Добавить в корзинуПозвонить
Найти в Дзене

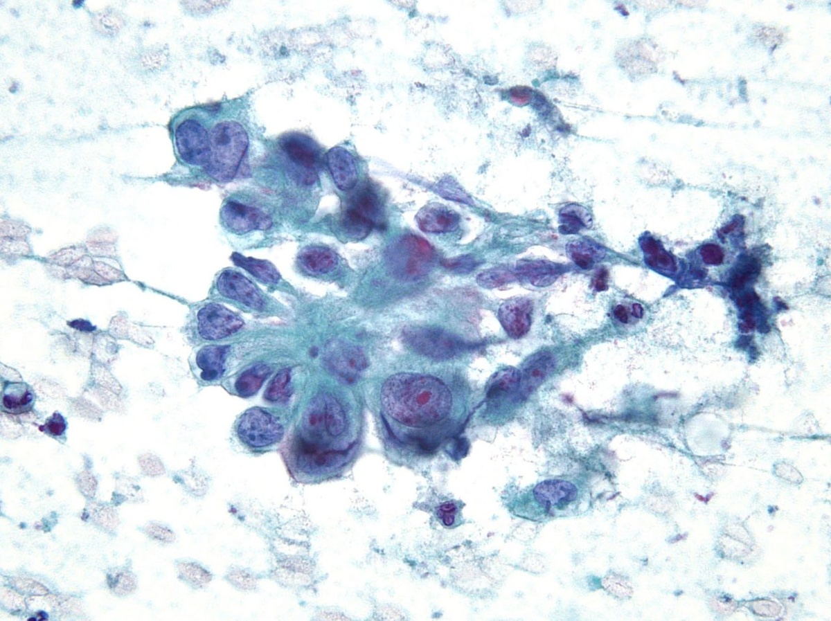
Пункционная аспирационная биопсия пахового лимфатического узла у молодой пациентки

Окрашивание по Папаниколау. Объектив 100x. Цитоморфологическая картина (с классическими одиночными ядрышками типа вишнево‑красного цвета) соответствует метастатической аденокарциноме. При иммуноцитохимическом исследовании клеточного блока выявлена диффузная позитивная экспрессия белка p16, что согласуется с известным первичным очагом в эндоцервиксе у данной пациентки. Последний пап-тест — положительный. #цитология #ицх

Пункционная аспирационная биопсия пахового лимфатического узла у молодой пациентки. Окрашивание по Папаниколау. Объектив 100x.

Цитоморфологическая картина (с классическими одиночными ядрышками типа вишнево‑красного цвета) соответствует метастатической аденокарциноме.

При иммуноцитохимическом исследовании клеточного блока выявлена диффузная позитивная экспрессия белка p16, что согласуется с известным первичным очагом в эндоцервиксе у данной пациентки. Последний пап-тест — положительный.

#цитология #ицх

-2
-3