Найти в Дзене

Благодаря совместным усилиям тюменских врачей удалось спасти женщину

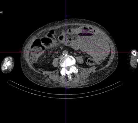
В Радиологический центр Медицинского города родственники привезли 67-летнюю пациентку на плановое обследование — сцинтиграфию скелета. За четыре дня до этого в другой медицинской организации женщина прошла компьютерную томографию брюшной полости и малого таза, где заподозрили злокачественную опухоль сигмовидной кишки. Врач - радиолог отделения радионуклидной терапии и диагностики Радиологического центра Медицинского города заметил несоответствие тяжести состояния пациентки предполагаемому диагнозу. А по результатам проведенного исследования признаков костных метастазов он не обнаружил. В результате, пациентке провели дополнительное обследование. «Первое, что бросилось в глаза — это жидкостное образование с пузырьками и газами слева в брюшной полости, что указывало на наличие большой гнойной полости — абсцесса. Источником данного состояния стала перфорация опухоли сигмовидной кишки», - заключила врач-рентгенолог Татьяна Семенова. По ее словам, при этом отдаленных метастазов данной опухо

В Радиологический центр Медицинского города родственники привезли 67-летнюю пациентку на плановое обследование — сцинтиграфию скелета. За четыре дня до этого в другой медицинской организации женщина прошла компьютерную томографию брюшной полости и малого таза, где заподозрили злокачественную опухоль сигмовидной кишки.

Врач - радиолог отделения радионуклидной терапии и диагностики Радиологического центра Медицинского города заметил несоответствие тяжести состояния пациентки предполагаемому диагнозу. А по результатам проведенного исследования признаков костных метастазов он не обнаружил. В результате, пациентке провели дополнительное обследование.

«Первое, что бросилось в глаза — это жидкостное образование с пузырьками и газами слева в брюшной полости, что указывало на наличие большой гнойной полости — абсцесса. Источником данного состояния стала перфорация опухоли сигмовидной кишки», - заключила врач-рентгенолог Татьяна Семенова.

По ее словам, при этом отдаленных метастазов данной опухоли в другие органы и ткани не обнаружено. Это говорит о том, что тяжесть состояния пациентки обусловлена именно массивным воспалительным процессом.

Незамедлительно была вызвана бригада скорой помощи и уже через 5 минут коллеги забрали женщину в дежурный хирургический стационар Областной клинической больницы №1, где женщину экстренно прооперировали.

«Без экстренного хирургического вмешательства в любой момент абсцесс мог вскрыться, что привело бы к разлитому гнойному перитониту, септическому шоку и летальному исходу. Мы благодарим коллег за оперативность и оказанную помощь женщине с такой серьезной патологией», - добавила Татьяна Анатольевна.

Благодаря совместным усилиям тюменских врачей и их быстрой реакции на критические состояния пациентка получила шанс на выздоровление и возвращение к полноценной жизни.

Надежда Унгефуг