Найти в Дзене

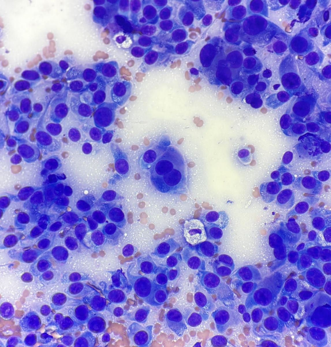
Метастатическое поражение мягких тканей меланомой

Окрашивание по Романовскому-Гимзе. Объектив 100x. #цитология #меланома #кожа

Метастатическое поражение мягких тканей меланомой. Окрашивание по Романовскому-Гимзе. Объектив 100x.

#цитология #меланома #кожа