Найти в Дзене

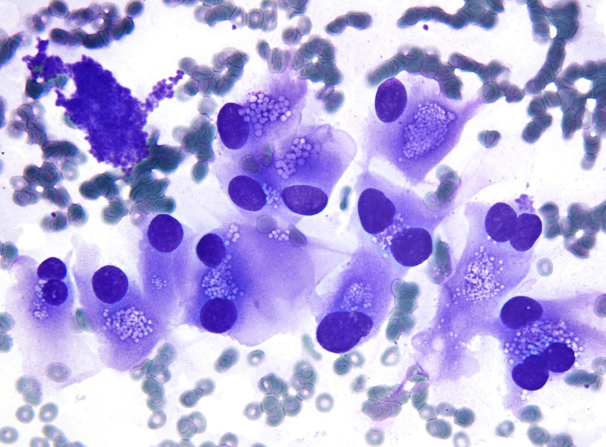
На данном материале пункционной аспирационной биопсии печени — НЕ метастатическая почечно‑клеточная карцинома

Представленная цитоморфологическая картина соответствует метастазу известной у пациента нейроэндокринной опухоли поджелудочной железы (НЭО ПЖ). В цитоплазме опухолевых клеток выявляются липидные вакуоли («мыльные пузыри»), которые часто встречаются при НЭО ПЖ (как в первичном очаге, так и в метастазах) и служат важным диагностическим признаком. #печень #цитология

На данном материале пункционной аспирационной биопсии печени — НЕ метастатическая почечно‑клеточная карцинома.

Представленная цитоморфологическая картина соответствует метастазу известной у пациента нейроэндокринной опухоли поджелудочной железы (НЭО ПЖ). В цитоплазме опухолевых клеток выявляются липидные вакуоли («мыльные пузыри»), которые часто встречаются при НЭО ПЖ (как в первичном очаге, так и в метастазах) и служат важным диагностическим признаком.

#печень #цитология