Добавить в корзинуПозвонить
Найти в Дзене

Закрытие промежутков между зубами без обточки зубов

🦷 Пациент обратился с жалобами на эстетический дефект , а именно промежутки между зубами. Принципиальная задача - полностью безинвазивный протокол! К ортодонтическому лечению пока не готов , но итак как есть микродентия ( небольшой размер коронковой части зуба), даже после ортодонтического лечения (брекеты, элайнеры) скорее всего потребовалась бы реставрация 🖼️ Но ввиду того , что пациент , сам стоматолог - полностью отдает отчет о всех вариантах лечения ) Остановились на прямой реставрации - и вот такая красота у нас получилась ) Реставрация выполнена без обточки зубов (безинвазивно) @umetria_stom ⬅️ запишитесь на консультацию и сделайте первый шаг к своей красивой улыбке 🌸 Переходите на мой канал MAX (в связи с блокировкой телеграм) ☎️ +74954456755 или звоните 🌸

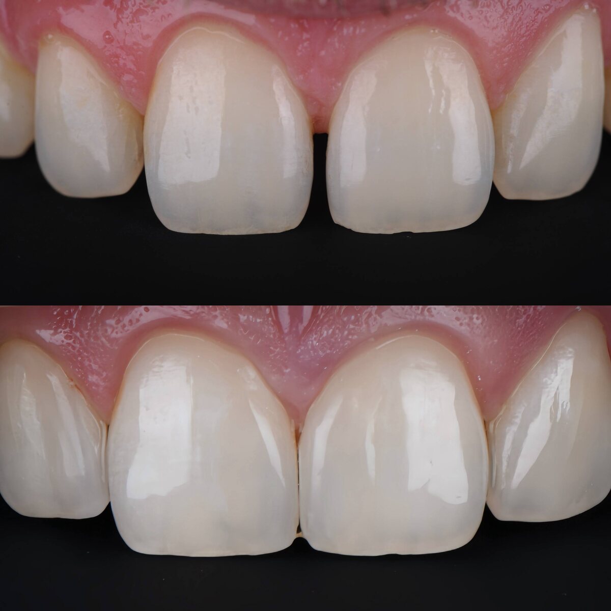
Закрытие промежутков между зубами без обточки зубов 🦷

Пациент обратился с жалобами на эстетический дефект , а именно промежутки между зубами.

Принципиальная задача - полностью безинвазивный протокол!

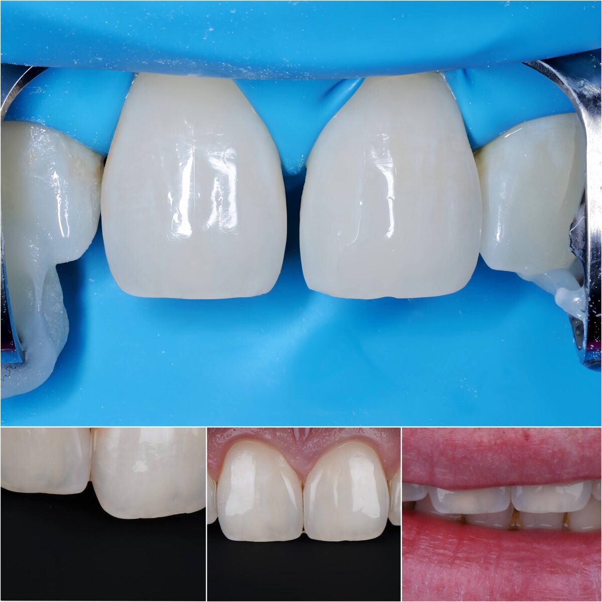
К ортодонтическому лечению пока не готов , но итак как есть микродентия ( небольшой размер коронковой части зуба), даже после ортодонтического лечения (брекеты, элайнеры) скорее всего потребовалась бы реставрация 🖼️

Но ввиду того , что пациент , сам стоматолог - полностью отдает отчет о всех вариантах лечения )

Остановились на прямой реставрации - и вот такая красота у нас получилась )

Реставрация выполнена без обточки зубов (безинвазивно)

@umetria_stom ⬅️ запишитесь на консультацию и сделайте первый шаг к своей красивой улыбке 🌸

Переходите на мой канал MAX (в связи с блокировкой телеграм)

☎️ +74954456755 или звоните 🌸

-2
-3
-4
-5
-6
-7