Добавить в корзинуПозвонить
Найти в Дзене
НДН.ИНФО

Врачи спасли 17-летнего новосибирца, у которого почка выросла до размеров пятилитровой бутылки

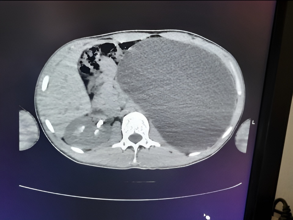
Во время УЗИ на профосмотре перед трудоустройством врачи обнаружили у 17-летнего жителя Новосибирска гидронефроз почки — критическое состояние, которое в любой момент могло привести к летальному исходу, сообщает пресс-служба регионального Минздрава. Юноша чувствовал себя абсолютно здоровым и никогда не предъявлял жалоб на мочевыделительную систему. Однако диагностика выявила страшную патологию: почка пациента достигла размеров пятилитровой бутылки и занимала практически всю брюшную полость, сдавливая соседние органы. «Это была настоящая бомба замедленного действия, — подчеркнули в пресс-службе Детской городской клинической больницы № 1. — Любая травма, неосторожный удар в живот — и орган мог разорваться, что привело бы к внутреннему кровотечению и гибели пациента». Хирурги провели экстренную операцию. Через четыре миниатюрных прокола врачи эвакуировали скопившуюся жидкость, после чего удалили необратимо поврежденную почку. В настоящее время пациент чувствует себя удовлетворительно и ид

Во время УЗИ на профосмотре перед трудоустройством врачи обнаружили у 17-летнего жителя Новосибирска гидронефроз почки — критическое состояние, которое в любой момент могло привести к летальному исходу, сообщает пресс-служба регионального Минздрава.

Юноша чувствовал себя абсолютно здоровым и никогда не предъявлял жалоб на мочевыделительную систему. Однако диагностика выявила страшную патологию: почка пациента достигла размеров пятилитровой бутылки и занимала практически всю брюшную полость, сдавливая соседние органы.

«Это была настоящая бомба замедленного действия, — подчеркнули в пресс-службе Детской городской клинической больницы № 1. — Любая травма, неосторожный удар в живот — и орган мог разорваться, что привело бы к внутреннему кровотечению и гибели пациента».

Хирурги провели экстренную операцию. Через четыре миниатюрных прокола врачи эвакуировали скопившуюся жидкость, после чего удалили необратимо поврежденную почку. В настоящее время пациент чувствует себя удовлетворительно и идет на поправку.

Ранее мы писали о том, что новосибирские нейрохирурги удалили опухоль мозга 81-летней пациентке

ИА Сибинформ