Найти в Дзене
Растяжка без фигни.

Боль в передней части бедра, около тазобедренного сустава.

В статье разберу частую проблему боли в передней части бедра около тазобедренного сустава. Эту боль путают с артритом, артрозом и т.д. Я Иван Кузнецов - тренер по адаптивной физкультуре. Данная статья исключительно в ознакомительных целях. Подвздошно-поясничная сумка — это самая крупная синовиальная сумка в теле человека, присутствующая у 98 % взрослых и расположенная симметрично с обеих сторон. Изображение демонстрирует значительное увеличение подвздошно-поясничной сумки справа (слева на изображении, выделена кругом) на компьютерной томограмме. Илеопоперечный бурсит чаще всего развивается из-за различных форм артрита, таких как ревматоидный и псориатический артрит. Кроме того, он может быть вызван острыми травмами или чрезмерными нагрузками. В случае острой или хронической травмы, связанной с профессиональной деятельностью или спортом, бурсит обычно является результатом множества микротравм, возникающих при частых сгибаниях и разгибаниях тазобедренного сустава. Этот тип бурсита часто
Оглавление

В статье разберу частую проблему боли в передней части бедра около тазобедренного сустава. Эту боль путают с артритом, артрозом и т.д.

Я Иван Кузнецов - тренер по адаптивной физкультуре.

Данная статья исключительно в ознакомительных целях.

Определение/Описание

  • Бурсит представляет собой воспаление синовиальной сумки.
  • Причиной воспаления может стать трение о соседние сухожилия.
  • Синовиальная сумка, как правило, имеет плоскую форму и заполнена синовиальной жидкостью.
  • Она образуется, например, в месте соединения сухожилия с костью.
  • Подвздошно-поясничная синовиальная сумка отделяет мышцу или сухожилие от кости, облегчая движение и уменьшая трение между передней частью тазобедренной капсулы и подвздошно-поясничной мышцей.
  • Воспаление этой сумки может привести к болям в передней части бедра.

Анатомические особенности, имеющие клиническое значение

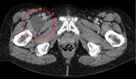
Изображение  демонстрирует значительное увеличение подвздошно-поясничной сумки справа (слева на изображении, выделена кругом) на компьютерной томограмме.
Изображение демонстрирует значительное увеличение подвздошно-поясничной сумки справа (слева на изображении, выделена кругом) на компьютерной томограмме.

Подвздошно-поясничная сумка — это самая крупная синовиальная сумка в теле человека, присутствующая у 98 % взрослых и расположенная симметрично с обеих сторон.

-3
  • Она ограничена спереди мышечно-сухожильными волокнами подвздошно-поясничной мышцы, а сзади — фиброзной оболочкой тазобедренного сустава.
  • Сумка тянется от паховой связки вверх до малого вертела бедренной кости вниз, а её боковые границы образованы бедренными сосудами и бедренным нервом.
  • В норме она остаётся пустой. Однако при определённых условиях эта сумка может увеличиться в размерах и заполниться жидкостью, что приводит к появлению болевых ощущений и ограничению подвижности.

Изображение демонстрирует значительное увеличение подвздошно-поясничной сумки справа (слева на изображении, выделена кругом) на компьютерной томограмме.

Эпидемиология / Этиология

Илеопоперечный бурсит чаще всего развивается из-за различных форм артрита, таких как ревматоидный и псориатический артрит. Кроме того, он может быть вызван острыми травмами или чрезмерными нагрузками.

В случае острой или хронической травмы, связанной с профессиональной деятельностью или спортом, бурсит обычно является результатом множества микротравм, возникающих при частых сгибаниях и разгибаниях тазобедренного сустава.

Этот тип бурсита часто встречается у людей, которые занимаются силовыми тренировками, греблей, бегом на пересеченной местности и соревновательной легкой атлетикой.

Существует несколько теорий, объясняющих развитие симптомов подвздошно-поясничного бурсита. Одна из них предполагает, что при согнутом бедре подвздошно-поясничная мышца и передняя часть бурсы удаляются от тазобедренного сустава.

При резком разгибании бедра возникает сильное напряжение, растягивающее мышцу и бурсу, что приводит к их повреждению.

Другая теория утверждает, что при разгибании, отведении и наружной ротации тазобедренного сустава происходит прерывание движения подвздошно-поясничного сухожилия от латерального к медиальному, что вызывает болезненное защемление сухожилия над головкой бедренной кости и передней капсулой тазобедренного сустава.

Подвздошно-поясничный бурсит и тендинит тесно связаны: воспаление одного из них неизбежно приводит к воспалению другого из-за близости их расположения.

По симптомам, причинам и методам лечения эти состояния практически идентичны и вместе называются подвздошно-поясничным синдромом.

Пациенты с ревматоидным артритом часто сталкиваются с подвздошно-поясничным бурситом. При этом заболевании основная цель поражения — суставная синовиальная оболочка, но иногда воспаление затрагивает и синовиальные ткани сухожилий и сумок.

Это происходит из-за распространения воспалительного процесса из тазобедренного сустава на подвздошно-поясничный бурсит. Подвздошно-поясничный бурсит чаще встречается у молодых людей и немного чаще поражает женщин, чем мужчин.

Характеристики/Клиническая картина

Боль:

  1. Локализуется в переднемедиальной части бедра
  2. Отдает в колено, голень и поясницу
  3. Возникает при ходьбе или определенных движениях, например при скрещивании ног
  4. При сгибании бедра, как активном, так и пассивном
  5. При внутренней ротации или пассивном переразгибании
  6. Усиливается при физической активности
  7. Проходит в состоянии покоя
  8. Болезненность в верхней части проксимального отдела четырёхглавой мышцы бедра
  9. Ощущение щелчка в передней части бедра
  10. Скованность или боль после отдыха или по утрам.

Диагностические процедуры

Подвздошно-поясничный бурсит часто остаётся незамеченным из-за своей неявной симптоматики. При детальном осмотре в бедренном треугольнике, с обеих сторон от бедренной артерии, надавливание на бурсу вызывает болезненные ощущения.

Для проверки на боль в бедре используется клинический метод, включающий разгибание согнутого, отведённого и повёрнутого наружу бедра. При этом обычно слышен или ощущается «щелчок» в бедре.

Пальпация также может вызвать дискомфорт в паховой области.

Если у пациента подозревается остеоартрит, щелчки в тазобедренном суставе или прощупывается образование в паху или тазовой области, это может указывать на воспаление подвздошно-поясничной сумки, что требует дополнительного обследования с использованием визуализирующих методов.

Для исключения других патологий тазобедренного сустава и оценки размеров бурсы рекомендуется выполнить 3D-снимок, предпочтительно с помощью МРТ. МРТ позволяет отличить подвздошно-поясничный бурсит от таких состояний, как опухоль, грыжа, гематома и аневризма.

Более доступным методом является ультразвуковое исследование (УЗИ) опорно-двигательного аппарата. Рентген и сканирование костей также используются для исключения костных проблем. Компьютерная томография (КТ) также является распространённым диагностическим инструментом.

Артрография помогает выявить нестабильность и патологии внутри сустава. Рентгенография может показать основные проблемы с тазобедренным суставом, такие как остеоартрит и ревматоидный артрит.

Проверка

Движение:

  1. Боль в переднемедиальной части бедра при сгибании бедра и внутренней ротации
  2. Ограничение диапазона движений (ДД) по некапсулярному типу
  3. Сгибание слегка болезненно в конце ДД
  4. Иногда боль может ощущаться в конце ДД при разгибании или приведении бедра.
  5. Наиболее болезненным движением является приведение бедра при сгибании

Пальпация:

  1. Бурсит можно прощупать как отёчное образование в паховой области
  2. Может ощущаться и/или быть слышен щелчок
  3. Болезненность в бедренном треугольнике
  • Положительный тест Томаса
  • Активное сопротивление при тестировании подвздошно-поясничной мышцы
  • (Динамическое) УЗИ

Управление медицинской деятельностью

  1. Пациенту могут назначить противовоспалительные препараты, что является стандартной практикой.
  2. Лечение подвздошно-поясничного бурсита разрабатывается индивидуально для каждого пациента с учетом причины, интенсивности боли и сопутствующих симптомов.
  3. В случаях выраженной симптоматики может быть проведена аспирация под контролем ультразвукового исследования.
  4. УЗИ помогает визуализировать, как подвздошно-поясничная мышца пересекает другую мышцу, что подтверждает диагноз «щелкающая подвздошно-поясничная мышца», а также часто позволяет увидеть сопутствующий подвздошно-поясничный бурсит.
  5. Комбинация местной анестезии и введения кортикостероида в подвздошно-поясничную сумку зачастую способствует облегчению симптомов и предотвращает необходимость хирургического вмешательства.
  6. При рефрактерном подвздошно-поясничном бурсите может потребоваться хирургическая операция.
  7. Это может включать бурсэктомию для удаления бурсы, капсулотомию для обеспечения доступа к подвздошно-поясничному бурситу или синовэктомию — хирургическое иссечение части синовиальной оболочки, что иногда сопровождается рассечением подвздошно-поясничного сухожилия.

Управление физиотерапией

Начальное лечение подвздошно-поясничного бурсита обычно включает покой, растяжку мышц сгибателей бедра и физиотерапевтические процедуры. Упражнения на растяжку, такие как разгибание бедра, часто помогают облегчить симптомы и должны выполняться в течение 6–8 недель, пока сохраняется боль. Важно, чтобы пациенты избегали занятий спортом, которые могут усугубить состояние.

Большинство пациентов с подвздошно-поясничным бурситом страдают от значительной мышечной слабости при вращении бедра. Это подтверждается как мануальным тестированием, так и изокинетической оценкой.

Уменьшение симптомов достигается за счёт укрепления мышц, участвующих в вращении тазобедренного сустава, включая внутренние и внешние вращатели бедра, сгибатели бедра, ягодичные мышцы, четырёхглавую мышцу бедра и подколенные сухожилия.

Упражнения выполняются ежедневно до исчезновения симптомов.

Слабость ягодичных мышц при ходьбе может снизить стабильность тазобедренного сустава. Поэтому обучение правильной походке является важным и заключительным этапом лечения. Во время упражнений пациенты должны осознанно сокращать глубокие ягодичные мышцы опорной ноги во время фазы опоры.

Прежде чем это станет автоматическим, необходимо выполнять специальные упражнения, такие как опускание таза.

Эффективность лечебной физкультуры в реабилитации болей в паху у спортсменов подтверждается клиническими данными.

Упражнения, особенно направленные на укрепление мышц бедра и брюшного пресса, могут быть полезны для лечения подвздошно-поясничного бурсита и подвздошно-поясничного синдрома. Однако данные о наиболее эффективной интенсивности и частоте упражнений неоднозначны из-за отсутствия подробной отчётности.

Не только для спортсменов.

Подвздошно-поясничный бурсит представляет собой воспаление подвздошно-поясничной сумки, расположенной рядом с тазобедренным суставом.

Это состояние часто ассоциируется с профессиональными спортсменами, поскольку высокие нагрузки и интенсивные тренировки увеличивают риск развития воспаления.

Однако важно понимать, что подвздошно-поясничный бурсит также распространён среди обычных людей, и вот почему лечение должно проводиться вне зависимости от уровня физической активности:

Причины возникновения

  1. Повышенные физические нагрузки: Хотя спортсмены подвергаются значительным нагрузкам, обычные люди тоже могут столкнуться с бурситом вследствие переноса тяжестей, длительного стояния или сидения, неправильной осанки и даже повседневных бытовых нагрузок.
  2. Возрастные изменения: У пожилых людей хрящевые ткани становятся менее эластичными, кости слабее, что увеличивает вероятность воспалительного процесса в сумке.
  3. Повреждения сустава: Даже незначительные травмы или хроническое микротравматическое воздействие способны привести к развитию заболевания.
  4. Инфекции: Некоторые инфекционные процессы, вызванные бактериями или вирусами, могут вызывать воспалительные реакции в области суставов, включая бурсу.
  5. Метаболические нарушения: Например, диабет или ожирение способствуют накоплению солей мочевой кислоты, что повышает риски воспалительных процессов.

Последствия нелечения

Отсутствие своевременного лечения может привести к следующим осложнениям:

  1. Хронические боли, ограничивающие подвижность и качество жизни.
  2. Нарушение функций тазобедренного сустава, вплоть до артроза и инвалидности.
  3. Развитие вторичных инфекций, которые могут распространяться на соседние органы и ткани.

Таким образом, подвздошно-поясничный бурсит требует внимания независимо от профессиональной принадлежности пациента. Своевременная диагностика и грамотное лечение позволят избежать серьёзных осложнений и сохранить здоровье опорно-двигательного аппарата на долгие годы.

ЛФК.

В данной статье я не показываю упражнений при бурсите, так как это может быть расценено как прямые рекомендации к самолечению.

Подобные рекомендации запрещены на платформе.

В разделе Видео на моём канале множество подходящих упражнений.

Если для вас важно знать и уметь выполнять специальные ЛФК упражнения возможно вам будет полезная моя группа в Телеграмм.

Немного подробней.

Для того чтобы получать уведомления о новых видео и статьях БЕЗ построенного шума и рекламы, предлагаю подписаться в мою группу Телеграмм.

Для кого актуален мой контент?

  • Вам нравится двигаться без боли в суставах.
  • Вы бы хотели как можно дольше двигаться без существенных ограничений в движении.
  • Для вас важно физическое состояние.
  • У вас далеко идущие планы, вам нужно функциональное тело.
  • Вы не нашли ответы на свои вопросы по здоровью суставов и позвоночника в интернете.
  • Вы любите спорт и хотите как можно дольше оставаться активным.
  • Вам не нравится мысль о том, что возраст — это приговор на жизнь с хронической болью в ОДА.
  • Для вас важны детали, а не общие бла-бла-бла.
  • У вас есть спортивные амбиции на любительском уровне: пробежать полумарафон, танцевать, сесть на шпагат, похудеть и т. д.

Присоединяйтесь в группе «Телеграмм — Растяжка без фигни».

Спасибо за внимание.