Найти Π² Π”Π·Π΅Π½Π΅

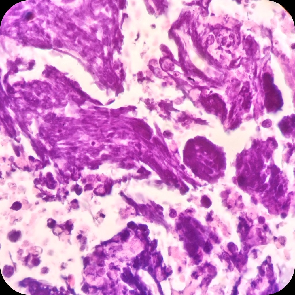
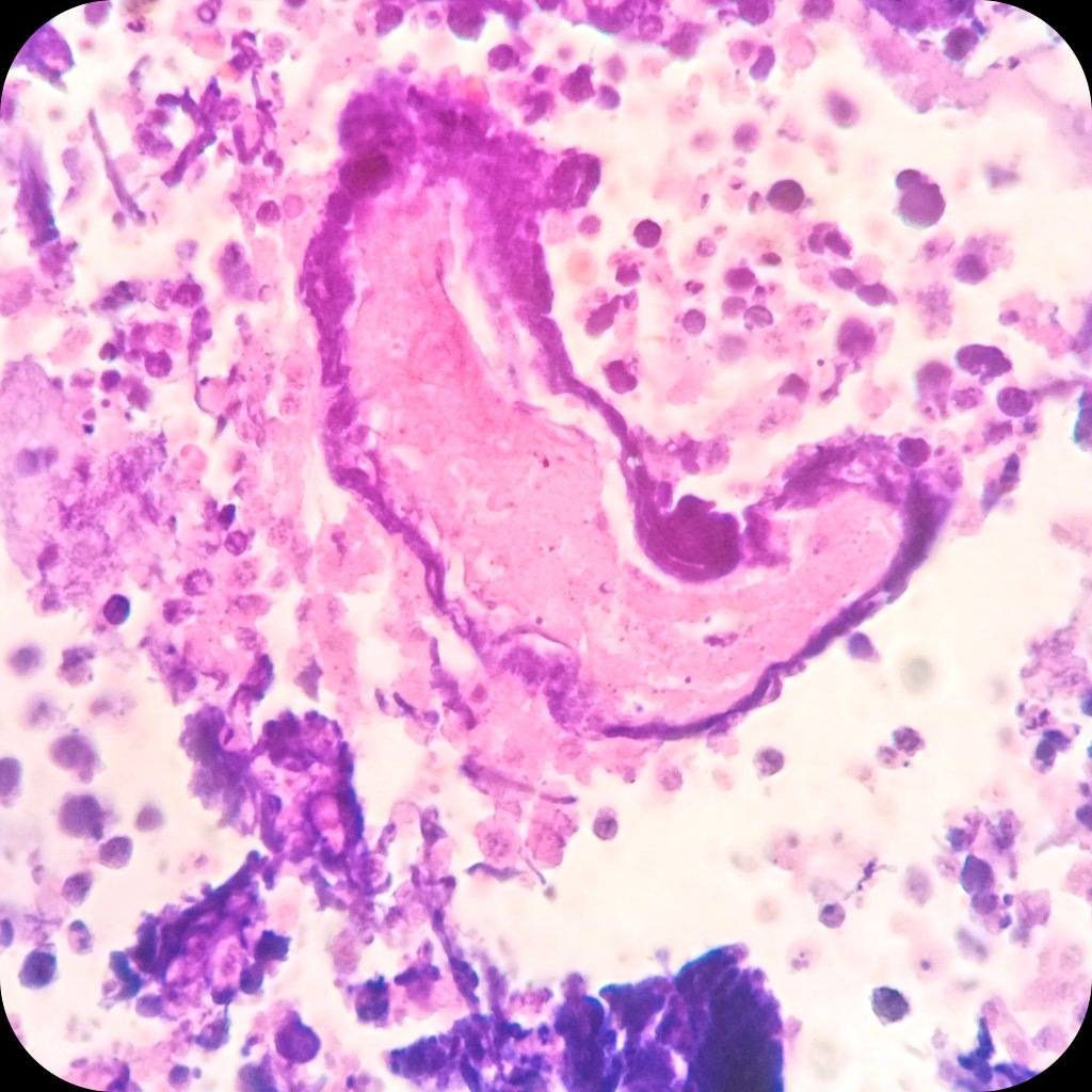
🫁 ΠžΠ±Ρ€Π°Π·ΠΎΠ²Π°Π½ΠΈΠ΅ Π² Π»Ρ‘Π³ΠΊΠΎΠΌ + ΡƒΠ²Π΅Π»ΠΈΡ‡Π΅Π½Π½Ρ‹ΠΉ срСдостСнный лимфатичСский ΡƒΠ·Π΅Π»

πŸ’‰ Π’Ρ€Π°Π½ΡΠ±Ρ€ΠΎΠ½Ρ…ΠΈΠ°Π»ΡŒΠ½Π°Ρ пункция ΠΏΠΎΠ΄ ΠΊΠΎΠ½Ρ‚Ρ€ΠΎΠ»Π΅ΠΌ ΡΠ½Π΄ΠΎΠ±Ρ€ΠΎΠ½Ρ…ΠΈΠ°Π»ΡŒΠ½ΠΎΠ³ΠΎ ΡƒΠ»ΡŒΡ‚Ρ€Π°Π·Π²ΡƒΠΊΠΎΠ²ΠΎΠ³ΠΎ исслСдования 🧱 ΠšΠ»Π΅Ρ‚ΠΎΡ‡Π½Ρ‹ΠΉ Π±Π»ΠΎΠΊ πŸ”¬ ΠœΠ΅Ρ‚Π°ΡΡ‚Π°Ρ‚ΠΈΡ‡Π΅ΡΠΊΠ°Ρ мСлкоклСточная ΠΊΠ°Ρ€Ρ†ΠΈΠ½ΠΎΠΌΠ°. ΠšΠ°Ρ‚Π΅Π³ΠΎΡ€ΠΈΡ 5 ΠΏΠΎ БиднСйской систСмС πŸŒ€ Π€Π΅Π½ΠΎΠΌΠ΅Π½ Аззопарди (ΠΎΡ‚Π»ΠΎΠΆΠ΅Π½ΠΈΠ΅ Π±Π°Π·ΠΎΡ„ΠΈΠ»ΡŒΠ½ΠΎΠ³ΠΎ Π”ΠΠšβ€‘ΠΌΠ°Ρ‚Π΅Ρ€ΠΈΠ°Π»Π° ΠΈΠ· Π½Π΅ΠΊΡ€ΠΎΡ‚ΠΈΠ·ΠΈΡ€ΠΎΠ²Π°Π½Π½Ρ‹Ρ… ΠΊΠ»Π΅Ρ‚ΠΎΠΊ Π½Π° стСнках кровСносных сосудов). #Π»Π΅Π³ΠΊΠΎΠ΅

🫁 ΠžΠ±Ρ€Π°Π·ΠΎΠ²Π°Π½ΠΈΠ΅ Π² Π»Ρ‘Π³ΠΊΠΎΠΌ + ΡƒΠ²Π΅Π»ΠΈΡ‡Π΅Π½Π½Ρ‹ΠΉ срСдостСнный лимфатичСский ΡƒΠ·Π΅Π»

πŸ’‰ Π’Ρ€Π°Π½ΡΠ±Ρ€ΠΎΠ½Ρ…ΠΈΠ°Π»ΡŒΠ½Π°Ρ пункция ΠΏΠΎΠ΄ ΠΊΠΎΠ½Ρ‚Ρ€ΠΎΠ»Π΅ΠΌ ΡΠ½Π΄ΠΎΠ±Ρ€ΠΎΠ½Ρ…ΠΈΠ°Π»ΡŒΠ½ΠΎΠ³ΠΎ ΡƒΠ»ΡŒΡ‚Ρ€Π°Π·Π²ΡƒΠΊΠΎΠ²ΠΎΠ³ΠΎ исслСдования

🧱 ΠšΠ»Π΅Ρ‚ΠΎΡ‡Π½Ρ‹ΠΉ Π±Π»ΠΎΠΊ

πŸ”¬ ΠœΠ΅Ρ‚Π°ΡΡ‚Π°Ρ‚ΠΈΡ‡Π΅ΡΠΊΠ°Ρ мСлкоклСточная ΠΊΠ°Ρ€Ρ†ΠΈΠ½ΠΎΠΌΠ°. ΠšΠ°Ρ‚Π΅Π³ΠΎΡ€ΠΈΡ 5 ΠΏΠΎ БиднСйской систСмС

πŸŒ€ Π€Π΅Π½ΠΎΠΌΠ΅Π½ Аззопарди (ΠΎΡ‚Π»ΠΎΠΆΠ΅Π½ΠΈΠ΅ Π±Π°Π·ΠΎΡ„ΠΈΠ»ΡŒΠ½ΠΎΠ³ΠΎ Π”ΠΠšβ€‘ΠΌΠ°Ρ‚Π΅Ρ€ΠΈΠ°Π»Π° ΠΈΠ· Π½Π΅ΠΊΡ€ΠΎΡ‚ΠΈΠ·ΠΈΡ€ΠΎΠ²Π°Π½Π½Ρ‹Ρ… ΠΊΠ»Π΅Ρ‚ΠΎΠΊ Π½Π° стСнках кровСносных сосудов).

#Π»Π΅Π³ΠΊΠΎΠ΅

-2