Добавить в корзинуПозвонить
Найти в Дзене

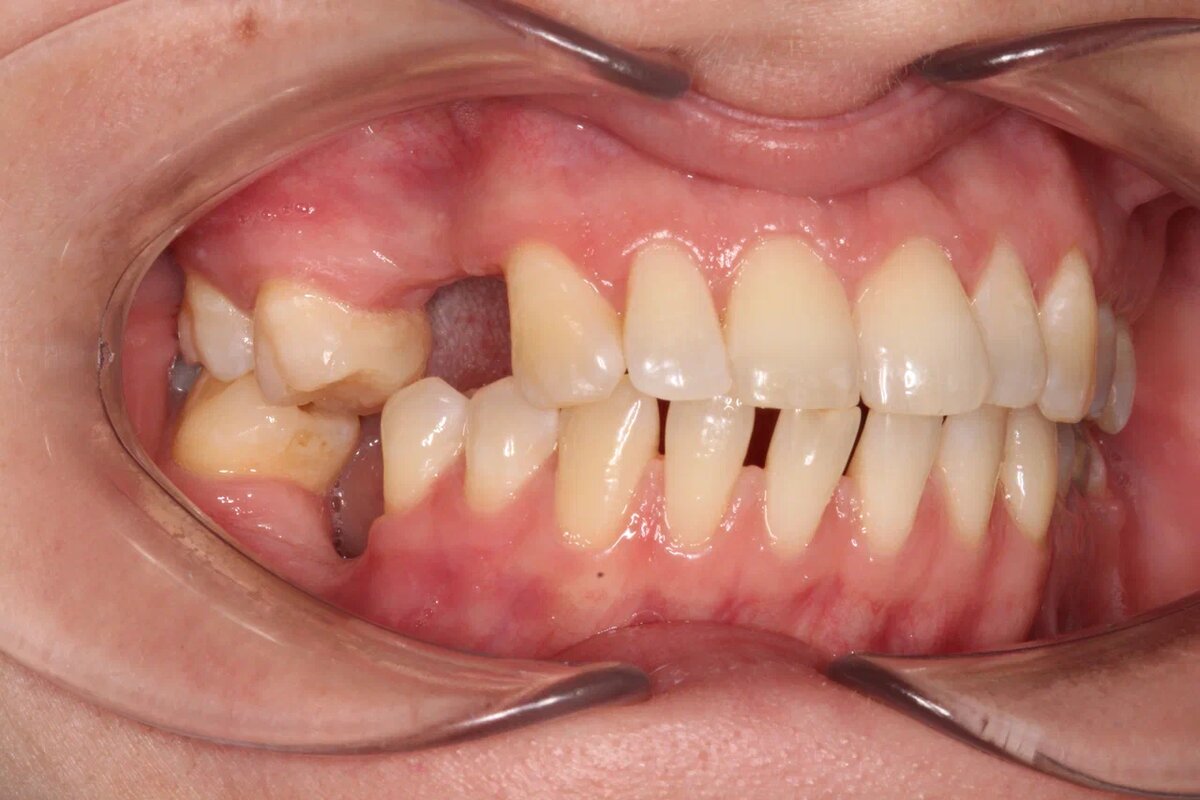
Ходить с недоделанным ртом - страшный сон любого пациента. "А вдруг влезу в лечение зубов и не потяну в итоге"...

Подозреваю, что такого сценария опасаются многие. Откровенно говорю, мы не клиника эконом-класса. Факт. При этом нас выбирают люди разных профессий, разных возрастов, разных возможностей. Все этапы лечение у нас продуманы так, чтобы пациент мог сделать передышку, если ему это комфортно в плане финансовой нагрузки. Именно поэтому у нас получают классный результат. Эту работу мы могли закончить летом 24-го года, а завершили в январе 26-го. Так было удобно пациенту. И, заметьте, на качестве и красоте улыбки отсрочка никак не сказалась. Начали в декабре 22-года терапевтически готовить рот к коррекции прикуса, по рекомендации ортодонта в марте 23-го удалили зубы мудрости и 1-го апреля зафиксировали брекет-систему. Начался наш путь от странного смыкания к здоровому и спасению зубов, которые были ненадежны по разным причинам. Спустя полгода от начала ортодонтического лечения устанавливаем импланты справа вверху и сразу коронуем их временными реставрациями. Оздоровление прикуса продолжается, и

Подозреваю, что такого сценария опасаются многие. Откровенно говорю, мы не клиника эконом-класса. Факт. При этом нас выбирают люди разных профессий, разных возрастов, разных возможностей. Все этапы лечение у нас продуманы так, чтобы пациент мог сделать передышку, если ему это комфортно в плане финансовой нагрузки. Именно поэтому у нас получают классный результат.

-2

Эту работу мы могли закончить летом 24-го года, а завершили в январе 26-го. Так было удобно пациенту. И, заметьте, на качестве и красоте улыбки отсрочка никак не сказалась.

Начали в декабре 22-года терапевтически готовить рот к коррекции прикуса, по рекомендации ортодонта в марте 23-го удалили зубы мудрости и 1-го апреля зафиксировали брекет-систему. Начался наш путь от странного смыкания к здоровому и спасению зубов, которые были ненадежны по разным причинам.

Спустя полгода от начала ортодонтического лечения устанавливаем импланты справа вверху и сразу коронуем их временными реставрациями. Оздоровление прикуса продолжается, импланты в это время приживаются.

В июне 24-го достигли правильного прикуса, удалили зуб слева внизу по показаниям и взяли ту самую паузу, которая была необходима нашему пациенту. Полость рта санирована, прикус здоровый, импланты интегрировались. Отпускаем девушку на стоматологические каникулы👌

А теперь следите “за руками”.

👌В феврале 25-го фиксируем постонные керамические реставрации ни нижних зубах.

👌Снова каникулы.

👌Летом 25-го перешли к верхним зубам и передали пациентку в руки пародонтолога для закрытия рецессий десны.

👌И снова перерыв.

👌Зимой 25-го устанавливаем постоянные коронки на импланты. 6 января торжественно постановил, что улыбка прекрасна и пациентке она невероятно идёт.

-5

Мы умеем создавать возможность пациенту лечиться в комфортном для него режиме. И при этом получаем то качество смыкания, эстетики и вообще зубных рядов, которые мы на старте закладываем как наиболее здоровую и идеальную улыбку конкретно для этого пациента.