Найти в Дзене
Лор Ольга Палажук

Вот так выглядит барабанная перепонка при жидкости в среднем ухе ребёнка из-за аденоидов

Фото 1. 📌Нормальная барабанная перепонка. Фото 2 Если жидкость сидит в ухе более 3-6 месяцев, она загустевает и постепенно превращается в рубцы. А рубец - это уже стойкое снижение слуха( Как только жидкость собралась в ухе, ребенок начинает плохо слышать. Это называется серозный или экссудативный средний отит. Возникает такой отит из-за ▪️ нарушения носового дыхания из-за аденоидов ▪️ хронического воспаления ▪️после острого среднего отита ▪️аллергии ▪️социальных факторов - пассивное курение, посещение ДДУ ▪️врожденных аномалий лицевого скелета - расщелина твердого и мягкого неба Не совсем глухой, конечно, но что-то недослышал, неверно услышал, отвлекся. В итоге, не понял, не верно ответил. Постепенно нарушается развитие речи и самоценность ребенка. 📌Экссудативный отит не лечат антибиотиками внутрь. Лечат причину. А жидкость из уха выходит сама в течении 3-6 месяцев. Если через 3-6 месяцев, жидкость в ухе сохраняется, ставят шунт в барабанную перепонку. Это такая катушка, ч

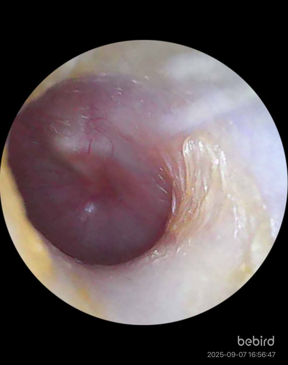
Вот так выглядит барабанная перепонка при жидкости в среднем ухе ребёнка из-за аденоидов. Фото 1.

📌Нормальная барабанная перепонка. Фото 2

Если жидкость сидит в ухе более 3-6 месяцев, она загустевает и постепенно превращается в рубцы. А рубец - это уже стойкое снижение слуха(

Как только жидкость собралась в ухе, ребенок начинает плохо слышать. Это называется серозный или экссудативный средний отит.

Возникает такой отит из-за

▪️ нарушения носового дыхания из-за аденоидов

▪️ хронического воспаления

▪️после острого среднего отита

▪️аллергии

▪️социальных факторов - пассивное курение, посещение ДДУ

▪️врожденных аномалий лицевого скелета - расщелина твердого и мягкого неба

Не совсем глухой, конечно, но что-то недослышал, неверно услышал, отвлекся.

В итоге, не понял, не верно ответил. Постепенно нарушается развитие речи и самоценность ребенка.

📌Экссудативный отит не лечат антибиотиками внутрь.

Лечат причину. А жидкость из уха выходит сама в течении 3-6 месяцев.

Если через 3-6 месяцев, жидкость в ухе сохраняется, ставят шунт в барабанную перепонку. Это такая катушка, через которую жидкость вытекает из уха и восстанавливается вентиляция среднего уха. А слух восстанавливается.

📌Исключение, расщелина неба. В этом случае, шунт ставят сразу.

—————

📝Консультирую очно и онлайн

📝Оперирую в lorlor.ru

—————

Ваш ЛОР Ольга Палажук

-2