Найти в Дзене

Дистальный прикус: «болезнь» современного человека

Дистальный прикус – это прикус, при котором верхняя челюсть (или верхние зубы) заметно выдвинуты вперёд относительно нижней. Одним из важных факторов его формирования может быть наследственность – форма и соотношение челюстей часто «достаются» от родителей, отмечает кандидат медицинских наук, доцент кафедры терапевтической, хирургической, ортопедической стоматологии и стоматологии детского возраста Медицинского института СВФУ Ксения Пиксайкина-Григорьева. По данным статей российских и зарубежных источников, у современного человека всё чаще выявляются аллергические заболевания и патологии ЛОР-органов,изменение образа жизни и питания. Раннее удаление молочных зубов и преобладание мягкой, протёртой пищи приводят к недостаточной жевательной нагрузке. В результате нижняя челюсть может занимать неправильное положение, а верхняя челюсть нередко формируется суженной, что влияет на прикус и состояние дыхательных путей. При дистальном прикусе, как правило, дыхательные пути сужены, человек быстр

Дистальный прикус – это прикус, при котором верхняя челюсть (или верхние зубы) заметно выдвинуты вперёд относительно нижней. Одним из важных факторов его формирования может быть наследственность – форма и соотношение челюстей часто «достаются» от родителей, отмечает кандидат медицинских наук, доцент кафедры терапевтической, хирургической, ортопедической стоматологии и стоматологии детского возраста Медицинского института СВФУ Ксения Пиксайкина-Григорьева.

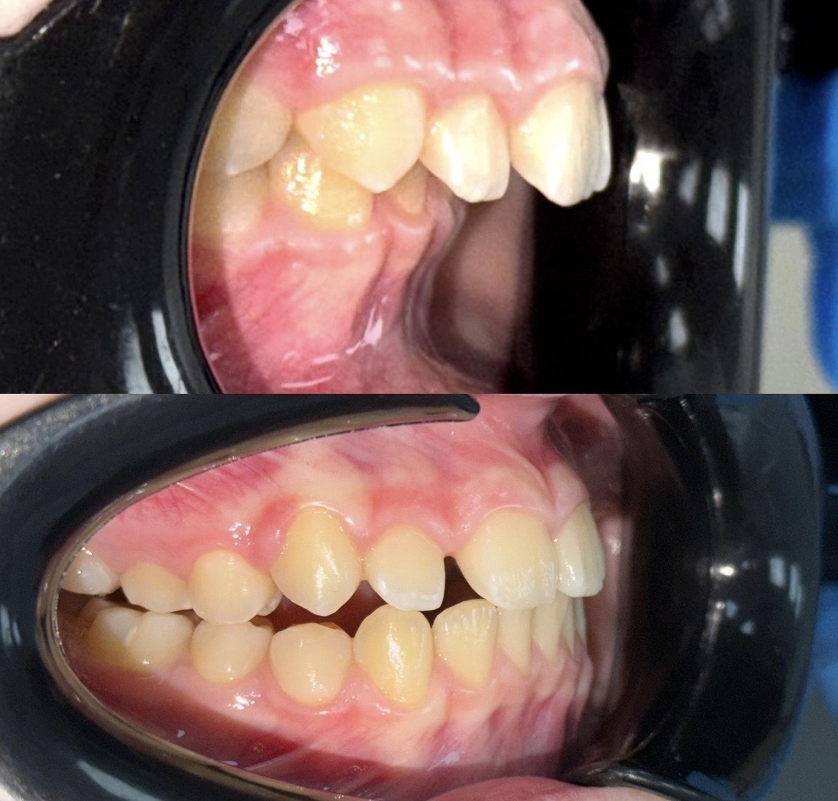
На фото: примеры из практики коррекции дистального прикуса Ксении Пиксайкиной-Григорьевой
На фото: примеры из практики коррекции дистального прикуса Ксении Пиксайкиной-Григорьевой

По данным статей российских и зарубежных источников, у современного человека всё чаще выявляются аллергические заболевания и патологии ЛОР-органов,изменение образа жизни и питания. Раннее удаление молочных зубов и преобладание мягкой, протёртой пищи приводят к недостаточной жевательной нагрузке. В результате нижняя челюсть может занимать неправильное положение, а верхняя челюсть нередко формируется суженной, что влияет на прикус и состояние дыхательных путей. При дистальном прикусе, как правило, дыхательные пути сужены, человек быстрее утомляется и у него случаются приступы апноэ — остановка дыхания во сне, храп.

Простыми словами, формируется «порочный круг», который может прекратиться при помощи ранней диагностики и подключения всех смежных специалистов.

Виновата ли пустышка?

Причинами также могут быть вредные привычки из детства, которые «растут» и в последствии остаются уже у взрослого человека: длительное сосание пустышки или пальца, прикусывание губы, неправильное глотание (то есть «инфантильное глотание» из-за короткой уздечки под языком в комплексе с общей слабостью мышц губ и щек), а также ротовое дыхание, которое впоследствии формирует так называемое «птичье лицо», его еще называют «аденоидный тип лица».

К другим причинам формирования дистального прикуса относятся нарушение роста челюстей: недоразвитие нижней челюсти или чрезмерный рост верхней; раннюю потерю молочных зубов, когда соседние зубы смещаются и не остается места для прорезывания постоянных зубов, и прикус формируется неправильно. Стоит учитывать и ЛОР-проблемы: из-за аденоидов, хронического насморка, когда ребенок дышит ртом, язык вместо нёба находится постоянно внизу, на дне полости рта, и меняется положение языка и рост челюстей.

Как прикус влияет на внешность и образ жизни

Если своевременно не лечить и не исправить прикус, последствия могут быть как эстетические, психологические, так и связанные с общим здоровьем, речью. У людей с таким прикусом с точки зрения эстетики бывает «птичий профиль», выступает верхняя губа, скошен подбородок, вытянутое лицо, отсутствует волевой подбородок для мужчин, у женщин – нет так называемых «углов Анджелины Джоли».

На фото: примеры из практики коррекции дистального прикуса Ксении Пиксайкиной-Григорьевой
На фото: примеры из практики коррекции дистального прикуса Ксении Пиксайкиной-Григорьевой

С точки зрения здоровья последствиями могут быть повышенный риск кариеса, потеря зубов как следствие, стираемость зубов, боли в зубах, «скрежетание», бруксизм, перегрузка височно-нижнечелюстного сустава (щелчки, боль), вплоть до остановки дыхания во сне, храпа, апноэ, нарушений сна, бессонницы.

Из-за плохого пережевывания пищи могут отмечаться проблемы с ЖКТ. Часто нарушения прикуса приводят к дефектам дикции, что у человека создает психологический дискомфорт, неуверенность, стеснительность.

Профилактику и лечение дистального прикуса нужно начать в детском и подростковом возрасте – это самый благоприятный и «благодарный» период, когда есть хороший ответ организма на ортодонтическое воздействие. В этом возрасте для лечения используют как несъемные аппараты: трейнеры, пластинки, Марко Росса, Хааса, лицевую маску, так и съемные, устанавливают функциональные аппараты, стимулирующие рост нижней челюсти, ведется контроль дыхания и работы языка.

На фото: примеры из практики коррекции дистального прикуса Ксении Пиксайкиной-Григорьевой
На фото: примеры из практики коррекции дистального прикуса Ксении Пиксайкиной-Григорьевой

По мнению Ксении Пиксайкиной, у взрослых людей лечение зависит от выраженности, но как правило, у них уже не будет направлено на рост, а исключительно на эстетику зубов и подготовку к рациональному протезированию. При легкой форме и среднюю форму коррекцию можно провести брекетами или элайнерами. Для коррекции положения челюстей уже используются брекеты в сочетании с ортодонтическими аппаратами, при тяжелой форме, когда проблема именно в костях, а не зубах, пациенту рекомендуется ортогнатическая операция. В практике часто применяется комплексный подход, когда человек получает консультации и лечение ортодонта, хирурга, оториноларинголога в сочетании с рекомендациями остеопата, а также обращается к врачу по общему состоянию здоровья: например, посещает невролога или кардиолога.

Источник: https://dzen.ru/a/aZhsgWSoZhASozSh