерку установили коронку на имплант в области шестого зуба. Внизу - коронки на шестерке и семерке.
  • Правый верхний клык, хоть и живой, но с большущей пломбой, тоже приобрел керамическую защиту, чтобы этот объем пломбы в дальнейшем не привел к рецидиву кариеса.
-4

Финальным аккордом убедились, что рецессий десны после ортодонтического лечения мы не получили. И теперь - только чистки и профосмотры.

-5

Великолепная работа на всех направлениях. И в плане эстетики, и в плане линии смыкания. Вы можете оценить те плоскости, которые были ДО, и которые сформировались после того, как мы закончили. Это классическое лечение.В погоне за здоровьем пациент получил красивую улыбку.

Бильярд
2870 интересуются