Найти в Дзене
Мамин путь

От конфет к кошмару: Кариес, который крадет улыбку навсегда

Молочные зубы — это не просто временная декорация детской улыбки. Они закладывают основу для здоровья всей ротовой полости, влияя на развитие постоянных зубов. Кариес, этот незаметный враг, может превратить веселые моменты с конфетами в настоящую проблему. Почему же даже временные зубы требуют такого тщательного ухода? Давайте разберемся, как сладости и неправильные привычки превращают радость в
Оглавление

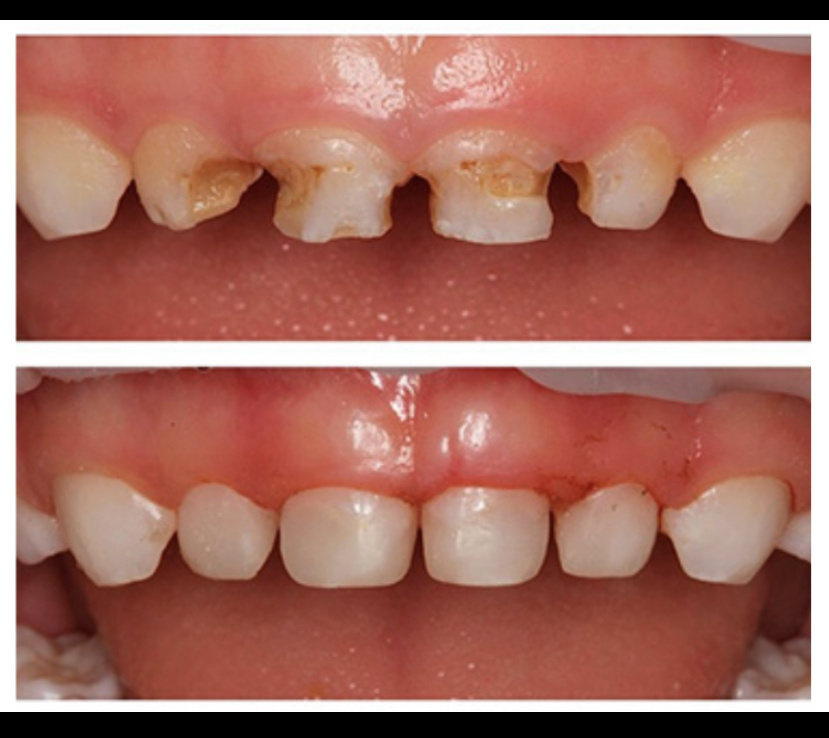
Кариес молочных зубов
Кариес молочных зубов

Молочные зубы — это не просто временная декорация детской улыбки. Они закладывают основу для здоровья всей ротовой полости, влияя на развитие постоянных зубов. Кариес, этот незаметный враг, может превратить веселые моменты с конфетами в настоящую проблему. Почему же даже временные зубы требуют такого тщательного ухода? Давайте разберемся, как сладости и неправильные привычки превращают радость в кошмар.

Все начинается с банальной любви к сладкому. Конфеты, газировки и даже фруктовые соки содержат сахара, которые бактерии в полости рта превращают в кислоты. Эти кислоты размягчают эмаль молочных зубов, делая их уязвимыми. У детей эмаль тоньше, чем у взрослых, а слюна, нейтрализующая кислоты, еще не так активна. В результате кариес развивается стремительно: сначала появляется белое пятно, затем черная дыра. Если игнорировать сигналы, инфекция может распространиться на корень, вызывая боль и воспаление.

Уход за молочными зубами — это ежедневная рутина, которая спасает от беды. Начинайте чистку с момента прорезывания первого зуба, используя мягкую щетку и пасту без фтора для малышей до трех лет. Чистите дважды в день по две минуты, не забывая о язычке. Ограничьте сладости и поощряйте питье через соломинку, чтобы минимизировать контакт с зубами. Регулярные визиты к стоматологу — с первого года жизни — помогут выявить кариес на ранней стадии.

Профилактика — лучший щит против кариеса. Введите в рацион продукты, богатые кальцием: молоко, сыр, йогурт. Фторированная вода или ополаскиватели укрепляют эмаль. А для самых маленьких подойдут жевательные резинки без сахара, стимулирующие слюноотделение. Помните: потерянный молочный зуб может сдвинуть прикус, вызвав проблемы с постоянными.

Не дайте кариесу украсть детскую улыбку. С правильным уходом молочные зубы прослужат свой срок, подарив ребенку уверенность и здоровье. Будьте бдительны — от конфет до здоровой улыбки всего шаг!

Молочные зубы — это временные "помощники" для ребенка, которые закладывают основу для здорового питания, речи и развития постоянных зубов. Хотя они заменяются постоянными, их состояние напрямую влияет на общее здоровье полости рта. В этой статье мы разберем ключевые вопросы: как правильно ухаживать за молочными зубами, нужно ли их лечить, что делать при удалении, причины кариеса у детей и что такое седация в стоматологии.

Нужно ли лечить молочные зубы?

Да, молочные зубы обязательно нужно лечить, если они пострадали от кариеса, травмы или инфекции. Многие родители думают, что "временные" зубы можно игнорировать, но это ошибка. Без лечения проблемы могут распространиться на соседние зубы, десны и даже на зачатки постоянных зубов под ними. Это приводит к боли, инфекциям, проблемам с прикусом и даже преждевременной потере зуба, что затрудняет жевание и речь.

Лечение молочных зубов обычно включает пломбирование, серебрение или другие процедуры, аналогичные тем, что применяются для постоянных. Раннее вмешательство помогает избежать осложнений и сохраняет естественную улыбку ребенка. Регулярные визиты к педиатрическому стоматологу (с 1 года) позволяют выявить проблемы на ранней стадии.

Как ухаживать за молочными зубами?

Уход за молочными зубами начинается с появления первого зубика (обычно в 6–10 месяцев) и продолжается до 12–13 лет, когда сменяется последний молочный зуб. Вот основные правила:

  • Гигиена: Чистите зубы дважды в день мягкой щеткой с фторидной пастой (размером с рисовое зернышко для детей до 3 лет, с горошину — старше). Дети до 7 лет нуждаются в помощи родителей. Используйте нить для межзубных пространств с 2–3 лет.
  • Питание: Ограничьте сладости, газировку и липкие продукты (карамель, мармелад). Поощряйте фрукты, овощи и молочные продукты. После еды давайте ребенку пить воду, чтобы смыть остатки пищи.
  • Профилактика: Посещайте стоматолога каждые 6 месяцев. С 1 года можно наносить фторсодержащие лаки для укрепления эмали. Избегайте вредных привычек, таких как сосание пальца или ношение бутылочки с соком ночью.

Правильный уход снижает риск кариеса на 40–50%, по данным Всемирной организации здравоохранения (ВОЗ).

Что делать, если молочный зуб пришлось удалить?

Удаление молочного зуба — крайняя мера, когда лечение невозможно (например, при сильном разрушении или абсцессе). Процедура проводится под местной анестезией, чтобы ребенок не чувствовал боли. После удаления:

  • Уход за лункой: Прополощите рот солевым раствором (1 ч.л. соли на стакан теплой воды) через 1–2 дня. Избегайте твердой пищи, горячего и холодного 24 часа. Давайте мягкую еду (каши, йогурты).
  • Профилактика осложнений: Следите за кровотечением (оно должно остановиться за 10–15 минут). Если отек или температура — срочно к врачу. Антибиотики назначаются только по показаниям.
  • Дальнейшие шаги: Удаление может сдвинуть соседние зубы, поэтому стоматолог может порекомендовать пластинку-держатель пространства, чтобы зачаток постоянного зуба не "застрял". Регулярные осмотры помогут контролировать прорезывание постоянного зуба (обычно через 1–2 месяца после удаления молочного).

В большинстве случаев удаление не влияет на смену зубов, но игнорирование может привести к ортодонтическим проблемам.

-2

С чем связан кариес у детей?

Кариес молочных зубов — это разрушение эмали под действием бактерий, чаще всего Streptococcus mutans. Он развивается из-за комбинации факторов:

  • Питание: Частое потребление сахара (в соках, конфетах, даже фруктах) создает кислую среду, где бактерии производят кислоты, разъедающие эмаль. "Бутылочный кариес" возникает от ночного кормления молоком или соком — жидкость застаивается на зубах.
  • Гигиена: Недостаточная чистка позволяет бактериям размножаться в зубном налете. У детей эмаль тоньше и уязвимее.
  • Другие причины: Наследственность (слабая эмаль), дефицит фтора, сухость во рту (из-за лекарств или болезней), раннее прорезывание зубов. По данным Американской стоматологической ассоциации (ADA), кариес поражает до 50% детей до 5 лет в развитых странах.

Профилактика — ключ: сбалансированное питание, фторирование и чистка. Ранний кариес (белые пятна) обратимы, но запущенный приводит к боли и удалению.

Что такое седация в детской стоматологии?

Седация — это метод успокоения ребенка во время лечения, когда он боится или не может сидеть спокойно. Это не полная анестезия, а контролируемое расслабление. Виды седации:

  • Ингаляционная (закись азота, "веселящий газ"): Ребенок дышит через маску, чувствует легкое головокружение, но остается в сознании. Эффект проходит за 5 минут после прекращения.
  • Пероральная: Таблетки или сироп для приема за 30–60 минут до процедуры. Ребенок сонный, но реагирует на голос.
  • Внутривенная: Для сложных случаев, под контролем анестезиолога. Используется редко, в клиниках с оборудованием.

Седация безопасна при правильном применении (под наблюдением врача), снижает стресс и позволяет провести лечение за один визит. Не рекомендуется детям с астмой или аллергиями без консультации. В России седацию регулирует Минздрав, и она доступна в специализированных клиниках.

Заключение

Уход за молочными зубами — инвестиция в здоровье ребенка на всю жизнь. Лечите проблемы timely, чтобы избежать удалений и осложнений. Если заметили темные пятна, боль или отек — не откладывайте визит к стоматологу. С профилактикой и правильным уходом кариес и другие проблемы можно минимизировать. Консультируйтесь с педиатрическим стоматологом для индивидуальных рекомендаций. Здоровые зубы — счастливый ребенок!