Найти в Дзене
Parodoctor

Затаившаяся угроза - как пациент едва не лишился 7 зуба из-за "невидимой" восьмёрки

Знаете, есть такая коварная закономерность в стоматологии, я бы это назвала "законом подлости" даже - самые серьёзные проблемы, чаще всего, развиваются тихо. Без боли, без жалоб, без малейшего намёка на катастрофу. А потом - бац, и вместо одного зуба ты теряешь два. А некоторые и всю челюсть умудряются "незаметно" проворонить. Этим случаем со мной поделилась врач нашей клиники Михайлова Лариса Юрьевна, я пишу материал с её слов, в своей адаптации для формата блога. Потому что случай этот - как учебное пособие на тему "почему нельзя откладывать визит к стоматологу". Нижняя восьмёрка, тот самый зуб мудрости, прорезалась одним-единственным бугорком, на фото его даже и не видать. Подленько! Подобно айсбергу, массив тканей 8 зуба так и остался где-то там - как жИрный пИнгвин, в скалах застрявший. Места для нормального прорезывания, как водится, не хватило. И вот этот одинокий прорезавшийся бугорок создал идеальную ловушку и кормушку для бактерий - глубокое ущелье между восьмым и соседним
Оглавление

Знаете, есть такая коварная закономерность в стоматологии, я бы это назвала "законом подлости" даже - самые серьёзные проблемы, чаще всего, развиваются тихо. Без боли, без жалоб, без малейшего намёка на катастрофу. А потом - бац, и вместо одного зуба ты теряешь два. А некоторые и всю челюсть умудряются "незаметно" проворонить.

Этим случаем со мной поделилась врач нашей клиники Михайлова Лариса Юрьевна, я пишу материал с её слов, в своей адаптации для формата блога.

Потому что случай этот - как учебное пособие на тему "почему нельзя откладывать визит к стоматологу".

Полуретинированная восьмёрка - как зуб мудрости создаёт проблемы

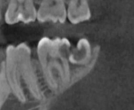
Нижняя восьмёрка, тот самый зуб мудрости, прорезалась одним-единственным бугорком, на фото его даже и не видать. Подленько!

На фото 6 и 7 - 8 даже не видно
На фото 6 и 7 - 8 даже не видно

Подобно айсбергу, массив тканей 8 зуба так и остался где-то там - как жИрный пИнгвин, в скалах застрявший. Места для нормального прорезывания, как водится, не хватило.

И вот этот одинокий прорезавшийся бугорок создал идеальную ловушку и кормушку для бактерий - глубокое ущелье между восьмым и соседним седьмым зубом. Костный карман со сложными бугристыми стенками, из которого вычистить остатки пищи не способна ни одна щётка в мире и ни один ирригатор. На ёршики тоже не надёйтесь.

Можно ли ожидать отсутствия проблем в такой-то ситуации? Да нет, конечно.

Скрытый кариес между зубами - не болит и очень опасен

Год за годом в этом кармане кипела работа бактерий, шла их жизнь, поколение сменяло поколение. И всё это ессимптомно. Незачем человеку знать, какое раздолье в скрытых уголках его ротовой полости имеется. Ну, может, неприятный запах изо рта случался - но кто на это обращает внимание? То желудок больной, естественно.

Кариес, тем временем, взялся сразу за оба зуба:

Кариес 7 и 8 - срез КТ
Кариес 7 и 8 - срез КТ

Досталось и злосчастной восьмёрке, и ни в чём не повинной семёрке. Во рту эти полости не видны, они спрятаны между зубами, глубоко, у самой десны, уже на корни перешли. Увидеть их можно только на КТ.

Пациент пришёл к нам уже с болью пульпитной - той самой, от которой хочется лезть на стену.

Удаление полуретинированного 8 зуба

Первым делом убираем причину - ликвидируем восьмёрку, которая и затеяла всю эту историю.

Наш хирург удалил её виртуозно - бережно, аккуратно, с минимальной травмой тканей. Всё зажило быстро, боли ушли.

Но расслабляться рано. Впереди - главное действо. Удастся ли спасти семёрку?

Кариес корня зуба - можно ли вылечить без удаления

На КТ кариозная полость на седьмом зубе выглядит, прямо скажем, устрашающе. Она огромная, инфекционная чернота почти добралась до нерва. И, что особенно неприятно, ушла под десну, затронула корень.

Кариес корня - это, вообще-то, показание к удалению. Давайте проговорим это вслух, чтобы вы понимали масштаб проблемы.

Не торопимся с приговором! Сначала - полноценная диагностика. Холодовая проба проведена - прикладываем охлаждённую ватку к зубу, зуб реагирует, реакция кратковременная. Значит - зуб живой!!! И, значит, надо за него побороться.

А теперь представьте условия работы - полость расположена на дальней поверхности последнего зуба в ряду. С одной стороны - шевелящийся язык. С другой - щека. Всё глубоко, всё под десной. Постараться пришлось всем - и врачу, и ассистенту, и пациенту, который героически держал рот открытым на протяжении всего времени лечения.

Кариозная полость, 7 зуб
Кариозная полость, 7 зуб

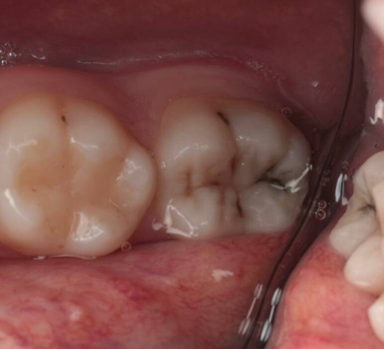
Нерв не вскрылся! Зуб остался живым! Полость восстановлена в природную анатомию - зуб как новенький:

Красота!
Красота!

А прицельный снимок подтвердил идеальное краевое прилегание, гладкий переход пломбы в поверхность корня:

Идеальное прилегание пломбы без нависающих краёв
Идеальное прилегание пломбы без нависающих краёв

А это значит, что поверхность будет хорошо очищаться, десна останется здоровой, а реставрация прослужит долго. Коронка тут не требуется.

Нашему пациенту повезло трижды.

  1. Заболел именно восьмой зуб. Тот, который всё равно нужно было удалять. Именно он привёл пациента к нам.
  2. Удаление было проведено настолько бережно, что ткани зажили быстро, без осложнений, и можно было спокойно приступить к лечению соседнего зуба.
  3. Семёрку удалось не просто сохранить (напомню, что кариес корня - это показание к удалению!), но ещё и оставить живой.
Три удачи подряд. Почти как в сказке.
-6

Мы очень рады, когда удаётся спасти всоё, родное. А если родное ещё и живым осталось - вообще праздник.

Вывод

Давайте честно. Этому пациенту повезло. Но история могла закончиться совсем иначе. Кариес мог добраться до нерва семёрки раньше. Полость могла уйти ещё глубже под десну. И тогда - минус два зуба вместо одного.

А ведь всё это можно было предотвратить.

Регулярный осмотр, КТ раз в год (если есть такие 8 или другие особенности, требующие контроля). Своевременное удаление восьмёрки, которая явно не собиралась нормально прорезываться. Пятнадцать минут у врача - и никакого детектива.

Вывод прост, но почему-то даётся людям с огромным трудом - не ждите боли. Боль - это не начало проблемы. Боль - это её финал. К моменту, когда заболело, разрушения уже могут быть такими, что спасать будет нечего.

Приходите на осмотры. Делайте КТ. Удаляйте вовремя то, что необходимо удалить. Не копите проблемы в надежде, что "пронесёт".

Удача - прекрасная вещь. Но в стоматологии лучше полагаться на профилактику.

Больше материалов по терапии:

Наша терапия | Parodoctor | Дзен

Если вам интересны подобные клинические истории - подписывайтесь на канал Parodoctor в Telegram. Там я рассказываю о стоматологии без прикрас: сложные случаи, нестандартные решения и то, что остаётся за кадром обычного приёма. Именно там я отвечаю на вопросы подписчиков, привлекая к ответам врачей команды, если это требуется:

Parodoctor

Завела канал в MAX, чтобы был, называется он Parodoctor:

Parodoctor

С уважением, Лежачёва Наталия Александровна, хирург-пародонтолог и главный врач стоматологии Parodent, СПб.