Найти в Дзене
Parodoctor

4 огромных скуловых имплантата (зигомы) в одном человеке спустя 2.5 года. Пожалела ли мама, что после 70 лет решилась на сложную операцию

Про скуловые имплантаты (зигомы), установленные моей маме, я писала статью в феврале 2024 года. Четыре длиннющие штуки удерживают протез на верхней челюсти. На нижней же установлены имплантаты после репозиции нерва. Прошло два с половиной года после операции. Пришло время рассказать и показать, как дела сейчас. И заодно напомнить историю, как мама докатилась до терминальной стадии имплантации - до зигом. Потому что эта история поучительная и, к сожалению, не уникальная. На заре имплантологии в России маму угораздило установить вместо всех своих зубов "зубы" титановые. Были ли показания? Какие-то точно были. Но требовалось ли удаление всего - никогда не узнаю. Я только начала учиться в университете в другом городе и проконтролировать действия родителей не могла. Да и разве я в те времена соображала? Нет, конечно. Толку от меня было, как от козла молока. Областной центр, частная стоматологическая клиника. Цифра, сканер, шаблоны - окститесь, ничего такого и впомине не было! Работали, как
Оглавление

Про скуловые имплантаты (зигомы), установленные моей маме, я писала статью в феврале 2024 года. Четыре длиннющие штуки удерживают протез на верхней челюсти. На нижней же установлены имплантаты после репозиции нерва.

Прошло два с половиной года после операции. Пришло время рассказать и показать, как дела сейчас. И заодно напомнить историю, как мама докатилась до терминальной стадии имплантации - до зигом. Потому что эта история поучительная и, к сожалению, не уникальная.

Имплантация на заре эпохи - как мама потеряла все зубы и всю кость

На заре имплантологии в России маму угораздило установить вместо всех своих зубов "зубы" титановые.

Были ли показания? Какие-то точно были. Но требовалось ли удаление всего - никогда не узнаю. Я только начала учиться в университете в другом городе и проконтролировать действия родителей не могла. Да и разве я в те времена соображала? Нет, конечно. Толку от меня было, как от козла молока.

Областной центр, частная стоматологическая клиника. Цифра, сканер, шаблоны - окститесь, ничего такого и впомине не было! Работали, как умели. Экспериментировали, нарабатывали опыт, узнавали на практике, как надо делать, а как - не надо.

Эпопея длилась долго. Что-то наращивали, что-то шили. Коронки, протезы - долго сдавали, как сейчас помню. А потом, может через год, через два ли (точно не помню) - стало распухать лицо. Пятна появлялись, воспаление, ужас!

Не буду погружаться в негативные воспоминания. Скажу одно - по итогу в экстренном порядке повыдёргивали всё. Травматично очень. Остатки своих зубов и имплантаты... От альвеолярных костей не осталось, практически, ничего.

Жизнь без зубов - съёмные протезы, которые не держатся

После этого мама носила съёмные протезы. "Носила" - громко, конечно, сказано. Они лежали во рту, как парички. Не держались, не функционировали, мешали жить, мешали есть. Вообще есть было сложно и больно - с протезами, без протезов. Да, бывает и такое мучение при серьёзных атрофиях. А ещё она стеснялась улыбаться, была грустная и угасала на глазах.

Проблема была в том, что никто за неё не брался. Предлагали какие-то космические варианты (и дело даже не в стоимости), все с вероятностью на успех в пропорции 50/50. Классическая имплантация невозможна - кости нет. Наращивать? Объём дефицита такой, что ничего не прирастет.

Скуловые имплантаты (зигомы) и репозиция нерва - когда классические варианты невозможны

Со временем у меня появилась своя клиника, в ней уже работал опытный хирург-имплантолог, который занимался тотальными имплантологическими работами в клинике, я видела его работу напрямую - присутствовала на операциях. Он посмотрел КТ, осмотрел маму. Сказал прямо и честно - классические имплантаты на верхней челюсти при таких дефицитах не установить. Никак. А на нижней челюсти кости настолько мало, что мешает нижнечелюстной нерв. Нужна его тотальная репозиция - перемещение нерва, чтобы освободить место для имплантатов.

Такие объёмные операции делают только в стационаре под наркозом. Приходится выполнять огромные отслойки тканей, буквально "снимать лицо" с костей.
У нас наркоза нет.

Мой хирург порекомендовал специалиста. В июне 2023 года провели операцию - четыре скуловых имплантата (зигомы) на верхнюю челюсть (+ один классический имплантат для баланса) и имплантаты на нижнюю после репозиции нерва. Кстати, хирург из моей клиники, который порекомендовал специалиста, сам тоже присутствовал на операции мамы моей. Про имплантат для баланса - его идея.

Это было спасение. В конец этой статьи добавлю ссылку на материал, в котором более подробно описывала эту операцию.

Техобслуживание протезов

Ни для кого не секрет, что протезы с розовой пластиковой десной требуют регулярного ТО. Ранее мама проходила ТО в той клинике, в которой имплантаты устанавливали, что я считаю правильным. Прошло два с половиной года, год с момента прошлой гигиены. Позвонил отец, пообщались, рассказал что-то про это дело мамино и спросил - не возьмёмся ли мы? Гарантийный срок по договору с той клиникой (год) истёк.

Я сразу не согласилась. Знаете, такие работы - это ОГРОМНАЯ ответственность. Мы не делаем скуловую имплантацию. Если (ну вдруг!) что-то пойдёт не так - что делать? Я предлагала оплатить визит в ту клинику - отец настоятельно рекомендовал принять маму у нас. Что-то их отвернуло от посещения того заведения. Я знаю, что именно, но писать о работе коллег не стану. Они молодцы и сыграли важнейшую роль во всем этом деле. Молодцы и точка.

Не могла я отказать родителям, поговорила со своими врачами и записали маму на ТО к нам.

За наших пациентов скажу однозначно - даже если гарантия закончилась, мы всю жизнь несём ответственность. На мороз никого не выгоним и отношения к людям не поменяем.

ТО условно-съёмного протеза - что делают и что проверяют

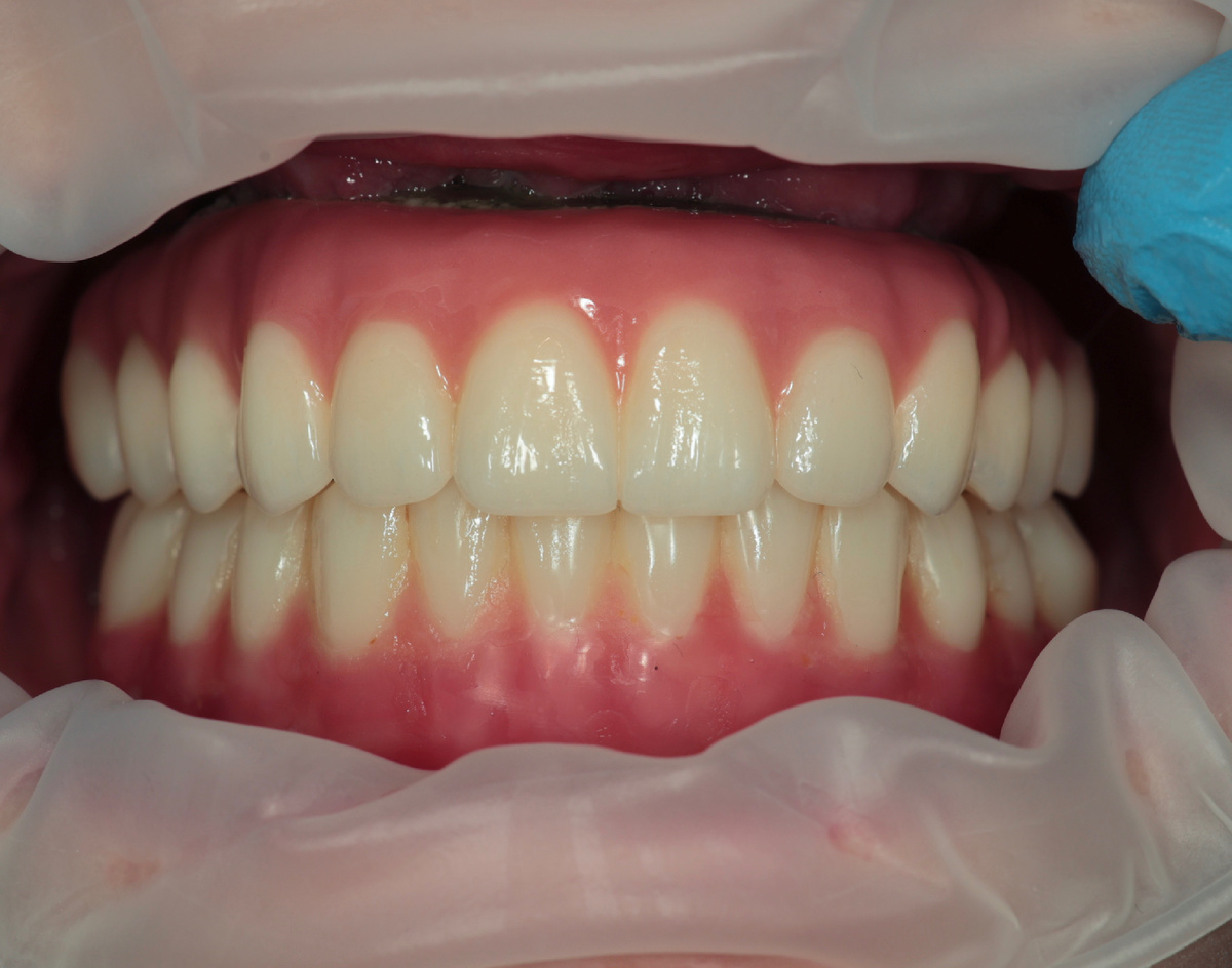
Сфотографировали протезы во рту до вмешательства:

И во рту:

Верх и низ
Верх и низ

Ортопед открутил оба протеза. Мама потом отметила его уверенность и чёткость действий - казалось бы, дело нехитрое, но когда у тебя во рту зигомы, хочется, чтобы каждое движение было выверенным.

Гигиена у мамы хорошая. Щётки, ирригаторы, целый ежедневный ритуал ухода.

Верхний протез прилегает к десне достаточно хорошо - налёта на основании (на титановой балке) минимум:

Протез верхней челюсти, удерживается на зигомах
Протез верхней челюсти, удерживается на зигомах

Снизу прилегание чуть хуже, поэтому и налёта больше:

Протез нижней челюсти
Протез нижней челюсти

В идеале протезы должны прилегать тютелька в тютельку, но тут работа изначально шла в условиях тотальной атрофии - врач выжал максимум из того, что было.

Самое главное - анализ КЛКТ. Сделали в клинике, изучили, никаких проблем не выявили.

-5

Имплантаты держатся отлично, признаков резорбции кости нет. Слизистая выглядит хорошо, адекватно:

-6

Проблем нет.

Протезы обработали растворами:

Механически вычистили все поднутрения.

Чистый протез нижней челюсти:

-7

Очистили мультиюниты во рту, поменяли удерживающие винты, установили всё обратно.

После процедуры мама долго и воодушевлённо хвалила моих ребят. Она врать совсем не умеет - если говорит, что понравилось, значит понравилось.

До сих пор в разговорах вспоминает этот визит и хвалит врачей.

А я хочу сказать спасибо всем причастным к операции 2023 года. Это было возвращение к жизни. Мама воспряла духом! Оказывается, для некоторых людей невозможно радоваться жизни без зубов. Это не преувеличение, это факт.

Ну и, конечно, спасибо моим специалистам. Теперь мамуля будет ходить к ним каждые шесть месяцев на ТО.

Вывод

Эта история - про последствия экспериментальной имплантации без технологий и про спасение, когда казалось, что выхода нет.

Зигомы и репозиция нерва - сложнейшие операции, к которым прибегают, когда классические методы невозможны. Два с половиной года спустя имплантаты стабильны, кость сохранна, протезы функционируют.

Наступит время, когда и я смогу создать условия для своих хирургов и они будут браться за такие случаи. Наркоз нужен, лицензия - а врачи уже ученые и уже готовые. Наркоз в рамках существующей клиники не реализовать, нет места. Но я и не спешу.

Ну и понятно, что после такой истории с мамой, я тщательнейшим образом выбирала хирургов в клинику и наблюдаю за своими врачами пристально. И, по прошествию стольких лет, доверяю им полностью - профи настоящие, безопасные для пациентов.

Больше материалов по нашим тотальным реабилитациям на имплантатах:

Тотальные работы на имплантатах. | Parodoctor | Дзен

Статья о зигомах от февраля 2024 года:

Вопросы задавайте в моём Telegram-канале - там я их точно увижу и отвечу. В Дзене сотни комментариев под сотнями статей и я физически не успеваю всё мониторить - не смотрю и не отвечаю, никого не удаляю (все вопросы к Дзен, обиды направляйте площадке, пожалуйста). В Telegram все вопросы в одном месте, удобно отвечать, можно фото прикрепить. Так что жду в тг:

Parodoctor

Завела канал в MAX, чтобы был, называется он Parodoctor:

Parodoctor

С уважением, Лежачёва Наталия Александровна, хирург-пародонтолог и главный врач стоматологии Parodent, СПб.