Найти в Дзене

Опять удалили все зубы? НЕТ. Не удалили, восстановили!

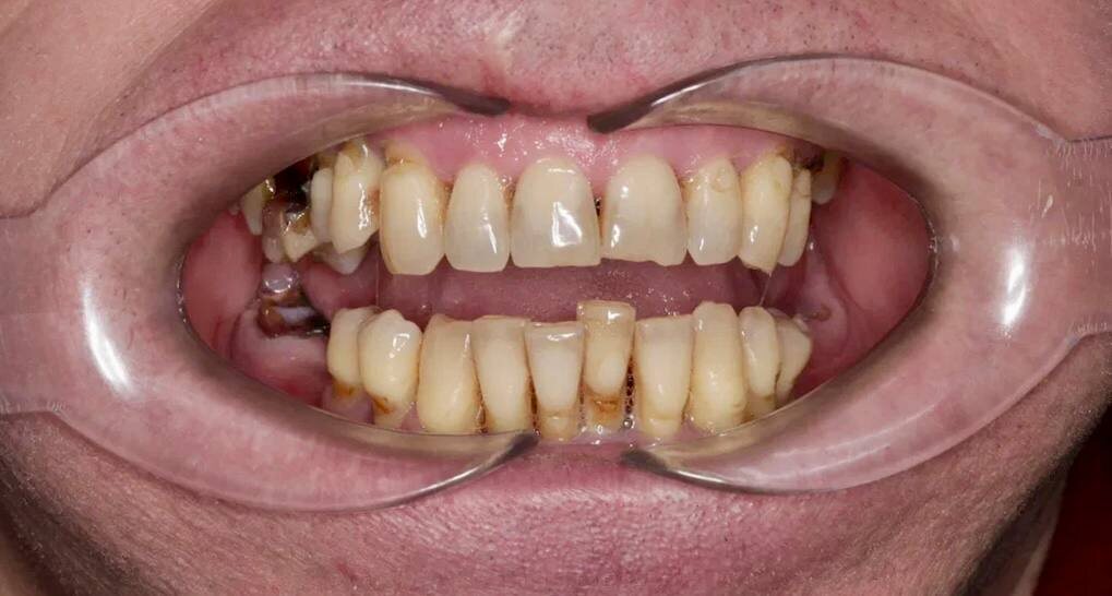
Зачем опять удалять зубы, если они вроде бы ещё нормальные? Так может показаться, если смотреть только на улыбку. Но диагностика никогда не ограничивается внешним осмотром. По результатам КТ-диагностики у пациента, Валерия Ивановича, были выявлены: — подвижность зубов, не выдерживающих жевательную нагрузку — прогрессирующий пародонтит с разрушением костной ткани — выраженные костные дефекты, исключающие возможность сохранения зубов Визуально зубы ещё выглядели «своими», но по факту уже не выполняли функцию, более того, стали источником хронического воспаления и дискомфорта. Гарибян Эдгар Артурович, стоматолог-хирург, пародонтолог, кандидат медицинских наук, рекомендовал провести имплантацию по усовершенствованной методике All-on-4 на обоих челюстях. Срок лечения 3 дня! 1. Диагностика и консультация имплантолога 2. Удаление несостоятельных зубов, установка имплантов во сне 3️. Фиксация постоянных зубов 📲 Узнайте реальное состояние ваших зубов и все возможные варианты. Запишитесь на бес

Зачем опять удалять зубы, если они вроде бы ещё нормальные? Так может показаться, если смотреть только на улыбку. Но диагностика никогда не ограничивается внешним осмотром.

По результатам КТ-диагностики у пациента, Валерия Ивановича, были выявлены:

— подвижность зубов, не выдерживающих жевательную нагрузку

— прогрессирующий пародонтит с разрушением костной ткани

— выраженные костные дефекты, исключающие возможность сохранения зубов

Визуально зубы ещё выглядели «своими», но по факту уже не выполняли функцию, более того, стали источником хронического воспаления и дискомфорта.

Гарибян Эдгар Артурович, стоматолог-хирург, пародонтолог, кандидат медицинских наук, рекомендовал провести имплантацию по усовершенствованной методике All-on-4 на обоих челюстях.

Срок лечения 3 дня!

1. Диагностика и консультация имплантолога

2. Удаление несостоятельных зубов, установка имплантов во сне

3️. Фиксация постоянных зубов

📲 Узнайте реальное состояние ваших зубов и все возможные варианты. Запишитесь на бесплатную консультацию (очно или онлайн) по номеру +7 (495) 463-24-34.