Найти в Дзене
Dr.Arsenin

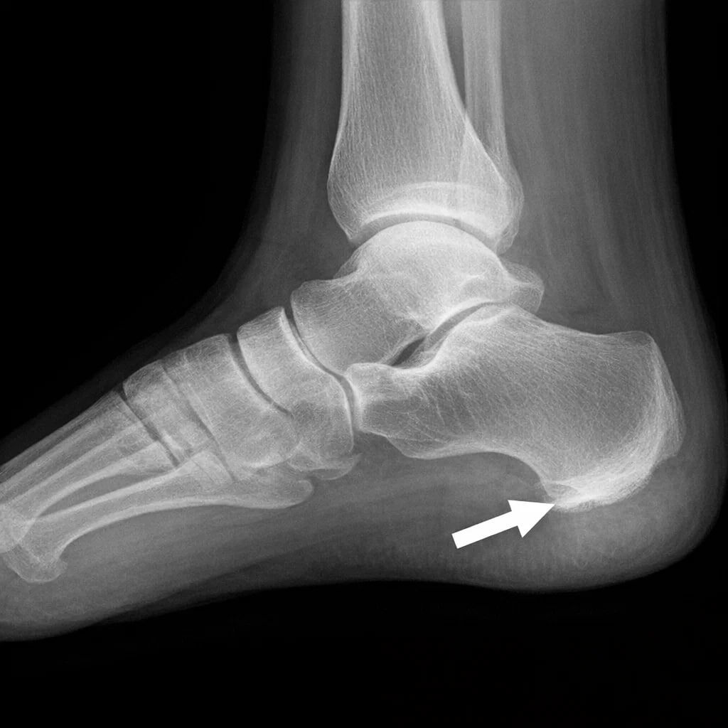
ИЗ-ЗА ЧЕГО ПОЯВЛЯЕТСЯ ПЯТОЧНАЯ ШПОРА

🦶 Подошвенная фасция держит свод стопы При постоянной нагрузке в ней появляются микротравмы Запускается воспаление Организм пытается укрепить зону И откладывает кальций Так со временем формируется шпора ЧТО ЧАЩЕ ВСЕГО К ЭТОМУ ВЕДЁТ ⚠️ — плоскостопие и нарушение биомеханики — лишний вес — длительное стояние или ходьба — жёсткая обувь без амортизации — слабые мышцы стопы и голени ПОЧЕМУ БОЛЬ СИЛЬНЕЕ УТРОМ ☀️ За ночь фасция укорачивается При первых шагах резко растягивается Отсюда резкая «стартовая» боль Интересна тема ОДС, а у вас есть какие-нибудь симптомы связанные со временем суток?❤️

ИЗ-ЗА ЧЕГО ПОЯВЛЯЕТСЯ ПЯТОЧНАЯ ШПОРА 🦶

Подошвенная фасция держит свод стопы

При постоянной нагрузке в ней появляются микротравмы

Запускается воспаление

Организм пытается укрепить зону

И откладывает кальций

Так со временем формируется шпора

ЧТО ЧАЩЕ ВСЕГО К ЭТОМУ ВЕДЁТ ⚠️

— плоскостопие и нарушение биомеханики

— лишний вес

— длительное стояние или ходьба

— жёсткая обувь без амортизации

— слабые мышцы стопы и голени

ПОЧЕМУ БОЛЬ СИЛЬНЕЕ УТРОМ ☀️

За ночь фасция укорачивается

При первых шагах резко растягивается

Отсюда резкая «стартовая» боль

Интересна тема ОДС, а у вас есть какие-нибудь симптомы связанные со временем суток?❤️