Добавить в корзинуПозвонить
Найти в Дзене

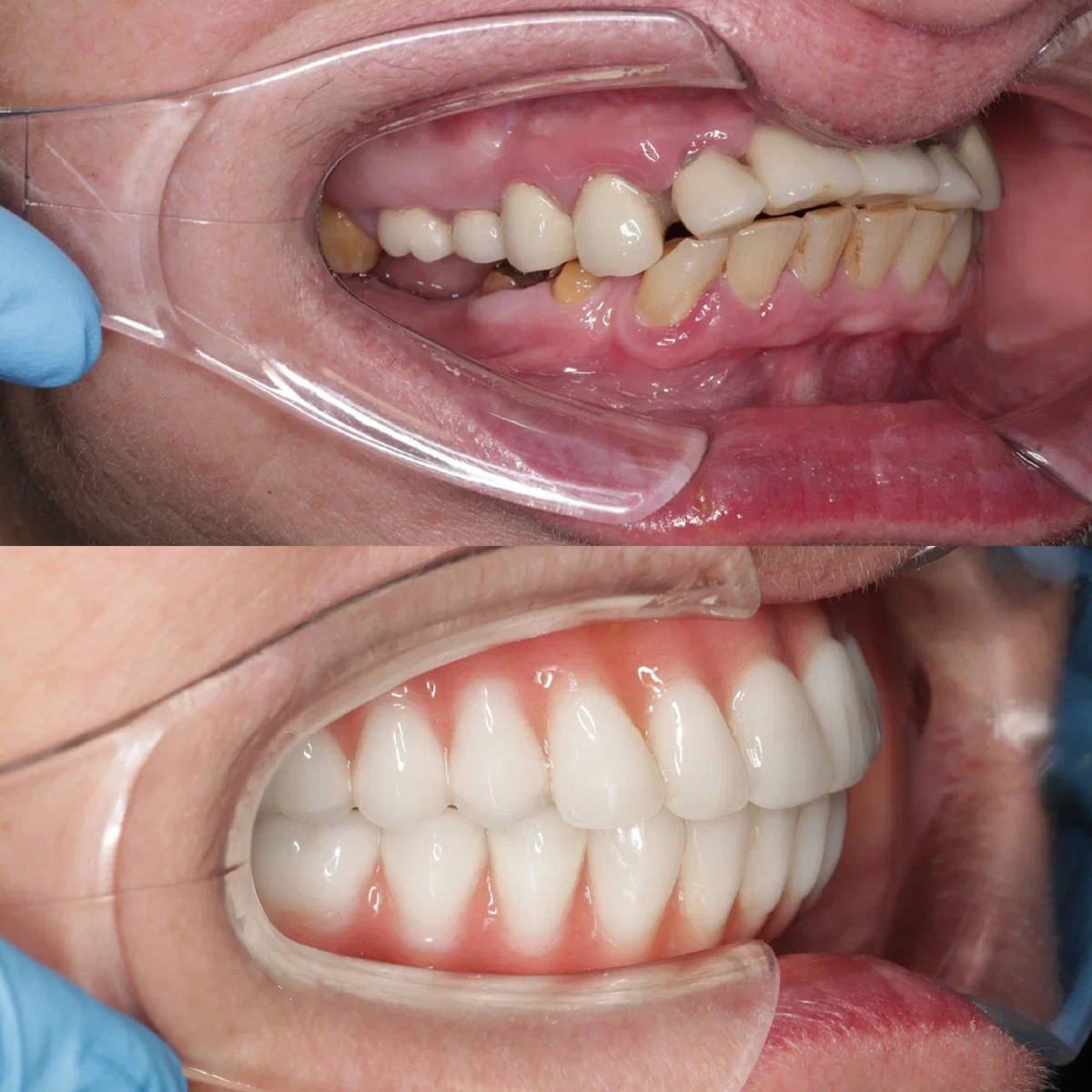
«Боялась смотреть в зеркало»: как за 3 дня вернуть зубы и молодость

Когда Ольга Анатольевна впервые пришла к нам в клинику, она улыбалась, прикрывая рот рукой. Привычка, которая вырабатывается годами, когда стесняешься собственных зубов. Визуально они еще были на месте. Но внутри уже шла война: хроническое воспаление, пародонтит, разрушение костной ткани. Жевать было больно, а главное — страшно: «А вдруг выпадут прямо сейчас?». ДО: дискомфорт, комплексы, риск остаться без зубов.
ПОСЛЕ: роскошная улыбка и омоложение лица без пластики. Врач-имплантолог Бобоев Назар Суванкулович предложил не просто «залатать дыры», а сделать глобальное восстановление по уникальной методике. Все зубы, которые стали источником инфекции, решили не сохранять, а заменить на надежные конструкции. Вся работа заняла всего 3 дня:
День 1 — диагностика и 3D-снимок (сразу видим всю картину).
День 2 — удаляем больные зубы, ставим импланты. Вся операция прошла во сне — пациентка просто проснулась с новой основой для улыбки.
День 3 — фиксируем постоянные зубы. Результат вас удивит: на в

Когда Ольга Анатольевна впервые пришла к нам в клинику, она улыбалась, прикрывая рот рукой. Привычка, которая вырабатывается годами, когда стесняешься собственных зубов.

Визуально они еще были на месте. Но внутри уже шла война: хроническое воспаление, пародонтит, разрушение костной ткани. Жевать было больно, а главное — страшно: «А вдруг выпадут прямо сейчас?».

ДО: дискомфорт, комплексы, риск остаться без зубов.
ПОСЛЕ: роскошная улыбка и омоложение лица без пластики.

Врач-имплантолог Бобоев Назар Суванкулович предложил не просто «залатать дыры», а сделать глобальное восстановление по уникальной методике. Все зубы, которые стали источником инфекции, решили не сохранять, а заменить на надежные конструкции.

Вся работа заняла всего 3 дня:
День 1 — диагностика и 3D-снимок (сразу видим всю картину).
День 2 — удаляем больные зубы, ставим импланты. Вся операция прошла во сне — пациентка просто проснулась с новой основой для улыбки.
День 3 — фиксируем постоянные зубы.

Ольга Анатольевна, г. Москва, клиника доктора Севака Estetus
Ольга Анатольевна, г. Москва, клиника доктора Севака Estetus

Результат вас удивит: на верхней челюсти установили 6 имплантов (All-on-6), на нижней — 4 (All-on-4). Это золотой стандарт для сложных случаев.
Приживаемость — 99,8%. А главное — лицо сразу стало выглядеть свежее и моложе.

Хотите так же? Узнайте, подходит ли вам эта методика. Позвоните: +7 (495) 463-24-34, не откладывайте возвращение качества жизни.