Найти в Дзене
N + 1

Две огромные опухоли в животе у беременной итальянки оказались лейомиомами

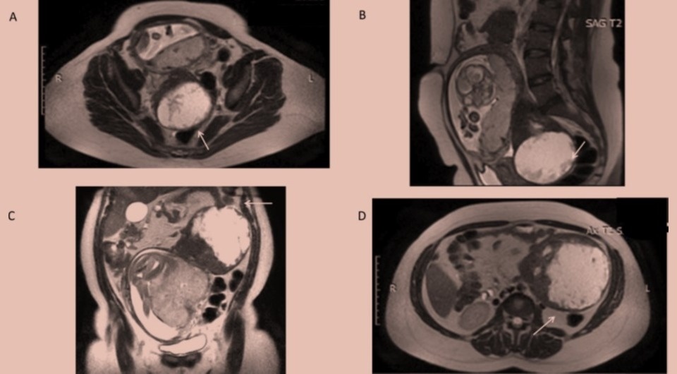
Итальянские хирурги обнаружили две крупные лейомиомы матки у пациентки на 21 неделе беременности. Одна из них располагалась под диафрагмой и мешала женщине дышать, а вторая занимала Дугласово пространство, что могло привести к нарушениям во время родов. Верхнюю опухоль вырезали, а нижнюю оставили из-за высоких акушерских рисков. Здоровый ребенок родился в срок с помощью кесарева сечения. Случай описан в BMJ Case Reports. Диагностика и лечение объемных образований в брюшной полости значительно ограничены во время беременности. Для визуализации этой области доступны только ультразвуковые исследования и магнитно-резонансная томография, при этом анализы крови на опухолевые маркеры могут быть неинформативны. Хирургическое лечение таких опухолей представляет большой риск как для матери, так и для плода, однако и выжидательная тактика может привести к патологиям беременности и родов. К команде врачей под руководством Розальбы Де Нолы (Rosalba De Nola) из Университета Бари обратилась беременна
  Rosalba De Nola et al. / BMJ Case Reports, 2026
Rosalba De Nola et al. / BMJ Case Reports, 2026

Итальянские хирурги обнаружили две крупные лейомиомы матки у пациентки на 21 неделе беременности. Одна из них располагалась под диафрагмой и мешала женщине дышать, а вторая занимала Дугласово пространство, что могло привести к нарушениям во время родов. Верхнюю опухоль вырезали, а нижнюю оставили из-за высоких акушерских рисков. Здоровый ребенок родился в срок с помощью кесарева сечения. Случай описан в BMJ Case Reports.

Диагностика и лечение объемных образований в брюшной полости значительно ограничены во время беременности. Для визуализации этой области доступны только ультразвуковые исследования и магнитно-резонансная томография, при этом анализы крови на опухолевые маркеры могут быть неинформативны. Хирургическое лечение таких опухолей представляет большой риск как для матери, так и для плода, однако и выжидательная тактика может привести к патологиям беременности и родов.

К команде врачей под руководством Розальбы Де Нолы (Rosalba De Nola) из Университета Бари обратилась беременная женщина около 40 лет на 21 неделе беременности (индекс массы тела 33) с жалобами на сильную и острую боль в животе в левом верхнем квадранте и области малого таза, которая сопровождалась легкой одышкой. Плановые скрининги не выявили никаких отклонений в первом и втором триместрах беременности. Первичный осмотр не показал нарушений жизненных показателей, однако размер живота был больше, чем ожидалось для данного срока. При его пальпации врачи обнаружили туго-эластичное объемное образование в верхнем левом квадранте размером около 18 сантиметров.

Бимануальное влагалищное исследование выявило еще одно неподвижное образование в Дугласовом пространстве размером около девяти сантиметров. Анализ крови указал на наличие железодефицитной анемии. При ультразвуковом исследовании врачи обнаружили два больших кистозных образования с ровными краями и периферической васкуляризацией.

Верхняя опухоль на ножке имела размеры 18 × 12 × 7 сантиметров и простиралось от левой поддиафрагмальной области до дна матки. Нижнее образование размерами 9,5 × 8 × 8 сантиметров было тесно связано с задней стенкой матки. Уровень опухолевого маркера CA-125 был повышен, причем за две недели до этого он был в норме. Магнитно-резонансная томография показало толстые стенки у обоих новообразований и неоднородную жидкость в них.

Из-за ухудшения клинического состояния, необходимости постановки окончательного диагноза и высоких акушерских рисков хирурги решили провести операцию на брюшной полости через открытый доступ. Верхнее образование, которое представляло собой огромную, на ножке, атипичную кистозную и туго-эластичную лейомиому матки, вырезали, а нижнюю опухоль, исходившую из задней стенки матки, хирурги решили не трогать во избежание повреждения матки и плода.

  Rosalba De Nola et al. / BMJ Case Reports, 2026
Rosalba De Nola et al. / BMJ Case Reports, 2026

Пациентку выписали без осложнений через десять дней после операции. Гистологическое исследование подтвердило миомную природу обеих опухолей. Поскольку нижняя опухоль представляла бы собой препятствие для прохода головки плода по родовым путям, акушеры назначили плановое кесарево сечение. Ребенок родился здоровым, а оставшаяся лейомиома спонтанно уменьшилась в размерах.

Ранее мы рассказывали, что миомы матки повышают риск сердечно-сосудистых заболеваний в течение десяти лет после постановки диагноза.