Добавить в корзинуПозвонить
Найти в Дзене

Лечение брекетами Damon пациента 18 лет – отличный результат по прикусу

Проблема: Антон, 18 лет, обратился к ортодонту О.А. Барановой в Семейный стоматологический центр «Диал-Дент» с просьбой выровнять передние верхние зубы, которые выросли неровно и портили улыбку. Решение: в результате лечения на брекетах удалось не только сделать зубы ровными, но и перевести глубокий прикус в нормальный, что улучшило и эстетику, и функцию жевания. Антон хотел, чтобы верхние центральные зубы были ровными. Других жалоб у Антона не было, а вот ортодонт при осмотре отметила наличие глубокого прикуса, недоразвитие обеих челюстей, нижнее положение языка, что не является нормой, затрудненное носовое дыхание (ранее удаляли полипы, исправили носовую перегородку, но нос нормально не дышит до сих пор). Уточнение диагноза проводится после комплексной ортодонтической диагностики, куда входят рентгеновские снимки (панорамный снимок зубов, телерентгенограмма головы в боковой проекции), сканирование челюстей с последующим изготовлением 3Д моделей, фотографии фигуры, лица и зубов с разн
Оглавление

Проблема: Антон, 18 лет, обратился к ортодонту О.А. Барановой в Семейный стоматологический центр «Диал-Дент» с просьбой выровнять передние верхние зубы, которые выросли неровно и портили улыбку.

Решение: в результате лечения на брекетах удалось не только сделать зубы ровными, но и перевести глубокий прикус в нормальный, что улучшило и эстетику, и функцию жевания.

Консультация ортодонта, проведение диагностики

Антон хотел, чтобы верхние центральные зубы были ровными. Других жалоб у Антона не было, а вот ортодонт при осмотре отметила наличие глубокого прикуса, недоразвитие обеих челюстей, нижнее положение языка, что не является нормой, затрудненное носовое дыхание (ранее удаляли полипы, исправили носовую перегородку, но нос нормально не дышит до сих пор).

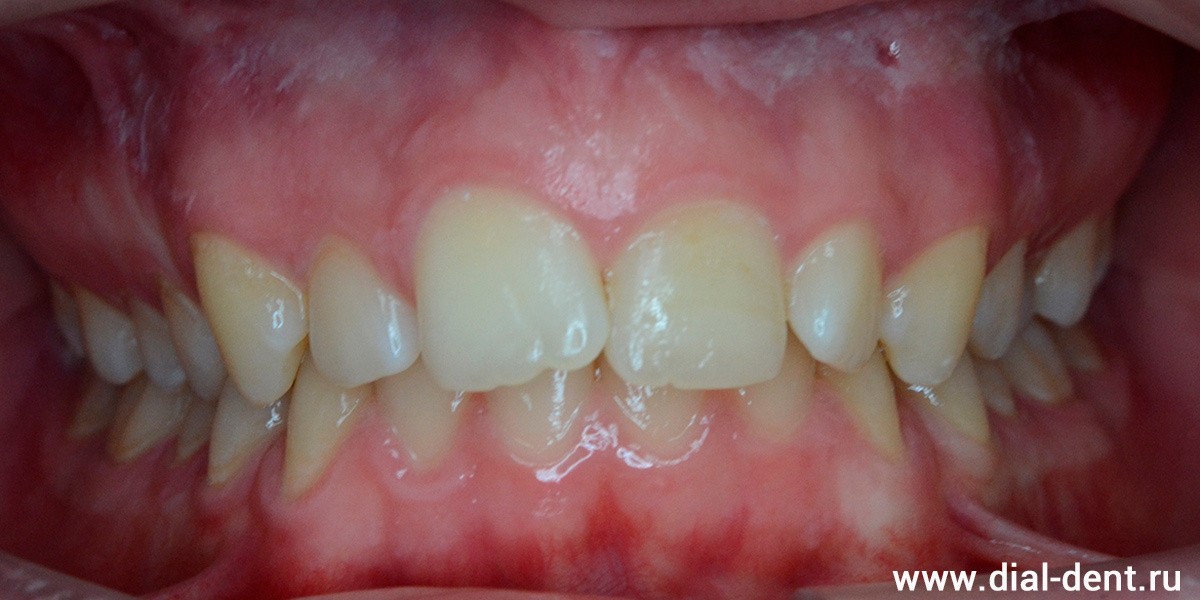
передние зубы растут криво, глубокий прикус
передние зубы растут криво, глубокий прикус

Уточнение диагноза проводится после комплексной ортодонтической диагностики, куда входят рентгеновские снимки (панорамный снимок зубов, телерентгенограмма головы в боковой проекции), сканирование челюстей с последующим изготовлением 3Д моделей, фотографии фигуры, лица и зубов с разных ракурсов, расчеты по моделям и рентгеновским снимкам, остеопатическая диагностика.

Диагноз ортодонта (тут приводим диагноз простыми словами, а не научно, как ортодонт пишет в карте) - разворот нескольких зубов по оси, щели между зубами, скученность передней группы зубов на верхней челюсти, смещение челюстей кзади относительно всего черепа (то есть положение челюстей неправильное) при недостаточности размера нижней челюсти.

Остеопат провел диагностику и выяснил, что имеется асимметрия положения височных костей, (левая во внутренней ротации), наклон верхней челюсти (ниже слева), внутрикостное напряжение нижней челюсти. По заключению остеопата - смешанный тип дисфункций, соматическая дисфункция региона таза, грудного отдела, головы.

врач-остеопат Быстров Виктор Васильевич
врач-остеопат Быстров Виктор Васильевич

Составление плана ортодонтического лечения

Ортодонт составила для Антона подробный план комплексного лечения, который был рассчитан на устранение не только кривизны зубов, но и причин формирования неправильного прикуса. Такой подход позволяет получить более стабильный и функциональный результат, а не временный косметический эффект.

Развернутый план лечения:

  • консультация ЛОР‑врача и восстановление полноценного носового дыхания;
  • лечение аппаратом ALF для мягкого расширения верхней челюсти;
  • электронейростимуляция (TENS) для расслабления жевательных мышц и поиска правильного положения нижней челюсти;
  • несъемный ортотик для выдвижения нижней челюсти вперед и ее удержания в новой позиции (параллельно с ALF);
  • занятия с миофункциональным терапевтом для правильного положения языка, закрепления дыхания через нос и перестройки работы мышц под новый прикус;
  • остеопатическая коррекция до и во время ортодонтического этапа;
  • брекет-система для окончательного выравнивания зубов и создания правильных контактов между ними.

Антон изначально не был готов к настолько масштабному и долгому лечению: его интересовал в первую очередь внешний вид зубов, а не комплексная коррекция всех функциональных проблем. Кроме того, такой план требовал больше времени и средств, чем он рассчитывал.

врач-ортодонт Баранова Ольга Александровна
врач-ортодонт Баранова Ольга Александровна

Упрощенный план: выравнивание зубов и исправление прикуса

Ортодонт объяснила, что можно ограничиться только ортодонтическим лечением, то есть выровнять зубы и скорректировать прикус, но результат будет менее «функциональным», чем при полном комплексном подходе. Антон сознательно выбрал именно этот, более краткий и доступный вариант.

Сокращенный план включал всего два основных шага:

  1. Ортодонтические накладки на вторые резцы для временного «завышения» прикуса, чтобы создать место и защитить брекеты.
  2. Брекет система Damon для выравнивания зубов и настройки правильного смыкания челюстей.

Лечение брекетами

Перед фиксацией брекетов всем пациентам Семейного стоматологического центра «Диал-Дент» проводится профессиональная чистка зубов, чтобы удалить зубной налет и снизить риск кариеса во время длительного лечения. При необходимости выполняется лечение кариеса. Установка брекетов на подготовленные зубы минимизирует риск кариеса в процессе лечения брекетами, и ортодонтическое лечение не прерывается, а зубы сохраняют здоровье.

Ортодонт закрепила на внутренней поверхности передних зубов специальные накладки, после чего на зубах была зафиксирована брекет-система Damon.

брекеты Damon зафиксированы на зубах
брекеты Damon зафиксированы на зубах

Накладки на верхние зубы, при установленных брекетах, предохраняют брекеты на нижних зубах от скалывания (при глубоком прикусе).

Установка брекетов в Москве проводится во множестве клиник, но в ортодонтии эффективность лечения зависит не столько от марки брекетов, сколько от точных расчетов врача и понимания, в какую сторону и на какое расстояние можно и нужно перемещать каждый зуб. Ортодонт О.А. Баранова использовала возможности брекет-системы и свой опыт, чтобы провести лечение максимально результативно в ограниченные сроки.

Антон посещал ортодонта каждые 1,5-2 месяца для контроля лечения, смены дуг, дополнения системы запланированными элементами.

Через 3,5 месяца достигнуто расширение верхнего зубного ряда, передние зубы развернуты в правильную позицию и выровнены по дуге:

результат через 3,5 месяца лечения брекетами
результат через 3,5 месяца лечения брекетами

Москва диктует свои правила – здесь все нужно делать на высокой скорости, и брекеты Damon отлично справляются с такой задачей, так как в них используются постоянные силы и минимальное трение, благодаря чему перемещение зубов происходит быстро и безопасно.

Для защиты от поражения зубов кариесом каждые 4 месяца всем ортодонтическим пациентам «Диал-Дент» с брекетами на зубах бесплатно проводится профессиональная чистка зубов, так как самостоятельная чистка ухудшается из-за установленной брекет-системы на зубах. Профессиональное удаление зубного налета проводится опытными гигиенистами на самом современном оборудовании Air Flow Prophylaxis Master.

гигиена полости рта в "Диал-Дент" проводится опытными гигиенистами с помощью лучшего специального оборудования
гигиена полости рта в "Диал-Дент" проводится опытными гигиенистами с помощью лучшего специального оборудования

Через 8 месяцев после фиксации брекетов на фотографиях видны выровненные по дуге зубные ряды, но сохраняется щель между зубами в переднем отделе, и еще нет контактов между боковыми зубами. Лечение продолжается.

результат через 8 месяцев лечения брекетами
результат через 8 месяцев лечения брекетами

Когда форма зубных дуг и прикус были доведены до нужных значений, накладки на передних зубах убрали, так как они больше не требовались для защиты брекетов и регулировки прикуса.

ортодонтические накладки предохраняли нижние брекеты от скалывания верхними зубами, вконце лечения накладки удалили
ортодонтические накладки предохраняли нижние брекеты от скалывания верхними зубами, вконце лечения накладки удалили

Результат лечения – даже по сокращенному плану все получилось отлично

После достижения поставленных целей брекеты сняли, гигиенист очистила остатки клея от брекетов, методом Air Flow удалила зубной налет, отполировала зубы, укрепила эмаль зубов специальными составами.

Продолжительность лечения составила всего 1 год – это достаточно быстро. Благодаря знаниям и опыту ортодонта О.А. Барановой за столь непродолжительный срок получен отличный результат по прикусу без использования дополнительной сложной аппаратуры, только при помощи брекетов и накладок.

Вид зубов до и после исправления прикуса:

результат исправления прикуса брекетами
результат исправления прикуса брекетами
до и после исправления прикуса брекетами
до и после исправления прикуса брекетами
верхние зубы до и после ортодонтического лечения
верхние зубы до и после ортодонтического лечения
нижние зубы до и после ортодонтического лечения
нижние зубы до и после ортодонтического лечения
вид справа до и после исправления прикуса
вид справа до и после исправления прикуса
вид слева до и после исправления прикуса
вид слева до и после исправления прикуса
улыбка до и после исправления прикуса
улыбка до и после исправления прикуса

Стоимость данного лечения с учетом аппаратуры составила 262800 руб.

Программа профилактики после ортодонтического лечения

Гигиена и профилактика являются важными моментами на всех этапах исправления прикуса. Уже после снятия брекетов за зубами нужно продолжать тщательно ухаживать (чистить зубы, поддерживать здоровье десен), и регулярно, раз в полгода, посещать ортодонта для осмотра. Все это в «Диал-Дент» можно сделать в один день, ведь и ортодонт и гигиенист работают в одной клинике.

профессиональная гигиена зубов в "Диал-Дент"
профессиональная гигиена зубов в "Диал-Дент"

Профессиональный гигиенист самыми современными методами удалит зубной налет и зубной камень, подберет индивидуальные средства для ухода за полостью рта и скорректирует технику чистки зубов. Наша программа «Зубы на всю жизнь» создана для того, чтобы здоровье зубов было под надежной защитой.

Специалисты «Диал-Дент», принимавшие участие в лечении Антона

Ортодонт О.А. Баранова – диагностика, планирование лечения, лечение брекетами damon.

Врач-остеопат В.В. Быстров – остеопатическая диагностика.

Стоматолог-терапевт О.А. Щелканова – лечение кариеса.

Гигиенист стоматологический У. Орашева – чистка зубов до, во время и после ортодонтического лечения.

Другие примеры исправления прикуса смотрите на нашем сайте.

Запись на консультацию к ортодонту «Диал-Дент» по телефону +7 (495) 032 23 64.