Добавить в корзинуПозвонить
Найти в Дзене

СКТ при пневмонии и осложнениях

Компьютерная томография (КТ), а точнее ее более совершенный вариант — мультиспиральная компьютерная томография (МСКТ), занимает ключевую позицию в современной пульмонологии. В диагностике пневмоний и их последствий этот метод признан «золотым стандартом», так как обладает уникальной способностью визуализировать мельчайшие структуры легких, недоступные для обычного рентгеновского снимка. Если традиционная рентгенография дает общую картину, часто скрывая детали воспалительного процесса, то КТ позволяет заглянуть вглубь ткани, оценить характер и распространенность патологических изменений с точностью до миллиметра. Это особенно важно, поскольку пневмония — заболевание коварное, способное маскироваться под обычную простуду и быстро прогрессировать, приводя к тяжелым, а иногда и необратимым последствиям. Основная задача СКТ при подозрении на пневмонию — не просто подтвердить наличие воспаления, но и детально описать его картину. Воспалительный процесс в легких приводит к тому, что альвеолы
Оглавление

Компьютерная томография (КТ), а точнее ее более совершенный вариант — мультиспиральная компьютерная томография (МСКТ), занимает ключевую позицию в современной пульмонологии. В диагностике пневмоний и их последствий этот метод признан «золотым стандартом», так как обладает уникальной способностью визуализировать мельчайшие структуры легких, недоступные для обычного рентгеновского снимка. Если традиционная рентгенография дает общую картину, часто скрывая детали воспалительного процесса, то КТ позволяет заглянуть вглубь ткани, оценить характер и распространенность патологических изменений с точностью до миллиметра. Это особенно важно, поскольку пневмония — заболевание коварное, способное маскироваться под обычную простуду и быстро прогрессировать, приводя к тяжелым, а иногда и необратимым последствиям.

Роль СКТ в диагностике пневмонии

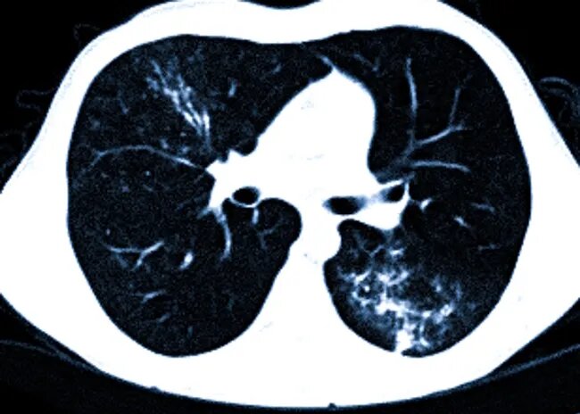
Основная задача СКТ при подозрении на пневмонию — не просто подтвердить наличие воспаления, но и детально описать его картину. Воспалительный процесс в легких приводит к тому, что альвеолы (воздушные мешочки, отвечающие за газообмен) заполняются жидкостью, слизью или гноем, становясь безвоздушными и нефункциональными. На ранних стадиях, когда симптомы могут быть смазанными (небольшой кашель, слабость), КТ способна выявить участки инфильтрации объемом менее 5% легочной ткани, что делает этот метод незаменимым для ранней диагностики. Чувствительность метода нарастает по мере развития заболевания, достигая 99% к 6-11 дню.

В период пандемии COVID-19 была разработана и внедрена удобная визуальная шкала для оценки объема поражения легких, которая сегодня используется повсеместно. Она позволяет врачам быстро классифицировать тяжесть состояния:
КТ-0: Признаков пневмонии нет.
КТ-1 (легкая степень): Поражено менее 25% объема легочной ткани. Характерны небольшие участки уплотнения по типу «матового стекла».
КТ-2 (умеренная степень): Поражение составляет от 25% до 50%. Обнаруживаются множественные участки «матового стекла».
КТ-3 (среднетяжелая степень): В патологический процесс вовлечено от 50% до 75% легких. Появляются участки консолидации (более плотного уплотнения), когда ткань легкого по плотности приближается к ткани печени.
КТ-4 (тяжелая, критическая степень): Поражено более 75% легочной паренхимы. Легкие теряют свою воздушность, визуализируются диффузные уплотнения, симптом «булыжной мостовой» и другие тяжелые изменения.

Важно понимать, что эта классификация отражает не только объем, но и прогноз. Переход от стадии КТ-3 к КТ-4 происходит очень быстро и несет прямую угрозу жизни, требуя немедленной респираторной поддержки.

СКТ в выявлении осложнений пневмонии

Пневмония опасна не столько самим воспалением, сколько осложнениями, которые она может вызвать. СКТ играет решающую роль в их своевременном обнаружении. Клинические рекомендации подчеркивают, что при подозрении на осложнения показания к проведению компьютерной томографии должны быть расширены. Среди наиболее частых и опасных осложнений выделяют:
Абсцесс легкого: Это ограниченное гнойное расплавление легочной ткани, формирующее полость. На снимках КТ абсцесс виден как полость с толстыми стенками и уровнем жидкости (гноя). Своевременная диагностика позволяет избежать прорыва абсцесса в плевру или сепсиса.
Парапневмонический плеврит и эмпиема плевры: Воспаление может перейти на плевру (оболочку, покрывающую легкие), вызывая скопление жидкости в плевральной полости. КТ четко показывает даже небольшое количество выпота, а при эмпиеме (гнойном плеврите) визуализируются утолщенная плевра и характерное содержимое.
Септическая эмболия: Инфекционные тромбы могут заноситься в легкие из других очагов воспаления, вызывая множественные мелкие очаги некроза. КТ позволяет обнаружить эти очаги, часто расположенные по периферии легких.
Фиброзные изменения: После перенесенной пневмонии, особенно тяжелой, на месте воспаления может разрастаться рубцовая соединительная ткань. Это состояние называется пневмофиброзом и приводит к необратимому снижению эластичности легких и дыхательной недостаточности. КТ — единственный метод, позволяющий достоверно оценить степень поствоспалительных фиброзных изменений.

Таким образом, СКТ помогает не только на этапе диагностики, но и в динамике, позволяя оценить эффективность лечения и выявить остаточные явления, требующие реабилитации.

-2

Почему стоит выбрать медицинский центр «ТОМОГРАФ»

Для получения максимально точного результата исследования важна не только современная аппаратура, но и профессионализм команды, а также комфорт пациента. Обращение в диагностический центр «ТОМОГРАФ» гарантирует вам ряд неоспоримых преимуществ. В центре установлено высококлассное оборудование, позволяющее проводить сканирование с минимальной лучевой нагрузкой и получать изображения с тончайшими срезами, что особенно важно для выявления мелких очагов воспаления на ранней стадии. Процедура проходит быстро и комфортно, что подтверждают многочисленные отзывы пациентов: само исследование занимает считанные минуты, а атмосфера в центре располагает к спокойствию.

Особое внимание в «ТОМОГРАФЕ» уделяется качеству диагностики. Расшифровку снимков проводят опытные врачи-рентгенологи, которые не просто описывают увиденное, но и дают развернутое заключение, отвечающее на ключевые вопросы лечащего врача. Вы получаете не просто диск со снимками и краткое описание, а полноценный диагностический протокол. Удобство сервиса также играет важную роль: записаться на исследование можно на удобное время без очередей, а результаты часто бывают готовы в день обращения и могут быть отправлены на электронную почту, что позволяет оперативно показать их своему доктору и начать лечение. Забота о пациентах и ориентация на помощь, а не просто на оказание услуг, делают центр «ТОМОГРАФ» надежным выбором для тех, кто ценит свое здоровье.

В заключение следует подчеркнуть, что своевременное и качественное обследование — это фундамент успешного лечения. СКТ при пневмонии — это не просто снимок, а детальная карта, которая ведет врача по пути к выздоровлению пациента, помогая избежать тяжелых осложнений и сохранить здоровье легких на долгие годы.