Добавить в корзинуПозвонить
Найти в Дзене
Белка в позе

Смена 06.02.26

Здравствуйте🤝
Опять ночью плохо спала, в два случился ночной "дожор", водичкой не обошлась, в шесть утра завозились собаки. Пришлось вставать. Что там этот сон на час, из которого еще минут тридцать будем укладываться?
Одно радует, что завтра торопиться никуда не надо, заодно и высплюсь.
Надеюсь, что сегодня точно работы будет минимум, уде я подустала от однообразных пациентов, упал, упала,

Здравствуйте🤝

Опять ночью плохо спала, в два случился ночной "дожор", водичкой не обошлась, в шесть утра завозились собаки. Пришлось вставать. Что там этот сон на час, из которого еще минут тридцать будем укладываться?

Одно радует, что завтра торопиться никуда не надо, заодно и высплюсь.

Надеюсь, что сегодня точно работы будет минимум, уде я подустала от однообразных пациентов, упал, упала, ударили, сбили.

Да, мне жалко пациентов, которые оказываются в ненужное время и в ненужном месте, неудачное стечение обстоятельств, не более, и я искренне не желаю оказаться ни вам, ни себе, ни вашим и моим близким в роли пациентов травматологии.

*******************

Пришла на работу, а точнее прилетела на крыльях в предвкушении выходных.

Сл смены уходили Ульяна и Лина, но с ними я сейчас бесед дружеских(в кавычках) не поддерживаю, просто поздоровалась.

А раньше спросишь, как дежурство прошло, и девчонки в подробностях расскажут, как ночь отстояли или отоспали). Ночью же очень редко удается отдежурить спокойно. Кому-то да прилетит счастье, в виде неадекватных пациентов или мультисъемки маломобильных.

******************

На планерке тоже снова тихо, да и хорошо,хуже, когда и жалобы и аппараты сломанные и проверки намечаются или прочие неприятности.

Вышла после длительного больничного моя и наша любимая Михална! Затяжная пневмония, с осложнениями, но она , наконец-то в строю.

Дежурств ей дали пока по минимум, знаете, возраст все-таки.

Но, в смене в день я, Михална, София Олеговна и Карина.В ночь приедет кто-то.

Посидели, подумали, как работать, решили, что час на три, из-за Михалны. Я бы, как раньше, забрала б ее час, если условились работать два на шесть, а смысла теперь не вижу.

Меня, конечно, определили первой, но с Соней я договорилась, что за нее отработаю, а она с четырех до пяти заберет время себе.

*****************

С 8 до 9.

Дюнь-дюнь, дюнь-дюнь.

Пошла открывать дверь.

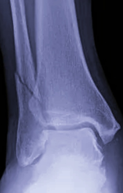
-Здравствуйте, мне на снимок, -протянула направление пациента.

Да, вижу, голеностоп.

–А проходите, только радуйтесь, и на вот это стол усаживайтесь, ногами к двери. Что с вами случилось?

–Да вчера вечером во дворе ногу подвернула, с работы шла, не чистят дворы у нас.

–У нас тоже, кстати, ну и что дальше? Чего ждали?

–Так когда пройдет, холод приложила, всю ночь меняла, обезболивающее приняла, а утром– почти не хожу,на работу стала собираться. Муж и привез сюда, а на работе я сказала, что задержусь.

Оз, не факт, что задержится. Сильно опух сустав и нога, но , снимок покажет.

Показал:

-2

–Все, вставайте, ногу правую не обувайте, и тихонько идите обратно.

–Перелом? –поняла пациентка.

–Он самый, давайте сейчас аккуратно. С вами муж?

–Да, в машине ждет.

–Тогда сделаем так, я вас на сидячую каталку посажу и увезу, а он пусть из машины за вами поднимается. Ждите, сейчас я быстро сбегаю.

–Ой, спасибо вам большое!

–Да пожалуйста.

********************

–Могу я зайти?-подошла к двери пациентка, но я катила предыдущую обратно в приемник.

–Ожидайте, я сейчас вернусь.

–Хорошо.

–Давайте направление, что у вас? –вернулась я обратно.

–Да рука.

–Проходите, локоть, да?

–Да, –задрала пациентка водолазку. –Видите, какой синяк?

–Конечно, вижу. Только, он не вчерашний же?

–Нет, в понедельник ушибла об дверцу шкафа.

–Усаживайтесь, сделаем снимки.

Я вижу и так, что она суставом вертит неплохо, но положено ж!

Отснимала локтевой и отправила назад. Тщательно выводила проекции, мало ли, но травматологи не увидели данных за свою патологию.

******************

Сменила меня Карина:

–Иди, отдохни, поешь. Много было?

–Да не очень, пара и была.

Пошла позавтракала, Михална мирно дремала под разговаривающий телевизор, а Соня в телефоне копалась.

Поела, потом на обязательную ингаляцию, вернулась обратно в сестринскую–приемник пустует.

Зато дверь нашего кабинета открылась, из нее, можно сказать, почти выпал человек и всегда сдержанная и вежливая Карина ему сказала:

–Ну и иди тогда туда, откуда пришел, там и объясни, что тебе рентген никуда не упал!

–На@@@@, да вы все!

–Карин, что, ругается?

–Да не говори! Начал на меня орать, мол, мне зачем рентген, да я не хочу, и детей у меня еще нет, а я хочу здоровых...

–Бедняга, наверное сегодня овуляция у него!

–И правда.

Пациент, шатаясь и держась за голову пошел к выходу.

Больше не вернулся.

*******************

С 10 до 11.

По- немногу, но народ идет, хоть детей нет и то хорошо.

Каталку из приемника привезла санитарка Юля. Голову и легкие назначили.

Пациент нетрезв, но не сильно, контактный.

–Давайте кофту и футболку снимайте, –скомандовала я.

–Это жачем? –шепелявя, спросил пациент. Мужчина, 45 лет.

–Легкие надо снять.

–Щачем?

–Ну откуда мне знать? Назначили. Что вообще случилось?

–Упал?

–Куда или откуда?

–Не жнаю.

–Почему??

–Я домой пришел, а жена на меня напала, по личу била, а потом с лештничы щбросила.

👀

Губа у него распухла на глазах просто.Нос тоже.

–По челюсти вас била?По носу?

—Не помню.

Челюсть у лежачего пациента особо не видно, а кости носа очень видно, сломаны.

Мне самой интересно стало, от удара или от падения? 🤔

Его чуть позже на кт откатали, подапоневротическая гематома, перелом носа.

Заглянул полицейский, наш который.

–А Бушматов где?

–На КТ отвезли, привезут, как сделают. А его правда жена избила?

–Да пока не знаю, передали, что избит просто, а уж что он расскажет–послушаем.

******************

Бабулечка пришла, 87 лет, на снимок лучезапястного.

–Проходите, упали?

–Да, на улице скользко.

–Ну а вам зачем в гололед выходить нужно было?

–В магазин, не дошла, на крыльце у подъезда и шлепнулась.

Да , неудачно упала, сломала лучевую кость.

-3

И косточки такие порозные уже.

Вряд ли остеосинтез предложат.

Загипсовали и выписали по месту жительства.

*********************

Меняет меня Михална. Я раньше ей всегда помогала по работе, понимая, что возраст, и внимание уже не то, а сейчас молча вышла.

Мне ее , конечно, через час менять, и очередь из людей скопится, но, я лучше побегаю, снимая пациентов, чем помогу тем, кто не имеет своего мнения, будучи в возрасте и имея регалии.

Карина ушла куда-то, Соня , хоть и хорошая девочка, но сегодня не в настроении, лежит в основном, в телефон уставивившись.

******************

Я тоже занялась своими делами, есть у меня.

И к 12 я подошла к кабинету и обомлела.

Две каталки и три человека сидят на стульях.

Как думаете, сколько за час в соло приняла Михална? Кто ставил на три, тот угадал😂

Ничего я не сказала, но лицом потемнела.

Я бы сгорела со стыда так работать, за между прочим неплохие деньги и непыльную работу, но они не я.

Позвала себе в помощь нашу санитарку:

–Светик, пошли закатим каталку.

–Да пошли, конечно!

Закатили каталку с бабулей, переводная , легкие и таз.

Сломана шейка бедра. Ушло на два снимка десять минут.

******************

На второй каталке мужчина,47 лет, на снимок головы и шеи.

–Что случилось? –спросили мы, подкатывая каталку под луч

–На меня сугроб упал с крыши.

–Ну , вот , платим коммунальщикам, а за что?

Череп сняли лёжа , а на шейный отдел посадили, правда пациент жаловался, что сильно голова кружится.

Сняли-вывезли, следующий!

********************

Мальчик, 12 лет, в школе побили.

–Справа или слева больше били? –спросила мальчика, оглядывая без характерных отметок голову.

–Вот тут болит, –прикоснулся он к левой стороне.

–За что побили?

–Ни за что,-буркнул маленький пациент.

–Все замри и не шевелись!

Вывела к маме, сопровождающей его.

–Обратно проходите.

–А нам снимки нужны,у нас "криминальная " травма –сказала мама.

–Снимки у нас цифровые, если хотите , то можно на диск записать, приносите диск в приемник, у вас возьмут, запишут и на следующий день отдадут.

–На диск....На флешку нельзя? Что за древний обычай?

–Не такой уж древний! –парировала я. –Там бы только на пергаменте и голубиной почтой.

Посмеялась.

–Ладно, соображу, спасибо!

****************

На контроль пришел пациент со спицами.

Этого вообще быстро сняла.

–Вам спицы поставили?

–Ну да.

-А где палецы сломали?Еще и все четыре.

–Не поверите, капот мне жена по руке закрыла. Хоть неплотно, но хватило, вот теперь пусть сама работает!

-4

–А мизинец пока не стали делать?

–Сказали, что позже, сделают.

Интересно, почему ?

-5

Вот нашла снимок до. Да у мизинца смещение минимальное, репозицию пока сделали обычную, без остеосинтеза.

*******************

Меня Карина сменила, и я ушла отдохнуть.

Соня лежала на кушетке, укутавшись в кофту.

–Сонь, норм все? –тихо спросила я. –Ты не заболеваешь?

–Норм все. Ты можешь с двух до трех за меня еще взять и отработать? –каким-то безразличием спросила она.

–Могу, ну а что случилось, собственно? –занервничала я. –Ты заболеваешь?

–Да, мне нехорошо.

–Давай я в аптеку сбегаю, может порошок какой возьму?

–Нет! –резко поднялась она. –Дай мне просто полежать!

–Хорошо, лежи, я отработаю, а дальше, как хочешь , но приходи в себя.

–Хорошо, –безучастно согласилась она и отвернулась к стене.

******************

С 14 до 15.

Пациенты шли , не стесняясь. С любыми ушибами всех мастей. Если честно, то на восьмом пациенте за час мне стало неинтересно, где и как он получил травму. Самое интересное, у всех травмы без переломов.

Без десяти три пришла Михална:

–Давай я поснимаю, а ты повноси, –предложила она.

–Не нужна мне подмога, я в соло справлюсь, –не поблагодарив, ответила я.

Да, возможно и дерзковато, но за отношение нужно платить. И за хорошее и за плохое.

И цену я теперь работникам знаю. Особенно нашей сестре хозяйке Барановой. Неожиданно, но именно она оказалась той гаванью, о которой говорили, что туда нельзя швартоваться. Обманули, как всегда. Замечательная женщина, да, с характером, но не с камнем за пазухой. И очень неглупая. С такими и нужно иметь дело.

*****************

В 15 вышла молча из кабинета, зашла в сестринскую. Соня уже сидела.

–Сонечка, ты помнишь, что с четырех ты работаешь? Я и так два часа ща тебя отработала.

–Да, помню, мне уже лучше.

Ну а я, досидела до того времени, когда без зазренья совести можно уходить на выходные!

******************

Завтра клиентку красить пойду, это тоже на полдня, но, хоть деньги)

Всем хороших выходных✌️