Найти в Дзене
ОМЦИП Екатеринбург

Интересный факт от стоматологии ОМЦИП

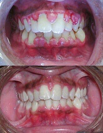
🦷 Знаете ли вы, что кровоточивость дёсен — это не «слабые сосуды», как думают многие? В стоматологии ОМЦИП мы каждый день видим: кровь при чистке зубов — это почти всегда первый признак гингивита, то есть воспаления дёсен. 👉 Интересный момент: если дёсны кровоточат, это значит, что бактерии уже раздражают ткани, и организм пытается защититься. И чем раньше вмешаться, тем проще и быстрее решается проблема. На ранней стадии гингивит: ✔️ полностью обратим, ✔️ лечится профессиональной гигиеной, ✔️ проходит за считанные дни при правильном уходе. А вот если игнорировать сигналы, воспаление может уйти глубже и привести к пародонтиту — даже при здоровых зубах без кариеса. В стоматологии ОМЦИП мы всегда говорим пациентам: 💡 дёсны не должны кровоточить — ни «иногда», ни «чуть-чуть». Регулярная профгигиена и корректная техника чистки помогают сохранить дёсны здоровыми и избежать серьёзного лечения в будущем. Берегите улыбку — стоматология ОМЦИП знает, как это сделать правильно 🤍 📱 OM

Интересный факт от стоматологии ОМЦИП 🦷

Знаете ли вы, что кровоточивость дёсен — это не «слабые сосуды», как думают многие?

В стоматологии ОМЦИП мы каждый день видим: кровь при чистке зубов — это почти всегда первый признак гингивита, то есть воспаления дёсен.

👉 Интересный момент:

если дёсны кровоточат, это значит, что бактерии уже раздражают ткани, и организм пытается защититься. И чем раньше вмешаться, тем проще и быстрее решается проблема.

На ранней стадии гингивит:

✔️ полностью обратим,

✔️ лечится профессиональной гигиеной,

✔️ проходит за считанные дни при правильном уходе.

А вот если игнорировать сигналы, воспаление может уйти глубже и привести к пародонтиту — даже при здоровых зубах без кариеса.

В стоматологии ОМЦИП мы всегда говорим пациентам:

💡 дёсны не должны кровоточить — ни «иногда», ни «чуть-чуть».

Регулярная профгигиена и корректная техника чистки помогают сохранить дёсны здоровыми и избежать серьёзного лечения в будущем.

Берегите улыбку — стоматология ОМЦИП знает, как это сделать правильно 🤍

📱 OMCIP | Чисто по зубам