Добавить в корзинуПозвонить
Найти в Дзене
Gurev66

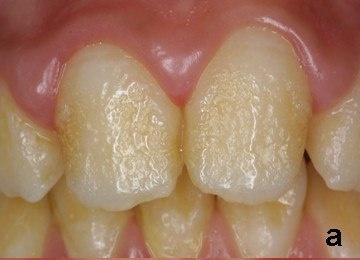
Несовершенный амелогенез нарушает процесс формирования эмали и затрагивает все зубы

Это генетическое заболевание приводит к тому, что эмаль становится мягкой, тонкой, неровной и склонной к скалыванию, стиранию и окрашиванию. Симптомы могут варьироваться от меловидных пятен и желтых или коричневых полос до хрупкой бороздчатой эмали, которая может быть частично или полностью отсутствующей. Причина этого состояния — наследственная ошибка в генах, не связанная с гигиеной или инфекциями. Проблема влияет не только на внешний вид: зубы становятся чувствительными, более подвержены кариесу, быстрее стираются и могут изменять форму. Новые зубы, прорезающиеся у таких пациентов, уже имеют признаки несовершенного амелогенеза

Несовершенный амелогенез нарушает процесс формирования эмали и затрагивает все зубы.

Это генетическое заболевание приводит к тому, что эмаль становится мягкой, тонкой, неровной и склонной к скалыванию, стиранию и окрашиванию.

Симптомы могут варьироваться от меловидных пятен и желтых или коричневых полос до хрупкой бороздчатой эмали, которая может быть частично или полностью отсутствующей.

Причина этого состояния — наследственная ошибка в генах, не связанная с гигиеной или инфекциями. Проблема влияет не только на внешний вид: зубы становятся чувствительными, более подвержены кариесу, быстрее стираются и могут изменять форму. Новые зубы, прорезающиеся у таких пациентов, уже имеют признаки несовершенного амелогенеза

-2